| UNIPROT | P81184 |
| Иммуноген | RPA321Ov01-Recombinant Galectin 1 (GAL1) |
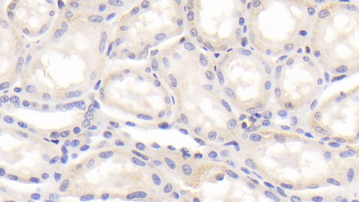
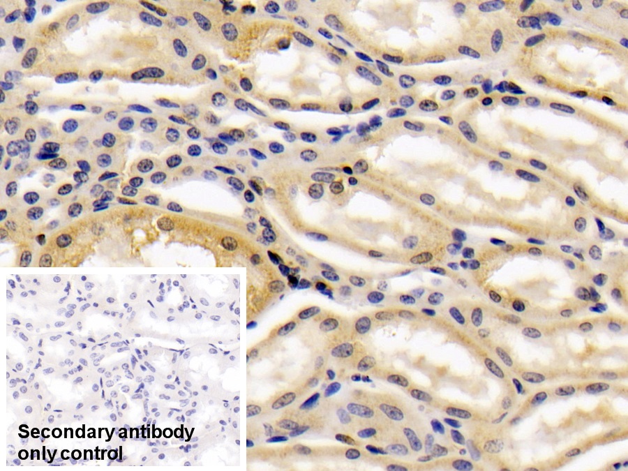
Polyclonal Antibody to Galectin 1 (GAL1) (PAA321Ov01)
Реактивность подтвержденная:
овца
Источник (хозяин):
кролик
Валидировано для:
IHC
WB
Характеристики
Техническое описание
| Русское название | PAA321Ov01 Поликлональное антитело к GAL1 (овца) <Cloud-Clone,Китай> |
| Каталожный номер | PAA321Ov01 |
| Название антигена | Galectin 1 (GAL1) |
| UNIPROT | P81184 |
| Иммуноген | RPA321Ov01-Recombinant Galectin 1 (GAL1) |
| Английские синонимы | LGALS1, GBP, HLBP14, Galaptin, Lectin,Galactoside-Binding Soluble 1, 14 kDa laminin-binding protein, Lactose-binding lectin 1, Putative MAPK-activating protein PM12, S-Lac lectin |
Реактивность подтвержденная Нужна другая реактивность? |
овца |
| Реактивность предсказываемая | человек, крыса, коза |
| Источник (хозяин) | кролик |
| Клональность | поликлональное |
| Рекомбинантное | нет |
| Готовое к использованию | нет |
| Концентрация | 0.5 мг/мл |
| Конъюгат | По запросу: HRP, biotin, PerCP, PE, Cy3, FITC, Cy7, Cy5.5, PE-Cy5, PE-Cy7, PerCp-Cy5.5, APC, Cy5, PE-Cy3, PE-Cy5.5, APC-Cy7, Biotin-APC, FITC-Biotin, TRITC, APC-Cy5, AF488, AF594, AF405, AF555, AF700, AF647, AF750 |
| Валидировано для | IHC WB Иммуногистохимия; Вестерн-блоттинг |
| Рекомендуемые разведения | WB: 0.01-2 мкг/мл; IHC: 5-20 мкг/мл; IF: 5-20 мкг/мл; Оптимальное разведение определяется конечным потребителем |
| Метод очистки | Антигенспецифическая аффинная хроматография с последующей аффинной хроматографией с белком А |
| Состав буфера | PBS, pH7.4, 0.02% NaN3, 50% глицерин |
| Условия доставки | термобокс с аккумуляторами холода |
| Условия хранения | Сразу после получения аликвотировать и хранить при -20ºС до 24 месяцев. Для частого использования хранить при +4ºС не более 2 недель. Избегать повторения циклов замерзания/оттаивания |
| Срок хранения | 24 месяца |
| Производитель | Cloud-Clone Corp. |
| Ссылка на страницу товара на сайте производителя | http://www.cloud-clone.com/products/PAA321Ov01.html |
|
Артикул
|
Наименование |
Производитель
|
|---|
|
Артикул
|
Наименование |
Производитель
|
|---|
|
Артикул
|
Наименование |
Производитель
|
|---|
|
Артикул
|
Наименование |
Производитель
|
|---|
|
Артикул
|
Наименование |
Производитель
|
|---|
|
Артикул
|
Наименование |
Производитель
|
|---|
|
Артикул
|
Наименование |
Производитель
|
|---|
|
Артикул
|
Наименование |
Производитель
|
|---|
|
Артикул
|
Наименование |
Производитель
|
|---|
|
Артикул
|
Наименование |
Производитель
|
|---|
|
Артикул
|
Наименование |
Производитель
|
|---|
Акции и предложения
Популярные продукты:
Monkey Astrotactin 2(ASTN2) ELISA kit (E09A1734)
Организм: обезьяна
PKM Polyclonal Antibody (E-AB-10004)
Источник (хозяин): кролик
Реактивность подтвержденная: человек, мышь, крыса
Валидировано для: IHC, WB
Реактивность подтвержденная: человек, мышь, крыса
Валидировано для: IHC, WB
PI4KA Antibody (DF12696)
Источник (хозяин): кролик
Реактивность подтвержденная: человек, мышь, крыса
Валидировано для: WB
Реактивность подтвержденная: человек, мышь, крыса
Валидировано для: WB
FIS1 Antibody (DF12005)
Источник (хозяин): кролик
Реактивность подтвержденная: человек, мышь, крыса
Валидировано для: IHC, WB
Реактивность подтвержденная: человек, мышь, крыса
Валидировано для: IHC, WB
ACE1 Antibody (AF5197)
Источник (хозяин): кролик
Реактивность подтвержденная: человек, мышь, крыса
Валидировано для: IHC, WB, IF, ICC
Реактивность подтвержденная: человек, мышь, крыса
Валидировано для: IHC, WB, IF, ICC
Recombinant Interleukin 4 (IL4) (RPA077Ov01)
Источник (хозяин): E.coli
Организм: овца
Теги: N-концевой His-Tag
Биоактивность: нет
Организм: овца
Теги: N-концевой His-Tag
Биоактивность: нет

