| UNIPROT | Q9CQW5 |
| Иммуноген | RPA302Mu01-Recombinant Galectin 2 (GAL2) |
Polyclonal Antibody to Galectin 2 (GAL2) (PAA302Mu01)
Реактивность подтвержденная:
мышь
Источник (хозяин):
кролик
Валидировано для:
IHC
WB
Характеристики
Публикации
Техническое описание
| Русское название | PAA302Mu01 Поликлональное антитело к GAL2 (мышь) <Cloud-Clone,Китай> |
| Каталожный номер | PAA302Mu01 |
| Название антигена | Galectin 2 (GAL2) |
| UNIPROT | Q9CQW5 |
| Иммуноген | RPA302Mu01-Recombinant Galectin 2 (GAL2) |
| Английские синонимы | LGALS2, HL14, Lectin,Galactoside-Binding Soluble 2, Beta-galactoside-binding lectin L-14-II, Lactose-binding lectin 2, S-Lac lectin 2 |
Реактивность подтвержденная Нужна другая реактивность? |
мышь |
| Реактивность предсказываемая | крыса |
| Источник (хозяин) | кролик |
| Клональность | поликлональное |
| Рекомбинантное | нет |
| Готовое к использованию | нет |
| Концентрация | 0.34 мг/мл |
| Конъюгат | По запросу: HRP, biotin, PerCP, PE, Cy3, FITC, Cy7, Cy5.5, PE-Cy5, PE-Cy7, PerCp-Cy5.5, APC, Cy5, PE-Cy3, PE-Cy5.5, APC-Cy7, Biotin-APC, FITC-Biotin, TRITC, APC-Cy5, AF488, AF594, AF405, AF555, AF700, AF647, AF750 |
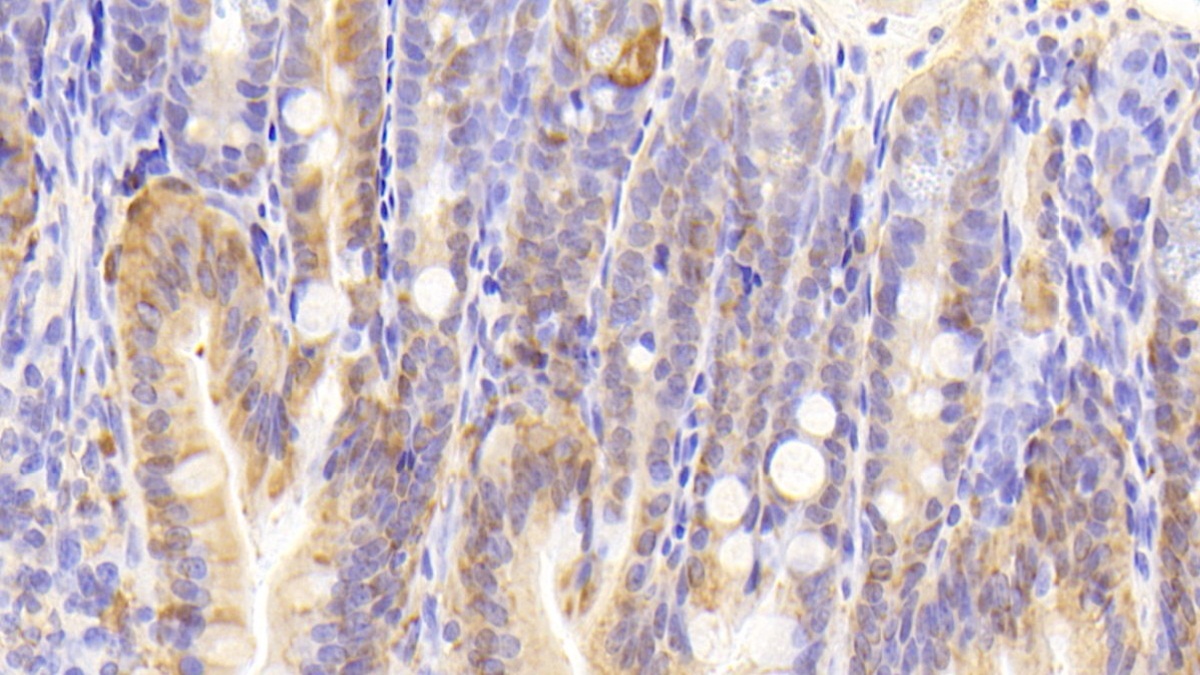
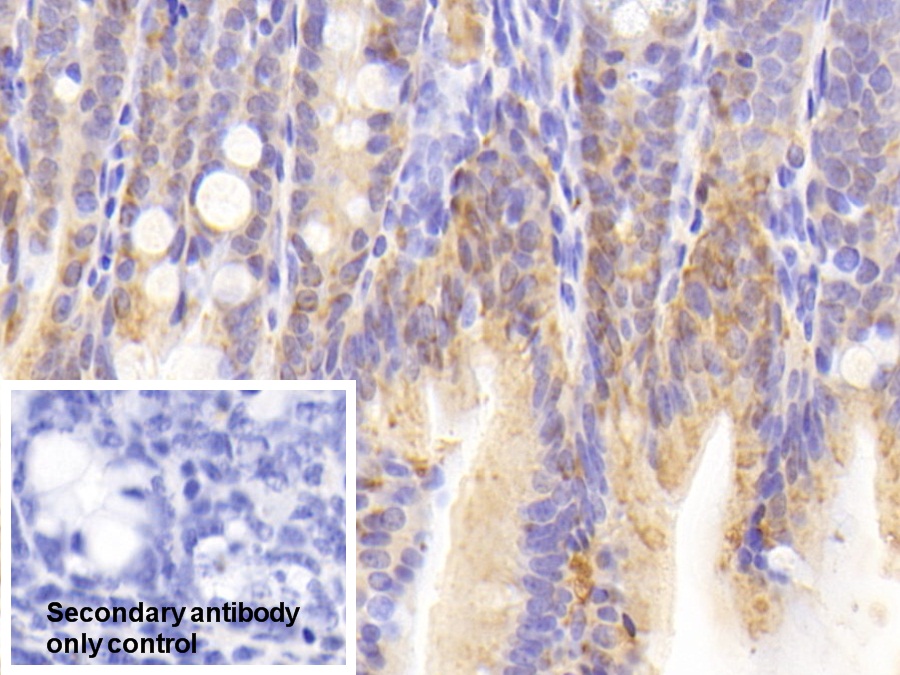
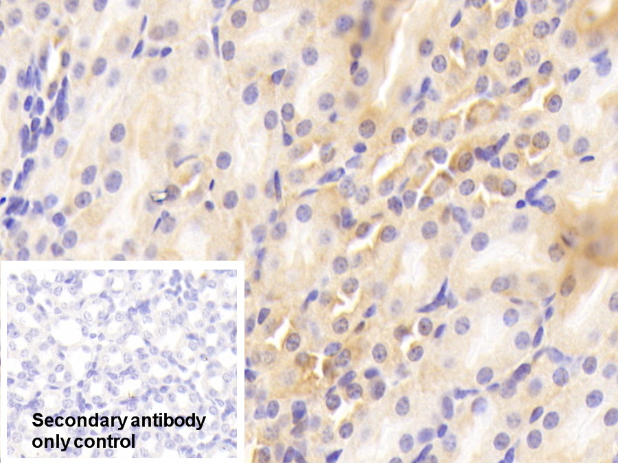
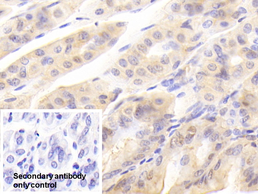
| Валидировано для | IHC WB Иммуногистохимия; Вестерн-блоттинг |
