| UNIPROT | P05162 |
| Иммуноген | RPA302Hu01-Recombinant Galectin 2 (GAL2) |
Polyclonal Antibody to Galectin 2 (GAL2) (PAA302Hu01)
Реактивность подтвержденная:
человек
Источник (хозяин):
кролик
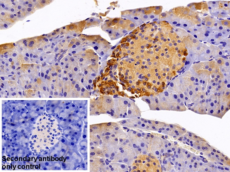
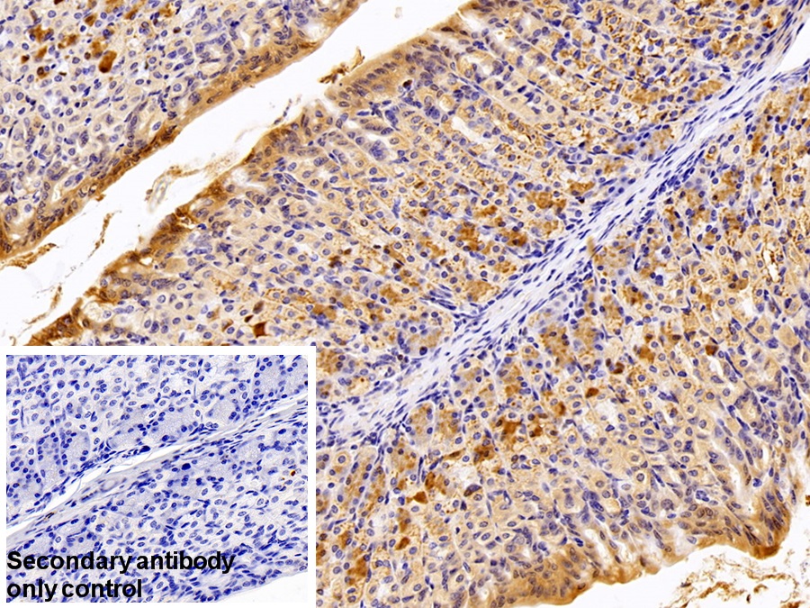
Валидировано для:
IHC
WB
Характеристики
Техническое описание
| Русское название | PAA302Hu01 Поликлональное антитело к GAL2 (человек) <Cloud-Clone,Китай> |
| Каталожный номер | PAA302Hu01 |
| Название антигена | Galectin 2 (GAL2) |
| UNIPROT | P05162 |
| Иммуноген | RPA302Hu01-Recombinant Galectin 2 (GAL2) |
| Английские синонимы | LGALS2, HL14, Lectin,Galactoside-Binding Soluble 2, Beta-galactoside-binding lectin L-14-II, Lactose-binding lectin 2, S-Lac lectin 2 |
Реактивность подтвержденная Нужна другая реактивность? |
человек |
| Реактивность предсказываемая | мышь, крыса, свинья |
| Источник (хозяин) | кролик |
| Клональность | поликлональное |
| Рекомбинантное | нет |
| Готовое к использованию | нет |
| Концентрация | 0.5 мг/мл |
| Конъюгат | По запросу: HRP, biotin, PerCP, PE, Cy3, FITC, Cy7, Cy5.5, PE-Cy5, PE-Cy7, PerCp-Cy5.5, APC, Cy5, PE-Cy3, PE-Cy5.5, APC-Cy7, Biotin-APC, FITC-Biotin, TRITC, APC-Cy5, AF488, AF594, AF405, AF555, AF700, AF647, AF750 |
| Валидировано для | IHC WB Иммуногистохимия; Вестерн-блоттинг |
| Рекомендуемые разведения | WB: 0.01-2 мкг/мл; IHC: 5-20 мкг/мл; ICC: 5-20 мкг/мл; Оптимальное разведение определяется конечным потребителем |
| Метод очистки | Антигенспецифическая аффинная хроматография с последующей аффинной хроматографией с белком А |
| Состав буфера | PBS, pH7.4, 0.02% NaN3, 50% глицерин |
| Условия доставки | термобокс с аккумуляторами холода |
| Условия хранения | Сразу после получения аликвотировать и хранить при -20ºС до 24 месяцев. Для частого использования хранить при +4ºС не более 2 недель. Избегать повторения циклов замерзания/оттаивания |
| Срок хранения | 24 месяца |
| Производитель | Cloud-Clone Corp. |
| Ссылка на страницу товара на сайте производителя | http://www.cloud-clone.com/products/PAA302Hu01.html |
|
Артикул
|
Наименование |
Производитель
|
|---|
|
Артикул
|
Наименование |
Производитель
|
|---|
|
Артикул
|
Наименование |
Производитель
|
|---|
|
Артикул
|
Наименование |
Производитель
|
|---|
|
Артикул
|
Наименование |
Производитель
|
|---|
Акции и предложения
Популярные продукты:
Guinea Pig Krueppel-like factor 17(KLF17) ELISA kit (E05K0090)
Организм: морская свинка
Monkey Cytochrome b 245 heavy chain(CYBB) ELISA kit (E09C2212)
Организм: обезьяна
Porcine Collagen Alpha 6(IV) chain (COL4A6) ELISA kit (E07C1915)
Организм: свинья
Guinea Pig Fibrillin 3 ELISA kit (E05F0061)
Организм: морская свинка
Recombinant Mouse APOE Protein, N-His (YMB98601)
Источник (хозяин): E.coli
Организм: мышь
Фрагмент: Gly20-Gln200
Теги: N-His
Биоактивность: нет
Организм: мышь
Фрагмент: Gly20-Gln200
Теги: N-His
Биоактивность: нет
Polyclonal Antibody to Angiotensin 1-7 (Ang1-7) (PAS085Mi08)
Источник (хозяин): кролик
Реактивность подтвержденная: человек, мышь, крыса, собака, овца, лошадь
Валидировано для: IHC
Реактивность подтвержденная: человек, мышь, крыса, собака, овца, лошадь
Валидировано для: IHC

