| UNIPROT | Q49I35 |
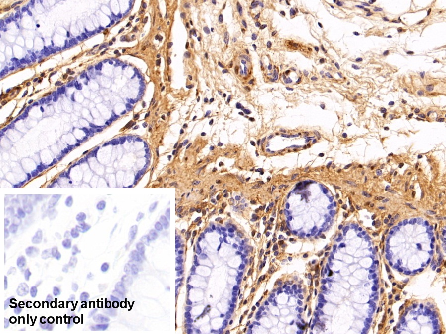
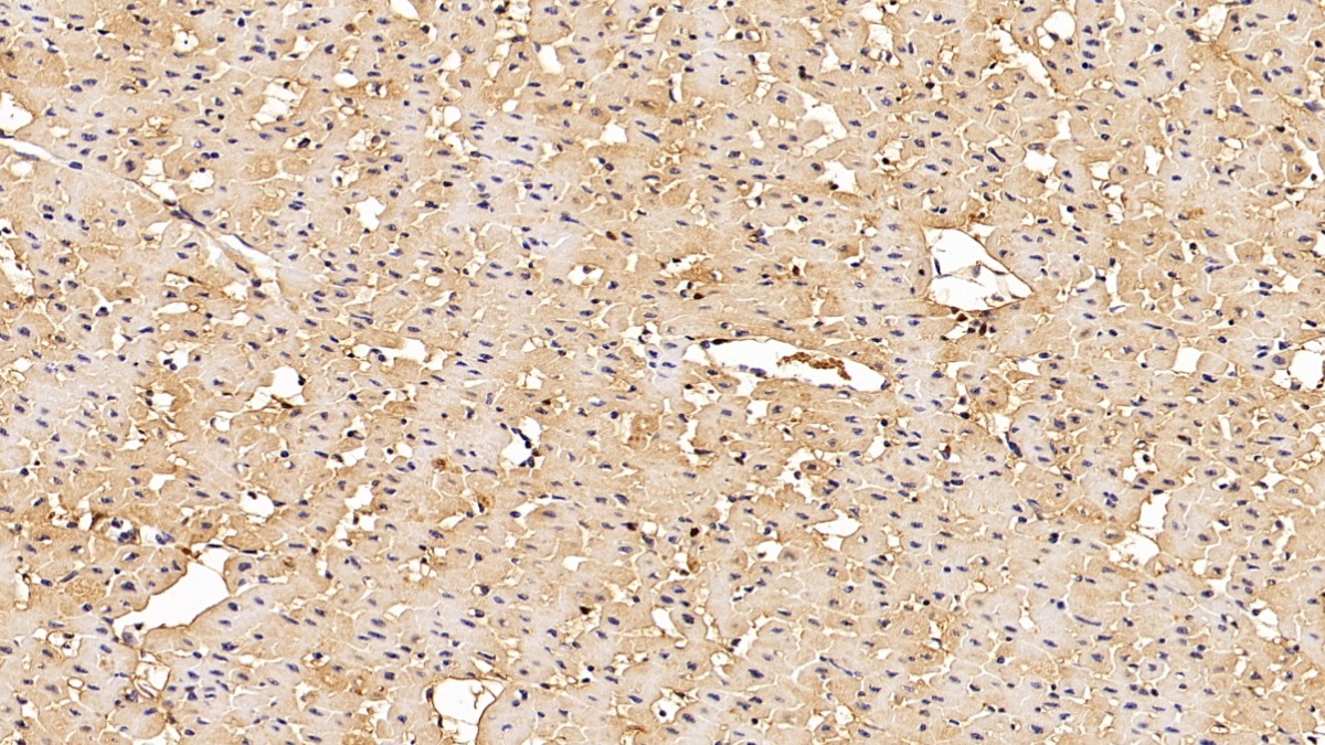
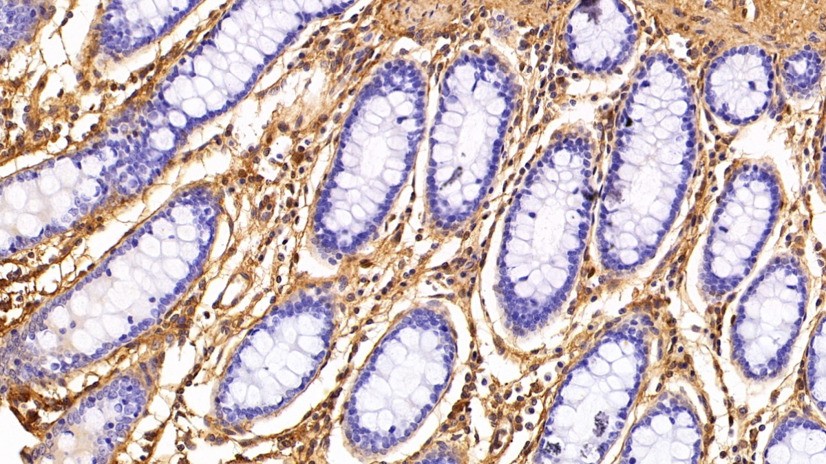
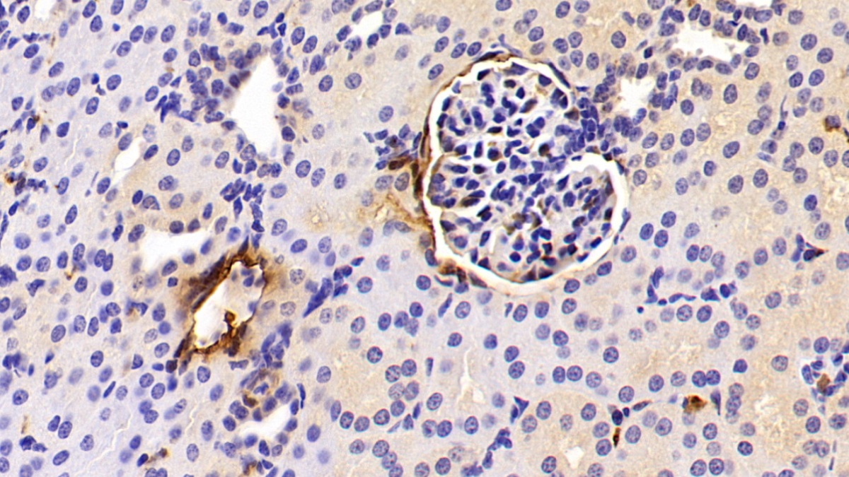
| Иммуноген | RPA321Po01-Recombinant Galectin 1 (GAL1) |
Polyclonal Antibody to Galectin 1 (GAL1) (PAA321Po01)
Реактивность подтвержденная:
свинья
Источник (хозяин):
кролик
Валидировано для:
IHC
WB
Характеристики
Техническое описание
| Русское название | PAA321Po01 Поликлональное антитело к GAL1 (свинья) <Cloud-Clone,Китай> |
| Каталожный номер | PAA321Po01 |
| Название антигена | Galectin 1 (GAL1) |
| UNIPROT | Q49I35 |
| Иммуноген | RPA321Po01-Recombinant Galectin 1 (GAL1) |
| Английские синонимы | LGALS1, GBP, HLBP14, Galaptin, Lectin,Galactoside-Binding Soluble 1, 14 kDa laminin-binding protein, Lactose-binding lectin 1, Putative MAPK-activating protein PM12, S-Lac lectin |
Реактивность подтвержденная Нужна другая реактивность? |
свинья |
| Реактивность предсказываемая | человек |
| Источник (хозяин) | кролик |
| Клональность | поликлональное |
| Рекомбинантное | нет |
