| UNIPROT | Q05397 |
| Иммуноген | RPB333Hu01-Recombinant Focal Adhesion Kinase (FAK) |
Polyclonal Antibody to Focal Adhesion Kinase (FAK) (PAB333Hu01)
Реактивность подтвержденная:
человек
Источник (хозяин):
кролик
Валидировано для:
IHC
WB
Характеристики
Техническое описание
| Русское название | PAB333Hu01 Поликлональное антитело к FAK (человек) <Cloud-Clone,Китай> |
| Каталожный номер | PAB333Hu01 |
| Название антигена | Focal Adhesion Kinase (FAK) |
| UNIPROT | Q05397 |
| Иммуноген | RPB333Hu01-Recombinant Focal Adhesion Kinase (FAK) |
| Английские синонимы | PTK2, FADK, FAK1, Pp125FAK, PPP1R71, Protein Tyrosine Kinase 2, Focal adhesion kinase-related nonkinase, Protein phosphatase 1 regulatory subunit 71 |
Реактивность подтвержденная Нужна другая реактивность? |
человек |
| Источник (хозяин) | кролик |
| Клональность | поликлональное |
| Рекомбинантное | нет |
| Готовое к использованию | нет |
| Концентрация | 0.5 мг/мл |
| Конъюгат | По запросу: HRP, biotin, PerCP, PE, Cy3, FITC, Cy7, Cy5.5, PE-Cy5, PE-Cy7, PerCp-Cy5.5, APC, Cy5, PE-Cy3, PE-Cy5.5, APC-Cy7, Biotin-APC, FITC-Biotin, TRITC, APC-Cy5, AF488, AF594, AF405, AF555, AF700, AF647, AF750 |
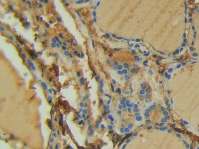
| Валидировано для | IHC WB Иммуногистохимия; Вестерн-блоттинг |
| Рекомендуемые разведения | WB: 0.01-2 мкг/мл; IHC: 5-20 мкг/мл; Оптимальное разведение определяется конечным потребителем |
| Метод очистки | Антигенспецифическая аффинная хроматография с последующей аффинной хроматографией с белком А |
| Состав буфера | 0.01M PBS, pH7.4, 0.05% Proclin-300, 50% глицерин |
| Условия доставки | термобокс с аккумуляторами холода |
| Условия хранения | Сразу после получения аликвотировать и хранить при -20ºС до 24 месяцев. Для частого использования хранить при +4ºС не более 2 недель. Избегать повторения циклов замерзания/оттаивания |
| Срок хранения | 24 месяца |
| Производитель | Cloud-Clone Corp. |
| Ссылка на страницу товара на сайте производителя | http://www.cloud-clone.com/products/PAB333Hu01.html |
|
Артикул
|
Наименование |
Производитель
|
|---|
|
Артикул
|
Наименование |
Производитель
|
|---|
|
Артикул
|
Наименование |
Производитель
|
|---|
|
Артикул
|
Наименование |
Производитель
|
|---|
|
Артикул
|
Наименование |
Производитель
|
|---|
Акции и предложения
Популярные продукты:
Anti-Chicken Gal d4 Antibody (SAb2331) (RHK81002)
Источник (хозяин): мышь
Реактивность подтвержденная: курица
Валидировано для: ELISA, WB
Реактивность подтвержденная: курица
Валидировано для: ELISA, WB
Anti-Transferrin Receptor (TFR) Monoclonal Antibody (FAB171Hu08)
Источник (хозяин): мышь
Реактивность подтвержденная: человек
Валидировано для: FCM
Реактивность подтвержденная: человек
Валидировано для: FCM
Anti-Transferrin Receptor (TFR) Monoclonal Antibody (FAB171Hu06)
Источник (хозяин): мышь
Реактивность подтвержденная: человек
Валидировано для: FCM
Реактивность подтвержденная: человек
Валидировано для: FCM
Anti-Transferrin Receptor (TFR) Monoclonal Antibody (FAB171Hu04)
Источник (хозяин): мышь
Реактивность подтвержденная: человек
Валидировано для: FCM
Реактивность подтвержденная: человек
Валидировано для: FCM
Chicken Calsenilin(KCNIP3) ELISA kit (E12C2313)
Организм: курица
Canine Calsenilin(KCNIP3) ELISA kit (E08C2313)
Организм: собака

