| UNIPROT | P07954# |
| Иммуноген | RPB931Hu01-Recombinant Fumarase (FUM) |
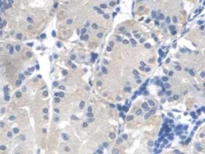
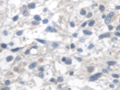
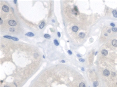
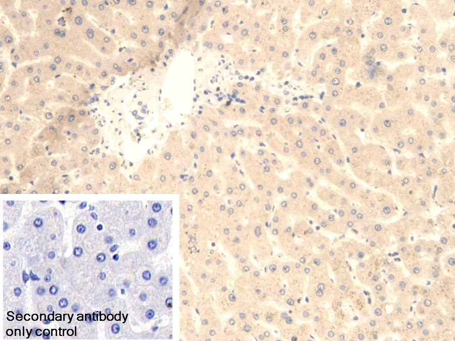
Polyclonal Antibody to Fumarase (FUM) (PAB931Hu01)
Реактивность подтвержденная:
человек
Источник (хозяин):
кролик
Валидировано для:
IHC
WB
Характеристики
Техническое описание
| Русское название | PAB931Hu01 Поликлональное антитело к FUM (человек) <Cloud-Clone,Китай> |
| Каталожный номер | PAB931Hu01 |
| Название антигена | Fumarase (FUM) |
| UNIPROT | P07954# |
| Иммуноген | RPB931Hu01-Recombinant Fumarase (FUM) |
| Английские синонимы | FH, Fumarate Hydratase, mitochondrial |
Реактивность подтвержденная Нужна другая реактивность? |
человек |
| Реактивность предсказываемая | свинья |
| Источник (хозяин) | кролик |
| Клональность | поликлональное |
| Рекомбинантное | нет |
| Готовое к использованию | нет |
| Концентрация | 0.5 мг/мл |
| Конъюгат | По запросу: HRP, biotin, PerCP, PE, Cy3, FITC, Cy7, Cy5.5, PE-Cy5, PE-Cy7, PerCp-Cy5.5, APC, Cy5, PE-Cy3, PE-Cy5.5, APC-Cy7, Biotin-APC, FITC-Biotin, TRITC, APC-Cy5, AF488, AF594, AF405, AF555, AF700, AF647, AF750 |
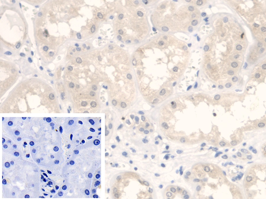
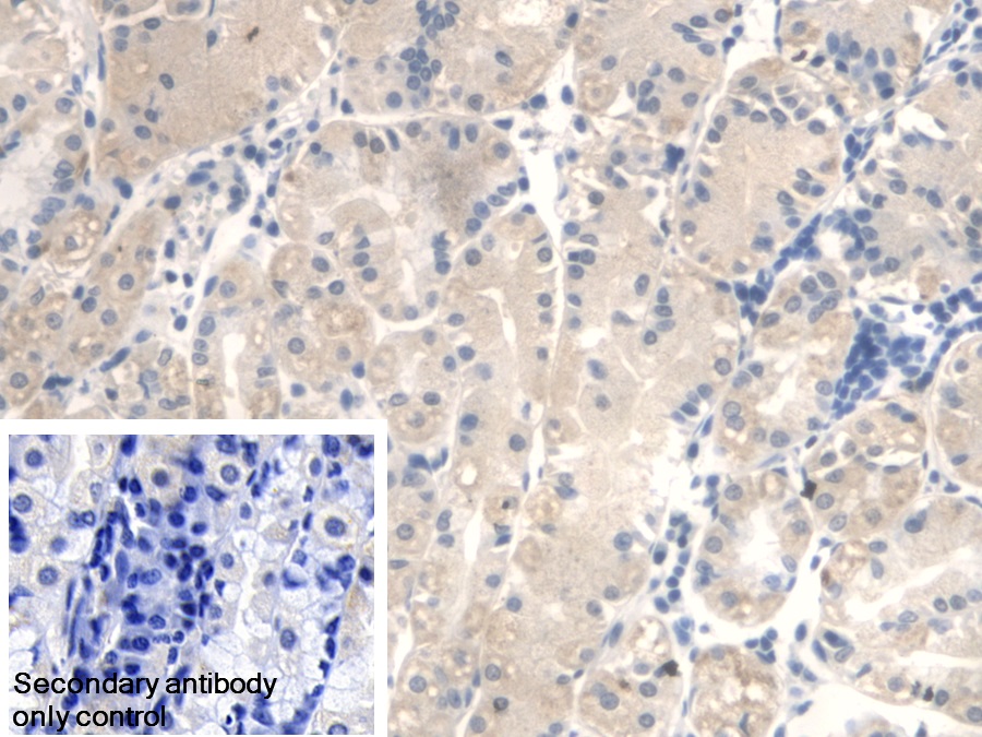
| Валидировано для | IHC WB Иммуногистохимия; Вестерн-блоттинг |
| Рекомендуемые разведения | WB: 0.5-2 мкг/мл; IHC: 5-20 мкг/мл; IF: 5-20 мкг/мл; Оптимальное разведение определяется конечным потребителем |
| Метод очистки | Антигенспецифическая аффинная хроматография с последующей аффинной хроматографией с белком А |
| Состав буфера | 0.01M PBS, pH7.4, 0.05% Proclin-300, 50% глицерин |
| Условия доставки | термобокс с аккумуляторами холода |
| Условия хранения | Сразу после получения аликвотировать и хранить при -20ºС до 24 месяцев. Для частого использования хранить при +4ºС не более 2 недель. Избегать повторения циклов замерзания/оттаивания |
| Срок хранения | 24 месяца |
| Производитель | Cloud-Clone Corp. |
| Ссылка на страницу товара на сайте производителя | http://www.cloud-clone.com/products/PAB931Hu01.html |
|
Артикул
|
Наименование |
Производитель
|
|---|
|
Артикул
|
Наименование |
Производитель
|
|---|
|
Артикул
|
Наименование |
Производитель
|
|---|
|
Артикул
|
Наименование |
Производитель
|
|---|
Акции и предложения
Популярные продукты:
Monoclonal Antibody to Cinobufagin (CBG) (MAO839Ge21)
Источник (хозяин): мышь
Реактивность подтвержденная: для всех
Валидировано для: ELISA, ICC
Реактивность подтвержденная: для всех
Валидировано для: ELISA, ICC
Chicken Streptozotocin ELISA kit (E12S0833)
Организм: курица
Porcine Steroidogenic acute regulatory protein ELISA kit (E07S0208)
Организм: свинья
Human Proteoglycan 4 ELISA kit (E01P0163)
Организм: человек
Диапазон определения: 10-250 нг/мл
Чувствительность: 1 нг/мл
Диапазон определения: 10-250 нг/мл
Чувствительность: 1 нг/мл
Mouse AP 1 complex subunit mu 1(AP1M1) ELISA kit (E03A1072)
Организм: мышь

