| UNIPROT | P17931 |
| Иммуноген | RPA303Hu01-Recombinant Galectin 3 (GAL3) |
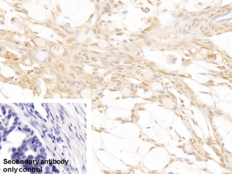
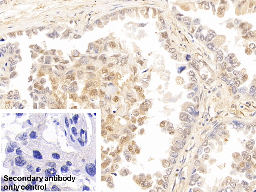
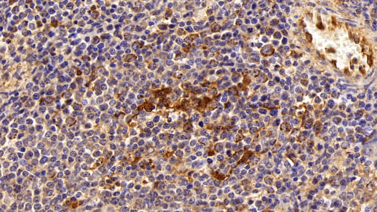
Polyclonal Antibody to Galectin 3 (GAL3) (PAA303Hu01)
Реактивность подтвержденная:
человек
Источник (хозяин):
кролик
Валидировано для:
IHC
WB
Характеристики
Техническое описание
| Русское название | PAA303Hu01 Поликлональное антитело к GAL3 (человек) <Cloud-Clone,Китай> |
| Каталожный номер | PAA303Hu01 |
| Название антигена | Galectin 3 (GAL3) |
| UNIPROT | P17931 |
| Иммуноген | RPA303Hu01-Recombinant Galectin 3 (GAL3) |
| Английские синонимы | LGALS3, CBP35, GALBP, GALIG, MAC2, 35 kDa lectin, Carbohydrate-binding protein 35, Galactose-specific lectin 3, Galactoside-binding protein, Laminin-binding protein, Lectin L-29, Galectin-3 |
| Русские синонимы | Галектин-3 |
Реактивность подтвержденная Нужна другая реактивность? |
человек |
| Реактивность предсказываемая | крыса, свинья |
| Источник (хозяин) | кролик |
| Клональность | поликлональное |
| Рекомбинантное | нет |
| Готовое к использованию | нет |
| Концентрация | 0.5 мг/мл |
| Конъюгат | По запросу: HRP, biotin, PerCP, PE, Cy3, FITC, Cy7, Cy5.5, PE-Cy5, PE-Cy7, PerCp-Cy5.5, APC, Cy5, PE-Cy3, PE-Cy5.5, APC-Cy7, Biotin-APC, FITC-Biotin, TRITC, APC-Cy5, AF488, AF594, AF405, AF555, AF700, AF647, AF750 |
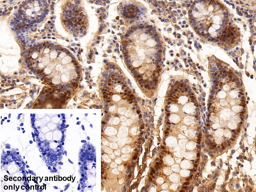
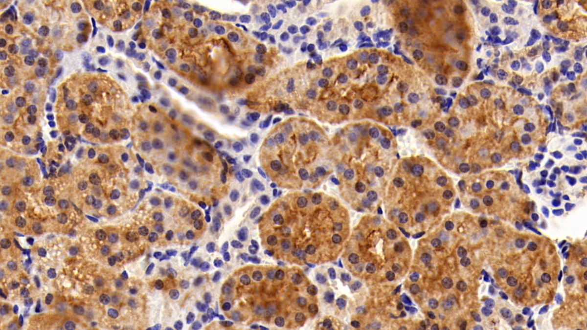
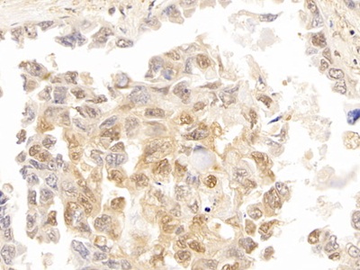
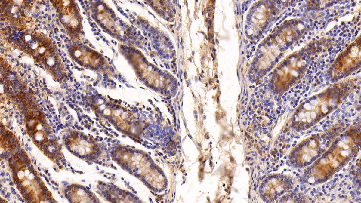
| Валидировано для | IHC WB Иммуногистохимия; Вестерн-блоттинг |
| Рекомендуемые разведения | WB: 0.1-2 мкг/мл; IHC: 5-20 мкг/мл; IF: 5-20 мкг/мл; Оптимальное разведение определяется конечным потребителем |
| Метод очистки | Антигенспецифическая аффинная хроматография с последующей аффинной хроматографией с белком А |
| Состав буфера | 0.01M PBS, pH7.4, 0.05% Proclin-300, 50% глицерин |
| Условия доставки | термобокс с аккумуляторами холода |
| Условия хранения | Сразу после получения аликвотировать и хранить при -20ºС до 24 месяцев. Для частого использования хранить при +4ºС не более 2 недель. Избегать повторения циклов замерзания/оттаивания |
| Срок хранения | 24 месяца |
| Производитель | Cloud-Clone Corp. |
| Ссылка на страницу товара на сайте производителя | http://www.cloud-clone.com/products/PAA303Hu01.html |
|
Артикул
|
Наименование |
Производитель
|
|---|
|
Артикул
|
Наименование |
Производитель
|
|---|
|
Артикул
|
Наименование |
Производитель
|
|---|
|
Артикул
|
Наименование |
Производитель
|
|---|
|
Артикул
|
Наименование |
Производитель
|
|---|
|
Артикул
|
Наименование |
Производитель
|
|---|
|
Артикул
|
Наименование |
Производитель
|
|---|
|
Артикул
|
Наименование |
Производитель
|
|---|
|
Артикул
|
Наименование |
Производитель
|
|---|
|
Артикул
|
Наименование |
Производитель
|
|---|
Акции и предложения
Популярные продукты:
InVivoMAb Anti-Mouse CD8α Antibody (2.43) (VMB96002)
Источник (хозяин): крыса
Реактивность подтвержденная: мышь
Валидировано для: Depletion, ELISA, WB
Реактивность подтвержденная: мышь
Валидировано для: Depletion, ELISA, WB
Anti-Acid Phosphatase 2, Lysosomal (ACP2) Polyclonal Antibody (FAD089Hu01)
Источник (хозяин): кролик
Реактивность подтвержденная: человек
Валидировано для: FCM
Реактивность подтвержденная: человек
Валидировано для: FCM
Multiplex Assay Kit for Cystathionine Beta Synthase (CbS) (LMJ484Mu)
Организм: мышь
Диапазон определения: 0.01-10 нг/мл
Чувствительность: 0.003 нг/мл
Диапазон определения: 0.01-10 нг/мл
Чувствительность: 0.003 нг/мл
ELISA Kit DIY Materials for Calretinin (CR) (KSA687Hu01)
Организм: человек
Диапазон определения: 0.156-10 нг/мл
Чувствительность: 0.055 нг/мл
Диапазон определения: 0.156-10 нг/мл
Чувствительность: 0.055 нг/мл
Chicken Cystinosin(CTNS) ELISA kit (E12C2155)
Организм: курица
Rat Sentan(SNTN) ELISA kit (E02S0388)
Организм: крыса

