| UNIPROT | P23188 |
| Иммуноген | RPC494Mu01-Recombinant Furin (FUR) |
Polyclonal Antibody to Furin (FUR) (PAC494Mu01)
Реактивность подтвержденная:
мышь
Источник (хозяин):
кролик
Валидировано для:
IHC
WB
Характеристики
Техническое описание
| Русское название | PAC494Mu01 Поликлональное антитело к FUR (мышь) <Cloud-Clone,Китай> |
| Каталожный номер | PAC494Mu01 |
| Название антигена | Furin (FUR) |
| UNIPROT | P23188 |
| Иммуноген | RPC494Mu01-Recombinant Furin (FUR) |
| Английские синонимы | PACE, PCSK3, SPC1, Paired Basic Amino Acid Cleaving Enzyme, Dibasic-processing enzyme |
| Русские синонимы | PACE |
Реактивность подтвержденная Нужна другая реактивность? |
мышь |
| Реактивность предсказываемая | человек, крыса |
| Источник (хозяин) | кролик |
| Клональность | поликлональное |
| Рекомбинантное | нет |
| Готовое к использованию | нет |
| Концентрация | 500 мкг/мл |
| Конъюгат | По запросу: HRP, biotin, PerCP, PE, Cy3, FITC, Cy7, Cy5.5, PE-Cy5, PE-Cy7, PerCp-Cy5.5, APC, Cy5, PE-Cy3, PE-Cy5.5, APC-Cy7, Biotin-APC, FITC-Biotin, TRITC, APC-Cy5, AF488, AF594, AF405, AF555, AF700, AF647, AF750 |
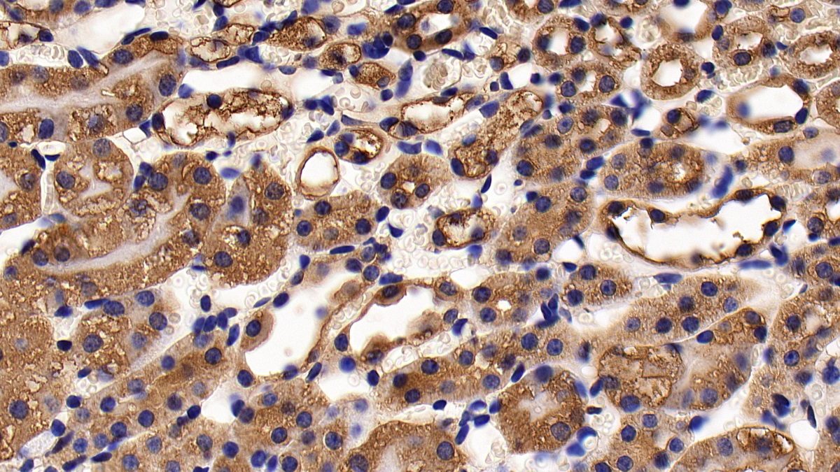
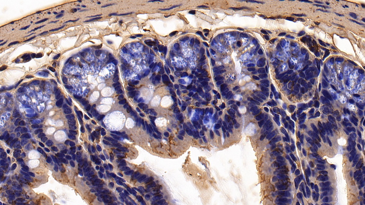
| Валидировано для | IHC WB Иммуногистохимия; Вестерн-блоттинг |
| Рекомендуемые разведения | WB: 0.5-2 мкг/мл; IHC: 5-20 мкг/мл; ICC: 5-20 мкг/мл; Оптимальное разведение определяется конечным потребителем |
| Метод очистки | Антигенспецифическая аффинная хроматография с последующей аффинной хроматографией с белком А |
| Состав буфера | PBS, pH7.4, 0.02% NaN3, 50% глицерин |
| Условия доставки | термобокс с аккумуляторами холода |
| Условия хранения | Сразу после получения аликвотировать и хранить при -20ºС до 24 месяцев. Для частого использования хранить при +4ºС не более 2 недель. Избегать повторения циклов замерзания/оттаивания |
| Срок хранения | 24 месяца |
| Производитель | Cloud-Clone Corp. |
| Ссылка на страницу товара на сайте производителя | http://www.cloud-clone.com/products/PAC494Mu01.html |
|
Артикул
|
Наименование |
Производитель
|
|---|
|
Артикул
|
Наименование |
Производитель
|
|---|
|
Артикул
|
Наименование |
Производитель
|
|---|
|
Артикул
|
Наименование |
Производитель
|
|---|
Акции и предложения
Популярные продукты:
Anti-Cyclophilin A (CYPA) Polyclonal Antibody (FAA979Po01)
Источник (хозяин): кролик
Реактивность подтвержденная: свинья
Валидировано для: WB
Реактивность подтвержденная: свинья
Валидировано для: WB
ELISA Kit DIY Materials for Growth Hormone Releasing Hormone Receptor (GHRHR) (KSC515Hu01)
Организм: человек
Диапазон определения: 0.312-20 нг/мл
Чувствительность: 0.112 нг/мл
Диапазон определения: 0.312-20 нг/мл
Чувствительность: 0.112 нг/мл
Chicken Lymphocyte Antigen 96 ELISA kit (E12L0307)
Организм: курица
Диапазон определения: 1-25 нг/мл
Чувствительность: 0.1 нг/мл
Диапазон определения: 1-25 нг/мл
Чувствительность: 0.1 нг/мл
Bovine Copine 1(CPNE1) ELISA kit (E11C2010)
Организм: корова
Guinea Pig Copine 1(CPNE1) ELISA kit (E05C2010)
Организм: морская свинка
Porcine Copine 2(CPNE2) ELISA kit (E07C2011)
Организм: свинья

