| UNIPROT | O00214 |
| Иммуноген | RPA308Hu01-Recombinant Galectin 8 (GAL8) |
Polyclonal Antibody to Galectin 8 (GAL8) (PAA308Hu01)
Реактивность подтвержденная:
человек
Источник (хозяин):
кролик
Валидировано для:
IHC
WB
Характеристики
Техническое описание
| Русское название | PAA308Hu01 Поликлональное антитело к GAL8 (человек) <Cloud-Clone,Китай> |
| Каталожный номер | PAA308Hu01 |
| Название антигена | Galectin 8 (GAL8) |
| UNIPROT | O00214 |
| Иммуноген | RPA308Hu01-Recombinant Galectin 8 (GAL8) |
| Английские синонимы | LGALS8, PCTA1, Po66-CBP, Prostate Carcinoma Tumor Antigen 1, Lectin,Galactoside-Binding Soluble 8, Po66 carbohydrate-binding protein, Prostate carcinoma tumor antigen 1 |
Реактивность подтвержденная Нужна другая реактивность? |
человек |
| Реактивность предсказываемая | крыса, свинья |
| Источник (хозяин) | кролик |
| Клональность | поликлональное |
| Рекомбинантное | нет |
| Готовое к использованию | нет |
| Концентрация | 1 мг/мл |
| Конъюгат | По запросу: HRP, biotin, PerCP, PE, Cy3, FITC, Cy7, Cy5.5, PE-Cy5, PE-Cy7, PerCp-Cy5.5, APC, Cy5, PE-Cy3, PE-Cy5.5, APC-Cy7, Biotin-APC, FITC-Biotin, TRITC, APC-Cy5, AF488, AF594, AF405, AF555, AF700, AF647, AF750 |
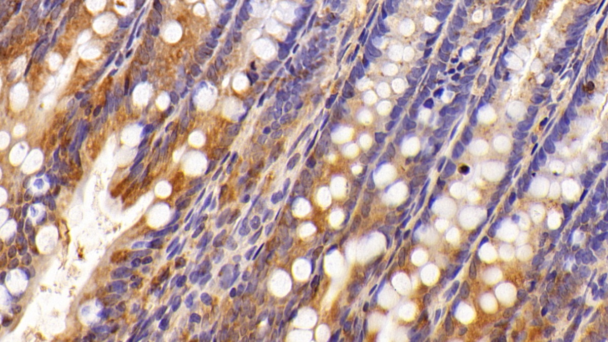
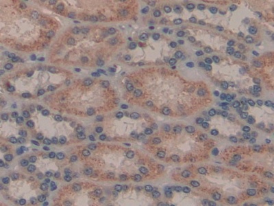
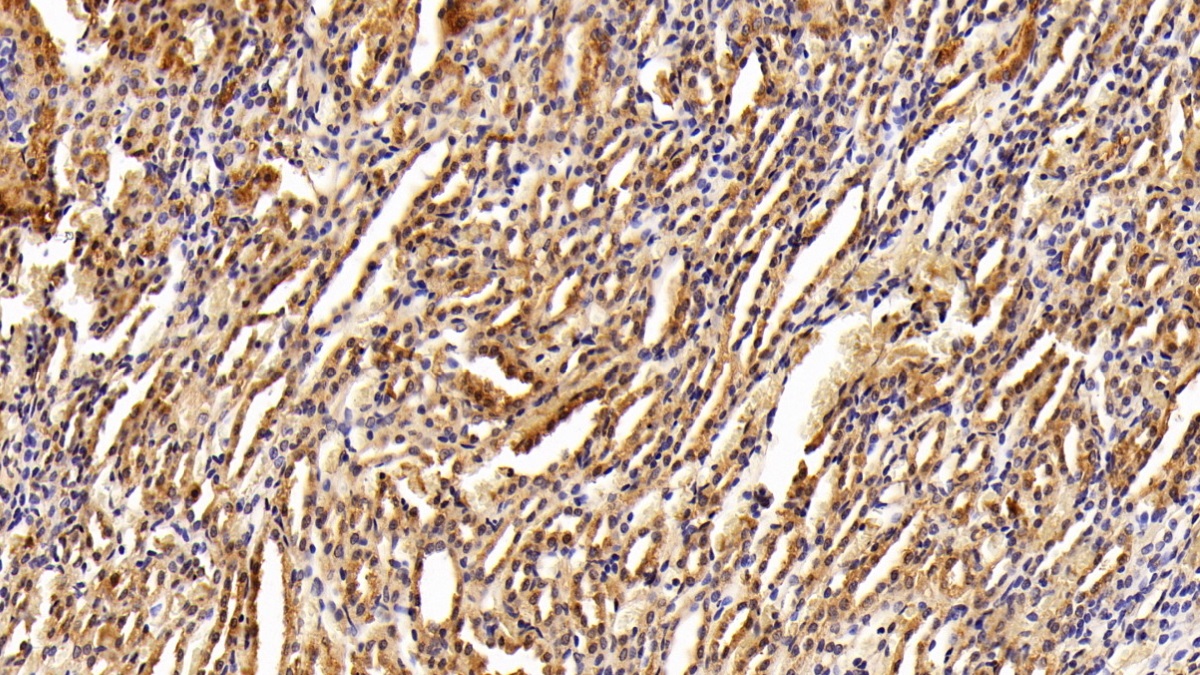
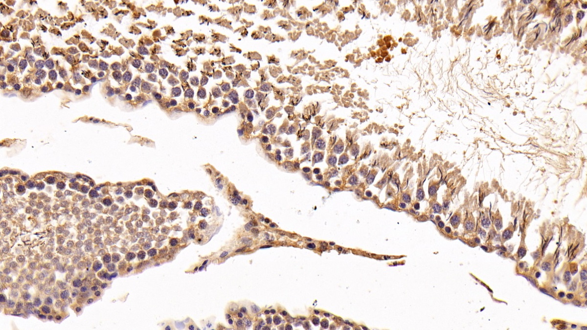
| Валидировано для | IHC WB Иммуногистохимия; Вестерн-блоттинг |
| Рекомендуемые разведения | WB: 0.1-2 мкг/мл; IHC: 5-20 мкг/мл; ICC: 5-20 мкг/мл; Оптимальное разведение определяется конечным потребителем |
| Метод очистки | Антигенспецифическая аффинная хроматография с последующей аффинной хроматографией с белком А |
