| UNIPROT | Q9H479 |
| Иммуноген | RPJ094Hu01-Recombinant Fructosamine-3-Kinase (FN3K) |
Polyclonal Antibody to Fructosamine-3-Kinase (FN3K) (PAJ094Hu01)
Реактивность подтвержденная:
человек
Источник (хозяин):
кролик
Валидировано для:
IHC
WB
Характеристики
Техническое описание
| Русское название | PAJ094Hu01 Поликлональное антитело к FN3K (человек) <Cloud-Clone,Китай> |
| Каталожный номер | PAJ094Hu01 |
| Название антигена | Fructosamine-3-Kinase (FN3K) |
| UNIPROT | Q9H479 |
| Иммуноген | RPJ094Hu01-Recombinant Fructosamine-3-Kinase (FN3K) |
Реактивность подтвержденная Нужна другая реактивность? |
человек |
| Реактивность предсказываемая | мышь, крыса, свинья |
| Источник (хозяин) | кролик |
| Клональность | поликлональное |
| Рекомбинантное | нет |
| Готовое к использованию | нет |
| Концентрация | 500 мкг/мл |
| Конъюгат | По запросу: HRP, biotin, PerCP, PE, Cy3, FITC, Cy7, Cy5.5, PE-Cy5, PE-Cy7, PerCp-Cy5.5, APC, Cy5, PE-Cy3, PE-Cy5.5, APC-Cy7, Biotin-APC, FITC-Biotin, TRITC, APC-Cy5, AF488, AF594, AF405, AF555, AF700, AF647, AF750 |
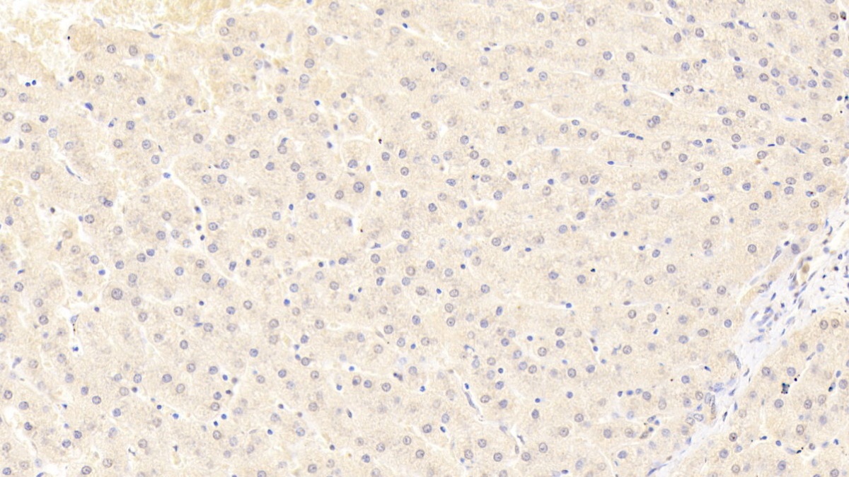
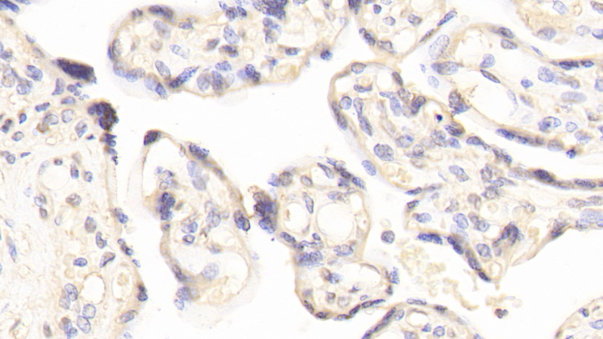
| Валидировано для | IHC WB Иммуногистохимия; Вестерн-блоттинг |
| Рекомендуемые разведения | WB: 0.01-2 мкг/мл; IHC: 5-20 мкг/мл; ICC: 5-20 мкг/мл; Оптимальное разведение определяется конечным потребителем |
| Метод очистки | Антигенспецифическая аффинная хроматография с последующей аффинной хроматографией с белком А |
| Состав буфера | PBS, pH7.4, 0.02% NaN3, 50% глицерин |
| Условия доставки | термобокс с аккумуляторами холода |
| Условия хранения | Сразу после получения аликвотировать и хранить при -20ºС до 24 месяцев. Для частого использования хранить при +4ºС не более 2 недель. Избегать повторения циклов замерзания/оттаивания |
| Срок хранения | 24 месяца |
| Производитель | Cloud-Clone Corp. |
| Ссылка на страницу товара на сайте производителя | http://www.cloud-clone.com/products/PAJ094Hu01.html |
|
Артикул
|
Наименование |
Производитель
|
|---|
|
Артикул
|
Наименование |
Производитель
|
|---|
|
Артикул
|
Наименование |
Производитель
|
|---|
Акции и предложения
Популярные продукты:
NeuN Mouse Monoclonal Antibody (BF9366)
Источник (хозяин): мышь
Реактивность подтвержденная: человек, крыса
Валидировано для: WB
Реактивность подтвержденная: человек, крыса
Валидировано для: WB
ELISA Kit DIY Materials for Catenin Alpha 1 (CTNNa1) (KSC201Hu01)
Организм: человек
Диапазон определения: 0.156-10 нг/мл
Чувствительность: 0.055 нг/мл
Диапазон определения: 0.156-10 нг/мл
Чувствительность: 0.055 нг/мл
Monoclonal Antibody to Transferrin (TF) (MAC036Po25)
Источник (хозяин): мышь
Реактивность подтвержденная: свинья
Валидировано для: IHC, WB
Реактивность подтвержденная: свинья
Валидировано для: IHC, WB
Monkey Spermine ELISA kit (E09S0034)
Организм: обезьяна
Guinea Pig Telomeric repeat binding factor 2 interacting protein 1(TERF2IP) ELISA kit (E05T0677)
Организм: морская свинка

