| UNIPROT | P97590 |
| Иммуноген | RPA307Ra01-Recombinant Galectin 7 (GAL7) |
Polyclonal Antibody to Galectin 7 (GAL7) (PAA307Ra01)
Реактивность подтвержденная:
крыса
Источник (хозяин):
кролик
Валидировано для:
IHC
WB
Характеристики
Техническое описание
| Русское название | PAA307Ra01 Поликлональное антитело к GAL7 (крыса) <Cloud-Clone,Китай> |
| Каталожный номер | PAA307Ra01 |
| Название антигена | Galectin 7 (GAL7) |
| UNIPROT | P97590 |
| Иммуноген | RPA307Ra01-Recombinant Galectin 7 (GAL7) |
| Английские синонимы | LGALS7, PIG1, TP53I1, HKL-14, Lectin Galactoside-Binding Soluble 7, p53-induced gene 1 protein |
Реактивность подтвержденная Нужна другая реактивность? |
крыса |
| Реактивность предсказываемая | мышь |
| Источник (хозяин) | кролик |
| Клональность | поликлональное |
| Рекомбинантное | нет |
| Готовое к использованию | нет |
| Концентрация | 0.5 мг/мл |
| Конъюгат | По запросу: HRP, biotin, PerCP, PE, Cy3, FITC, Cy7, Cy5.5, PE-Cy5, PE-Cy7, PerCp-Cy5.5, APC, Cy5, PE-Cy3, PE-Cy5.5, APC-Cy7, Biotin-APC, FITC-Biotin, TRITC, APC-Cy5, AF488, AF594, AF405, AF555, AF700, AF647, AF750 |
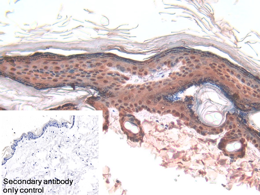
| Валидировано для | IHC WB Иммуногистохимия; Вестерн-блоттинг |
| Рекомендуемые разведения | WB: 0.01-2 мкг/мл; IHC: 5-20 мкг/мл; Оптимальное разведение определяется конечным потребителем |
| Метод очистки | Антигенспецифическая аффинная хроматография с последующей аффинной хроматографией с белком А |
| Состав буфера | 0.01M PBS, pH7.4, 0.05% Proclin-300, 50% глицерин |
| Условия доставки | термобокс с аккумуляторами холода |
| Условия хранения | Сразу после получения аликвотировать и хранить при -20ºС до 24 месяцев. Для частого использования хранить при +4ºС не более 2 недель. Избегать повторения циклов замерзания/оттаивания |
| Срок хранения | 24 месяца |
| Производитель | Cloud-Clone Corp. |
| Ссылка на страницу товара на сайте производителя | http://www.cloud-clone.com/products/PAA307Ra01.html |
|
Артикул
|
Наименование |
Производитель
|
|---|
|
Артикул
|
Наименование |
Производитель
|
|---|
|
Артикул
|
Наименование |
Производитель
|
|---|
|
Артикул
|
Наименование |
Производитель
|
|---|
Акции и предложения
Популярные продукты:
Chicken Methylmalonic Acid ELISA kit (E12M0530)
Организм: курица
Monkey Protein Disulfide Isomerase A3 ELISA kit (E09P0079)
Организм: обезьяна
Canine Vitamin B6 ELISA kit (E08V0021)
Организм: собака
Human Calretinin ELISA kit (E01C0385)
Организм: человек
Диапазон определения: 50-1000 пг/мл
Чувствительность: 1 пг/мл
Диапазон определения: 50-1000 пг/мл
Чувствительность: 1 пг/мл
Bovine Dihydrotestosterone ELISA kit (E11D0001)
Организм: корова
Chicken GATA Binding Protein 2 ELISA kit (E12G0086)
Организм: курица