| Рекомендуемые разведения | WB: 0.5-2 мкг/мл; 1:170-700; IHC: 5-20 мкг/мл; 1:17-70; ICC: 5-20 мкг/мл; 1:17-70; Оптимальное разведение определяется конечным потребителем |
| Метод очистки | Антигенспецифическая аффинная хроматография с последующей аффинной хроматографией с белком А |
| Состав буфера | 0.01M PBS, pH7.4, 0.05% Proclin-300, 50% глицерин |
| Условия доставки | термобокс с аккумуляторами холода |
| Условия хранения | Сразу после получения аликвотировать и хранить при -20ºС до 24 месяцев. Для частого использования хранить при +4ºС не более 2 недель. Избегать повторения циклов замерзания/оттаивания |
| Срок хранения | 24 месяца |
| Производитель | Cloud-Clone Corp. |
| Ссылка на страницу товара на сайте производителя | http://www.cloud-clone.com/products/PAA302Mu01.html |
|
Артикул
|
Наименование |
Производитель
|
|---|
|
Артикул
|
Наименование |
Производитель
|
|---|
|
Артикул
|
Наименование |
Производитель
|
|---|
|
Артикул
|
Наименование |
Производитель
|
|---|
|
Артикул
|
Наименование |
Производитель
|
|---|
Акции и предложения
Популярные продукты:
Rabbit Putrescine ELISA kit (E04P1258)
Организм: кролик
Goat Angiotensin 2 ELISA kit (E06A0204)
Организм: коза
Bovine A kinase anchor protein 2(AKAP2) ELISA kit (E11A1355)
Организм: корова
Chicken A kinase anchor protein 13(AKAP13) ELISA kit (E12A1353)
Организм: курица