| Готовое к использованию | нет |
| Концентрация | 500 мкг/мл |
| Конъюгат | По запросу: HRP, biotin, PerCP, PE, Cy3, FITC, Cy7, Cy5.5, PE-Cy5, PE-Cy7, PerCp-Cy5.5, APC, Cy5, PE-Cy3, PE-Cy5.5, APC-Cy7, Biotin-APC, FITC-Biotin, TRITC, APC-Cy5, AF488, AF594, AF405, AF555, AF700, AF647, AF750 |
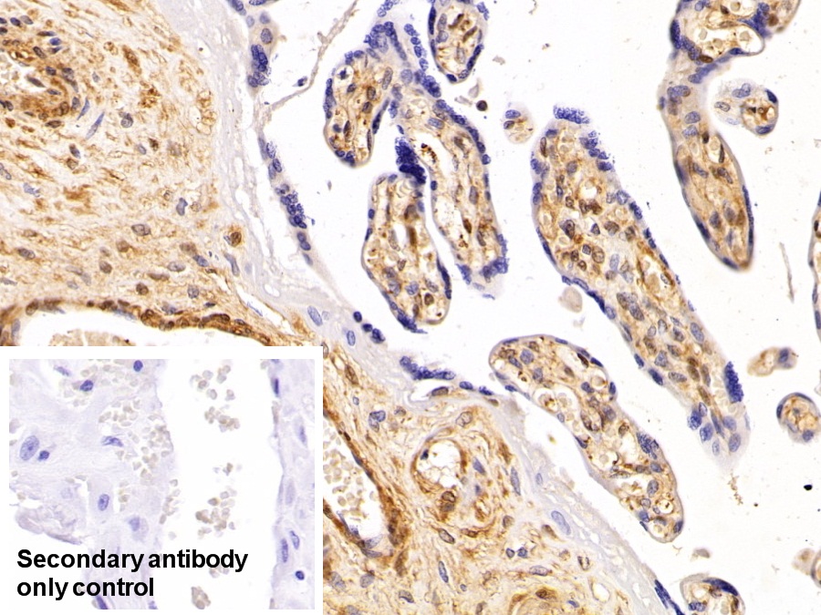
| Валидировано для | IHC WB Иммуногистохимия; Вестерн-блоттинг |
| Рекомендуемые разведения | WB: 0.2-2 мкг/мл; 1:250-2500; IHC: 5-20 мкг/мл; 1:25-100; ICC: 5-20 мкг/мл; 1:25-100; Оптимальное разведение определяется конечным потребителем |
| Метод очистки | Антигенспецифическая аффинная хроматография с последующей аффинной хроматографией с белком А |
| Состав буфера | 0.01M PBS, pH7.4, 0.05% Proclin-300, 50% глицерин |
| Условия доставки | термобокс с аккумуляторами холода |
| Условия хранения | Сразу после получения аликвотировать и хранить при -20ºС до 24 месяцев. Для частого использования хранить при +4ºС не более 2 недель. Избегать повторения циклов замерзания/оттаивания |
| Срок хранения | 24 месяца |
| Производитель | Cloud-Clone Corp. |
