| UNIPROT | Q9Y3D6 |
| Иммуноген | RPJ105Hu01-Recombinant Fission 1 (FIS1) |
Polyclonal Antibody to Fission 1 (FIS1) (PAJ105Hu01)
Реактивность подтвержденная:
человек
Источник (хозяин):
кролик
Валидировано для:
IHC
WB
Характеристики
Техническое описание
| Русское название | PAJ105Hu01 Поликлональное антитело к FIS1 (человек) <Cloud-Clone,Китай> |
| Каталожный номер | PAJ105Hu01 |
| Название антигена | Fission 1 (FIS1) |
| UNIPROT | Q9Y3D6 |
| Иммуноген | RPJ105Hu01-Recombinant Fission 1 (FIS1) |
| Английские синонимы | CGI-135, TTC11, Tetratricopeptide Repeat Domain 11, Mitochondrial fission 1 protein |
Реактивность подтвержденная Нужна другая реактивность? |
человек |
| Реактивность предсказываемая | крыса |
| Источник (хозяин) | кролик |
| Клональность | поликлональное |
| Рекомбинантное | нет |
| Готовое к использованию | нет |
| Концентрация | 0.5 мг/мл |
| Конъюгат | По запросу: HRP, biotin, PerCP, PE, Cy3, FITC, Cy7, Cy5.5, PE-Cy5, PE-Cy7, PerCp-Cy5.5, APC, Cy5, PE-Cy3, PE-Cy5.5, APC-Cy7, Biotin-APC, FITC-Biotin, TRITC, APC-Cy5, AF488, AF594, AF405, AF555, AF700, AF647, AF750 |
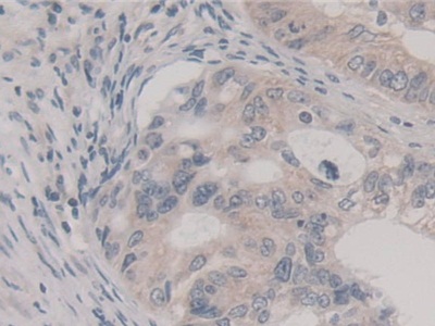
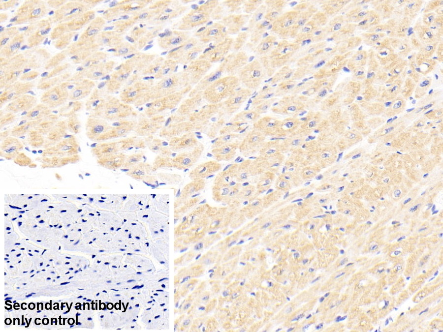
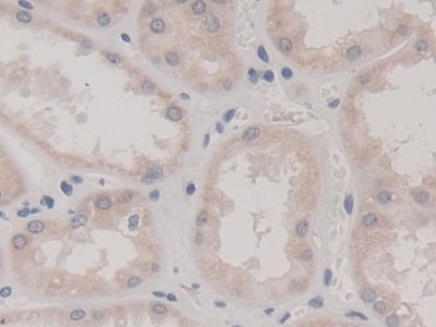
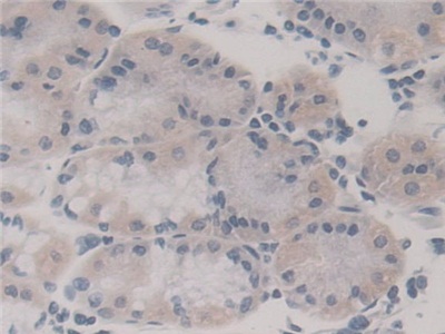
| Валидировано для | IHC WB Иммуногистохимия; Вестерн-блоттинг |
| Рекомендуемые разведения | WB: 0.01-3 мкг/мл; IHC: 5-30 мкг/мл; ICC: 5-30 мкг/мл; Оптимальное разведение определяется конечным потребителем |
| Метод очистки | Антигенспецифическая аффинная хроматография с последующей аффинной хроматографией с белком А |
| Состав буфера | PBS, pH7.4, 0.02% NaN3, 50% глицерин |
| Условия доставки | термобокс с аккумуляторами холода |
| Условия хранения | Сразу после получения аликвотировать и хранить при -20ºС до 24 месяцев. Для частого использования хранить при +4ºС не более 2 недель. Избегать повторения циклов замерзания/оттаивания |
| Срок хранения | 24 месяца |
| Производитель | Cloud-Clone Corp. |
| Ссылка на страницу товара на сайте производителя | http://www.cloud-clone.com/products/PAJ105Hu01.html |
|
Артикул
|
Наименование |
Производитель
|
|---|
|
Артикул
|
Наименование |
Производитель
|
|---|
|
Артикул
|
Наименование |
Производитель
|
|---|
Акции и предложения
Популярные продукты:
Anti-Human CD261/TNFRSF10A/DR4 Antibody (Fs0356) (FHA05920)
Источник (хозяин): мышь
Реактивность подтвержденная: человек
Валидировано для: ELISA, FCM
Реактивность подтвержденная: человек
Валидировано для: ELISA, FCM
ELISA Kit DIY Materials for Interleukin 6 Receptor (IL6R) (KSB815Hu01)
Организм: человек
Диапазон определения: 1.88-120 нг/мл
Чувствительность: 0.67 нг/мл
Диапазон определения: 1.88-120 нг/мл
Чувствительность: 0.67 нг/мл
Bovine Distal less Homeobox 5 ELISA kit (E11D0011)
Организм: корова
Chicken Acyloxyacyl hydrolase(AOAH) ELISA kit (E12A1552)
Организм: курица
Bovine Translocator protein ELISA kit (E11T0051)
Организм: корова
Monkey Argininosuccinate lyase(ASL) ELISA kit (E09A1722)
Организм: обезьяна

