| UNIPROT | Q9UP38 |
| Иммуноген | RPE571Hu01-Recombinant Frizzled Homolog 1 (FZD1) |
Polyclonal Antibody to Frizzled Homolog 1 (FZD1) (PAE571Hu01)
Реактивность подтвержденная:
человек
Источник (хозяин):
кролик
Валидировано для:
IHC
WB
Характеристики
Техническое описание
| Русское название | PAE571Hu01 Поликлональное антитело к FZD1 (человек) <Cloud-Clone,Китай> |
| Каталожный номер | PAE571Hu01 |
| Название антигена | Frizzled Homolog 1 (FZD1) |
| UNIPROT | Q9UP38 |
| Иммуноген | RPE571Hu01-Recombinant Frizzled Homolog 1 (FZD1) |
| Английские синонимы | FzE1, Wnt Receptor |
Реактивность подтвержденная Нужна другая реактивность? |
человек |
| Реактивность предсказываемая | мышь, крыса |
| Источник (хозяин) | кролик |
| Клональность | поликлональное |
| Рекомбинантное | нет |
| Готовое к использованию | нет |
| Концентрация | 0.5 мг/мл |
| Конъюгат | По запросу: HRP, biotin, PerCP, PE, Cy3, FITC, Cy7, Cy5.5, PE-Cy5, PE-Cy7, PerCp-Cy5.5, APC, Cy5, PE-Cy3, PE-Cy5.5, APC-Cy7, Biotin-APC, FITC-Biotin, TRITC, APC-Cy5, AF488, AF594, AF405, AF555, AF700, AF647, AF750 |
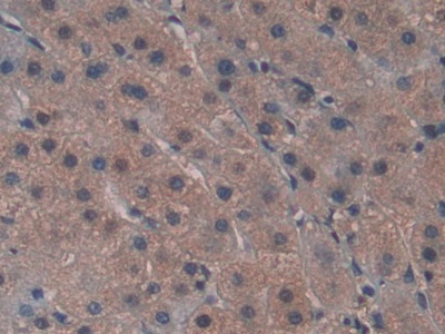
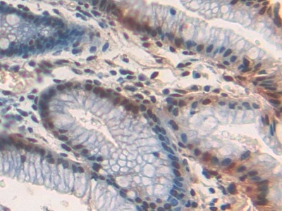
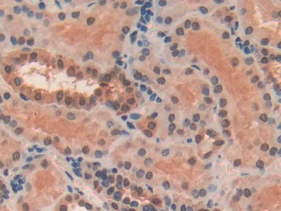
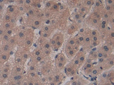
| Валидировано для | IHC WB Иммуногистохимия; Вестерн-блоттинг |
| Рекомендуемые разведения | WB: 0.01-5 мкг/мл; IHC: 5-50 мкг/мл; ICC: 5-50 мкг/мл; Оптимальное разведение определяется конечным потребителем |
| Метод очистки | Антигенспецифическая аффинная хроматография с последующей аффинной хроматографией с белком А |
| Состав буфера | PBS, pH7.4, 0.02% NaN3, 50% глицерин |
| Условия доставки | термобокс с аккумуляторами холода |
| Условия хранения | Сразу после получения аликвотировать и хранить при -20ºС до 24 месяцев. Для частого использования хранить при +4ºС не более 2 недель. Избегать повторения циклов замерзания/оттаивания |
| Срок хранения | 24 месяца |
| Производитель | Cloud-Clone Corp. |
| Ссылка на страницу товара на сайте производителя | http://www.cloud-clone.com/products/PAE571Hu01.html |
|
Артикул
|
Наименование |
Производитель
|
|---|
|
Артикул
|
Наименование |
Производитель
|
|---|
|
Артикул
|
Наименование |
Производитель
|
|---|
Акции и предложения
Популярные продукты:
InVivo MAb Anti-SFTSV Gn/Glycoprotein N Antibody (FS0300) (VVV33501)
Источник (хозяин): человек
Реактивность подтвержденная: вирусы
Валидировано для: ELISA, IF, NEUT
Реактивность подтвержденная: вирусы
Валидировано для: ELISA, IF, NEUT
Sheep Mitochondrial fission 1 protein ELISA kit (E14F0458)
Организм: овца
Porcine Lambda crystallin homolog(CRYL1) ELISA kit (E07L0316)
Организм: свинья
Monkey Choriogonadotropin subunit β variant 1(CGB1) ELISA kit (E09C1641)
Организм: обезьяна
Human Chorionic Gonadotropin ELISA kit (E01C0738)
Организм: человек
Диапазон определения: 5-100 мл Ед/мл
Чувствительность: 1м Ед/мл
Диапазон определения: 5-100 мл Ед/мл
Чувствительность: 1м Ед/мл

