| UNIPROT | O75369 |
| Иммуноген | RPE931Hu02-Recombinant Filamin B Beta (FLNb) |
Polyclonal Antibody to Filamin B Beta (FLNb) (PAE931Hu02)
Реактивность подтвержденная:
человек
Источник (хозяин):
кролик
Валидировано для:
IHC
WB
Характеристики
Техническое описание
| Русское название | PAE931Hu02 Поликлональное антитело к FLNb (человек) <Cloud-Clone,Китай> |
| Каталожный номер | PAE931Hu02 |
| Название антигена | Filamin B Beta (FLNb) |
| UNIPROT | O75369 |
| Иммуноген | RPE931Hu02-Recombinant Filamin B Beta (FLNb) |
| Английские синонимы | ABP-278, AOI, FH1, FLN1L, LRS1, SCT, TABP, TAP, Actin Binding Protein 278, Actin-binding-like protein, Thyroid autoantigen, Filamin-3, Truncated actin-binding protein |
Реактивность подтвержденная Нужна другая реактивность? |
человек |
| Реактивность предсказываемая | мышь, крыса |
| Источник (хозяин) | кролик |
| Клональность | поликлональное |
| Рекомбинантное | нет |
| Готовое к использованию | нет |
| Концентрация | 0.5 мг/мл |
| Конъюгат | По запросу: HRP, biotin, PerCP, PE, Cy3, FITC, Cy7, Cy5.5, PE-Cy5, PE-Cy7, PerCp-Cy5.5, APC, Cy5, PE-Cy3, PE-Cy5.5, APC-Cy7, Biotin-APC, FITC-Biotin, TRITC, APC-Cy5, AF488, AF594, AF405, AF555, AF700, AF647, AF750 |
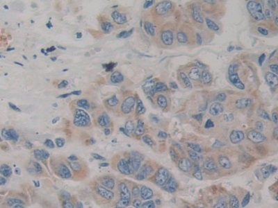
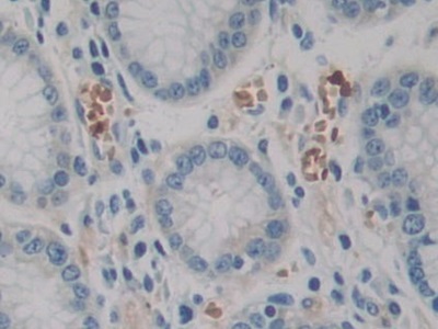
| Валидировано для | IHC WB Иммуногистохимия; Вестерн-блоттинг |
| Рекомендуемые разведения | WB: 0.01-2 мкг/мл; IHC: 5-20 мкг/мл; IF: 5-20 мкг/мл; Оптимальное разведение определяется конечным потребителем |
| Метод очистки | Антигенспецифическая аффинная хроматография с последующей аффинной хроматографией с белком А |
| Состав буфера | PBS, pH7.4, 0.02% NaN3, 50% глицерин |
| Условия доставки | термобокс с аккумуляторами холода |
| Условия хранения | Сразу после получения аликвотировать и хранить при -20ºС до 24 месяцев. Для частого использования хранить при +4ºС не более 2 недель. Избегать повторения циклов замерзания/оттаивания |
| Срок хранения | 24 месяца |
| Производитель | Cloud-Clone Corp. |
| Ссылка на страницу товара на сайте производителя | http://www.cloud-clone.com/products/PAE931Hu02.html |
|
Артикул
|
Наименование |
Производитель
|
|---|
|
Артикул
|
Наименование |
Производитель
|
|---|
|
Артикул
|
Наименование |
Производитель
|
|---|
Акции и предложения
Популярные продукты:
Monoclonal Antibody to Melatonin (MT) (MAA908Ge22)
Источник (хозяин): мышь
Реактивность подтвержденная: для всех
Валидировано для: ELISA
Реактивность подтвержденная: для всех
Валидировано для: ELISA
Goat Dipeptidase 1(DPEP1) ELISA kit (E06D0293)
Организм: коза
Growth Hormone Receptor Recombinant Rabbit mAb (ARM2878)
Источник (хозяин): кролик
Реактивность подтвержденная: человек, мышь, крыса
Валидировано для: FCM, IP, WB
Реактивность подтвержденная: человек, мышь, крыса
Валидировано для: FCM, IP, WB
Monoclonal Antibody to Interleukin 18 (IL18) (MAA064Bo22)
Источник (хозяин): мышь
Реактивность подтвержденная: корова
Валидировано для: ICC, IF
Реактивность подтвержденная: корова
Валидировано для: ICC, IF
Monoclonal Antibody to Dystrophin (DMD) (MAB503Hu26)
Источник (хозяин): мышь
Реактивность подтвержденная: человек
Валидировано для: WB
Реактивность подтвержденная: человек
Валидировано для: WB