| Состав буфера | 0.01M PBS, pH7.4, 0.05% Proclin-300, 50% глицерин |
| Условия доставки | термобокс с аккумуляторами холода |
| Условия хранения | Сразу после получения аликвотировать и хранить при -20ºС до 24 месяцев. Для частого использования хранить при +4ºС не более 2 недель. Избегать повторения циклов замерзания/оттаивания |
| Срок хранения | 24 месяца |
| Производитель | Cloud-Clone Corp. |
| Ссылка на страницу товара на сайте производителя | http://www.cloud-clone.com/products/PAA308Hu01.html |
|
Артикул
|
Наименование |
Производитель
|
|---|
|
Артикул
|
Наименование |
Производитель
|
|---|
|
Артикул
|
Наименование |
Производитель
|
|---|
|
Артикул
|
Наименование |
Производитель
|
|---|
|
Артикул
|
Наименование |
Производитель
|
|---|
|
Артикул
|
Наименование |
Производитель
|
|---|
|
Артикул
|
Наименование |
Производитель
|
|---|
Акции и предложения
Популярные продукты:
Bovine Islet amyloid polypeptide ELISA kit (E11I0321)
Организм: корова
Bovine Galectin 8 ELISA kit (E11G0067)
Организм: корова
Mouse Galectin 8 ELISA kit (E03G0067)
Организм: мышь
Biotin-Linked Polyclonal Antibody to Galectin 8 (GAL8) (LAA308Hu71)
Источник (хозяин): кролик
Реактивность подтвержденная: человек
Валидировано для: IHC
Реактивность подтвержденная: человек
Валидировано для: IHC
Polyclonal Antibody to Galectin 8 (GAL8) (PAA308Ra01)
Источник (хозяин): кролик
Реактивность подтвержденная: крыса
Валидировано для: ICC, IHC, WB
Реактивность подтвержденная: крыса
Валидировано для: ICC, IHC, WB
Active Galectin 8 (GAL8) (APA308Hu01)
Источник (хозяин): E.coli
Организм: человек
Фрагмент: Met1-Trp317
Теги: N-концевой His-Tag
Биоактивность: да
Организм: человек
Фрагмент: Met1-Trp317
Теги: N-концевой His-Tag
Биоактивность: да

