| UNIPROT | Q8K419 |
| Иммуноген | RPA304Mu01-Recombinant Galectin 4 (GAL4) |
Polyclonal Antibody to Galectin 4 (GAL4) (PAA304Mu01)
Реактивность подтвержденная:
мышь
Источник (хозяин):
кролик
Валидировано для:
IHC
WB
Характеристики
Техническое описание
| Русское название | PAA304Mu01 Поликлональное антитело к GAL4 (мышь) <Cloud-Clone,Китай> |
| Каталожный номер | PAA304Mu01 |
| Название антигена | Galectin 4 (GAL4) |
| UNIPROT | Q8K419 |
| Иммуноген | RPA304Mu01-Recombinant Galectin 4 (GAL4) |
| Английские синонимы | LGALS4, Lactose-Binding Lectin 4, L-36 Lactose-Binding Protein, L36LBP, Lectin,Galactoside-Binding Soluble 4 |
Реактивность подтвержденная Нужна другая реактивность? |
мышь |
| Источник (хозяин) | кролик |
| Клональность | поликлональное |
| Рекомбинантное | нет |
| Готовое к использованию | нет |
| Концентрация | 0.5 мг/мл |
| Конъюгат | По запросу: HRP, biotin, PerCP, PE, Cy3, FITC, Cy7, Cy5.5, PE-Cy5, PE-Cy7, PerCp-Cy5.5, APC, Cy5, PE-Cy3, PE-Cy5.5, APC-Cy7, Biotin-APC, FITC-Biotin, TRITC, APC-Cy5, AF488, AF594, AF405, AF555, AF700, AF647, AF750 |
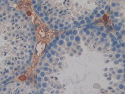
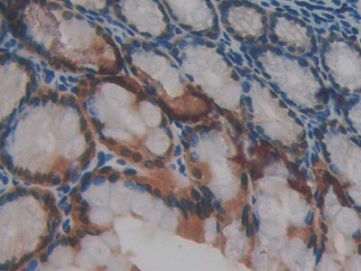
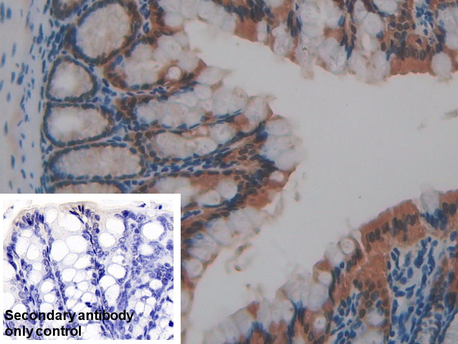
| Валидировано для | IHC WB Иммуногистохимия; Вестерн-блоттинг |
| Рекомендуемые разведения | WB: 0.01-2 мкг/мл; IHC: 5-20 мкг/мл; ICC: 5-20 мкг/мл; Оптимальное разведение определяется конечным потребителем |
| Метод очистки | Антигенспецифическая аффинная хроматография с последующей аффинной хроматографией с белком А |
| Состав буфера | 0.01M PBS, pH7.4, 0.05% Proclin-300, 50% глицерин |
| Условия доставки | термобокс с аккумуляторами холода |
| Условия хранения | Сразу после получения аликвотировать и хранить при -20ºС до 24 месяцев. Для частого использования хранить при +4ºС не более 2 недель. Избегать повторения циклов замерзания/оттаивания |
| Срок хранения | 24 месяца |
| Производитель | Cloud-Clone Corp. |
| Ссылка на страницу товара на сайте производителя | http://www.cloud-clone.com/products/PAA304Mu01.html |
|
Артикул
|
Наименование |
Производитель
|
|---|
|
Артикул
|
Наименование |
Производитель
|
|---|
|
Артикул
|
Наименование |
Производитель
|
|---|
|
Артикул
|
Наименование |
Производитель
|
|---|
|
Артикул
|
Наименование |
Производитель
|
|---|
|
Артикул
|
Наименование |
Производитель
|
|---|
|
Артикул
|
Наименование |
Производитель
|
|---|
|
Артикул
|
Наименование |
Производитель
|
|---|
Акции и предложения
Популярные продукты:
Goat β casein(CSN2) ELISA kit (E06B0896)
Организм: коза
Диапазон определения: 0.5-10 мкг/мл
Чувствительность: 0.1 мкг/мл
Диапазон определения: 0.5-10 мкг/мл
Чувствительность: 0.1 мкг/мл
Rabbit Galectin 4 ELISA kit (E04G0059)
Организм: кролик

