| UNIPROT | P42685 |
| Иммуноген | RPE371Hu01-Recombinant Fyn Related Kinase (FRK) |
Polyclonal Antibody to Fyn Related Kinase (FRK) (PAE371Hu01)
Реактивность подтвержденная:
человек
Источник (хозяин):
кролик
Валидировано для:
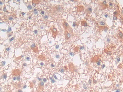
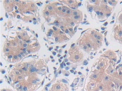
IHC
Характеристики
Техническое описание
| Русское название | PAE371Hu01 Поликлональное антитело к FRK (человек) <Cloud-Clone,Китай> |
| Каталожный номер | PAE371Hu01 |
| Название антигена | Fyn Related Kinase (FRK) |
| UNIPROT | P42685 |
| Иммуноген | RPE371Hu01-Recombinant Fyn Related Kinase (FRK) |
| Английские синонимы | FRK, GTK, PTK5, RAK, tyrosine protein kinase 5, Nuclear tyrosine protein kinase RAK |
Реактивность подтвержденная Нужна другая реактивность? |
человек |
| Реактивность предсказываемая | мышь, крыса |
| Источник (хозяин) | кролик |
| Клональность | поликлональное |
| Рекомбинантное | нет |
| Готовое к использованию | нет |
| Концентрация | 0.5 мг/мл |
| Конъюгат | По запросу: HRP, biotin, PerCP, PE, Cy3, FITC, Cy7, Cy5.5, PE-Cy5, PE-Cy7, PerCp-Cy5.5, APC, Cy5, PE-Cy3, PE-Cy5.5, APC-Cy7, Biotin-APC, FITC-Biotin, TRITC, APC-Cy5, AF488, AF594, AF405, AF555, AF700, AF647, AF750 |
| Валидировано для | IHC Иммуногистохимия |
| Рекомендуемые разведения | WB: 0.01-2 мкг/мл; IHC: 5-20 мкг/мл; IF: 5-20 мкг/мл; Оптимальное разведение определяется конечным потребителем |
| Метод очистки | Антигенспецифическая аффинная хроматография с последующей аффинной хроматографией с белком А |
| Состав буфера | PBS, pH7.4, 0.02% NaN3, 50% глицерин |
| Условия доставки | термобокс с аккумуляторами холода |
| Условия хранения | Сразу после получения аликвотировать и хранить при -20ºС до 24 месяцев. Для частого использования хранить при +4ºС не более 2 недель. Избегать повторения циклов замерзания/оттаивания |
| Срок хранения | 24 месяца |
| Производитель | Cloud-Clone Corp. |
| Ссылка на страницу товара на сайте производителя | http://www.cloud-clone.com/products/PAE371Hu01.html |
|
Артикул
|
Наименование |
Производитель
|
|---|
|
Артикул
|
Наименование |
Производитель
|
|---|
Акции и предложения
Популярные продукты:
Anti-Human SMDT1 Polyclonal Antibody (PHP31701)
Источник (хозяин): кролик
Реактивность подтвержденная: человек
Валидировано для: ELISA, IHC, WB
Реактивность подтвержденная: человек
Валидировано для: ELISA, IHC, WB
Rabbit WD repeat containing protein 1(WDR1) ELISA kit (E04W0007)
Организм: кролик
Monkey 6 phosphogluconolactonase(PGLS) ELISA kit (E09P0905)
Организм: обезьяна
Bovine Dopamine decarboxylase ELISA kit (E11D0232)
Организм: корова
Bovine Poly(ADP-ribose)polymerase 2 ELISA kit (E11P1232)
Организм: корова