| Ссылка на страницу товара на сайте производителя | http://www.cloud-clone.com/products/PAA321Po01.html |
|
Артикул
|
Наименование |
Производитель
|
|---|
|
Артикул
|
Наименование |
Производитель
|
|---|
|
Артикул
|
Наименование |
Производитель
|
|---|
|
Артикул
|
Наименование |
Производитель
|
|---|
|
Артикул
|
Наименование |
Производитель
|
|---|
|
Артикул
|
Наименование |
Производитель
|
|---|
|
Артикул
|
Наименование |
Производитель
|
|---|
|
Артикул
|
Наименование |
Производитель
|
|---|
|
Артикул
|
Наименование |
Производитель
|
|---|
|
Артикул
|
Наименование |
Производитель
|
|---|
|
Артикул
|
Наименование |
Производитель
|
|---|
Акции и предложения
Популярные продукты:
Monkey adrenomedullin 2 (ADM2) ELISA kit (E09A1275)
Организм: обезьяна
Canine Hexose-6-Phosphate Dehydrogenase ELISA kit (E08H1504)
Организм: собака
Guinea Pig Klotho ELISA kit (E05K0027)
Организм: морская свинка
Mouse Zonadhesin ELISA kit (E03Z0050)
Организм: мышь
Mouse Cerebellin 4(CBLN4) ELISA kit (E03C1410)
Организм: мышь
Rabbit Protein TBRG4(TBRG4) ELISA kit (E04P0896)
Организм: кролик

