| UNIPROT | P63261 |
| Иммуноген | RPB391Hu01-Recombinant Gamma Actin (ACTG) |
Polyclonal Antibody to Gamma Actin (ACTG) (PAB391Hu01)
Реактивность подтвержденная:
человек
Источник (хозяин):
кролик
Валидировано для:
IHC
WB
Характеристики
Техническое описание
| Русское название | PAB391Hu01 Поликлональное антитело к ACTG (человек) <Cloud-Clone,Китай> |
| Каталожный номер | PAB391Hu01 |
| Название антигена | Actin Gamma 1 (ACTg1) |
| UNIPROT | P63261 |
| Иммуноген | RPB391Hu01-Recombinant Gamma Actin (ACTG) |
| Английские синонимы | ACT, ACTB, DFNA20, DFNA26, deafness, autosomal dominant 20, deafness, autosomal dominant 26, Actin, cytoplasmic 2 |
| Русские синонимы | Гамма-актин |
Реактивность подтвержденная Нужна другая реактивность? |
человек |
| Реактивность предсказываемая | мышь, крыса |
| Источник (хозяин) | кролик |
| Клональность | поликлональное |
| Рекомбинантное | нет |
| Готовое к использованию | нет |
| Концентрация | 0.5 мг/мл |
| Конъюгат | По запросу: HRP, biotin, PerCP, PE, Cy3, FITC, Cy7, Cy5.5, PE-Cy5, PE-Cy7, PerCp-Cy5.5, APC, Cy5, PE-Cy3, PE-Cy5.5, APC-Cy7, Biotin-APC, FITC-Biotin, TRITC, APC-Cy5, AF488, AF594, AF405, AF555, AF700, AF647, AF750 |
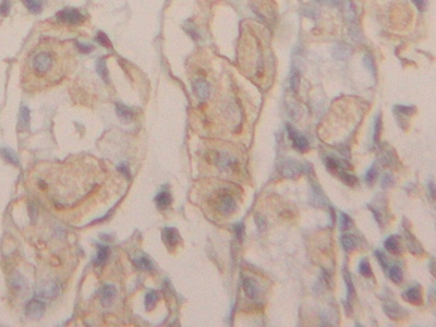
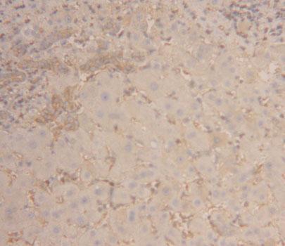
| Валидировано для | IHC WB Иммуногистохимия; Вестерн-блоттинг |
| Рекомендуемые разведения | WB: 0.5-2 мкг/мл; IHC: 5-20 мкг/мл; ICC: 5-20 мкг/мл; Оптимальное разведение определяется конечным потребителем |
| Метод очистки | Антигенспецифическая аффинная хроматография с последующей аффинной хроматографией с белком А |
| Состав буфера | PBS, pH7.4, 0.02% NaN3, 50% глицерин |
| Условия доставки | термобокс с аккумуляторами холода |
| Условия хранения | Сразу после получения аликвотировать и хранить при -20ºС до 24 месяцев. Для частого использования хранить при +4ºС не более 2 недель. Избегать повторения циклов замерзания/оттаивания |
| Срок хранения | 24 месяца |
| Производитель | Cloud-Clone Corp. |
| Ссылка на страницу товара на сайте производителя | http://www.cloud-clone.com/products/PAB391Hu01.html |
|
Артикул
|
Наименование |
Производитель
|
|---|
|
Артикул
|
Наименование |
Производитель
|
|---|
|
Артикул
|
Наименование |
Производитель
|
|---|
Акции и предложения
Популярные продукты:
Anti-Gamma Actin (ACTG) Polyclonal Antibody (FAB391Hu01)
Источник (хозяин): кролик
Реактивность подтвержденная: человек
Валидировано для: FCM
Реактивность подтвержденная: человек
Валидировано для: FCM
HPV16 L1/Major capsid protein L1 ELISA Kit (KVV08801)
Организм: вирусы
Диапазон определения: 15.63 - 1,000 пг/мл
Чувствительность: 8.31 пг/мл
Диапазон определения: 15.63 - 1,000 пг/мл
Чувствительность: 8.31 пг/мл
Human Dentin Matrix Protein 1 ELISA kit (E01D0064)
Организм: человек
Диапазон определения: 1-25 нг/мл
Чувствительность: 0.1 нг/мл
Диапазон определения: 1-25 нг/мл
Чувствительность: 0.1 нг/мл
Human Thymidine kinase, cytosolic(TK1) ELISA kit (E01T0694)
Организм: человек
Диапазон определения: 1-25 нг/мл
Чувствительность: 0.1 нг/мл
Диапазон определения: 1-25 нг/мл
Чувствительность: 0.1 нг/мл
Mouse Integrin Linked Kinase 1 ELISA kit (E03I0393)
Организм: мышь
Диапазон определения: 25-500 нг/мл
Чувствительность: 1 нг/мл
Диапазон определения: 25-500 нг/мл
Чувствительность: 1 нг/мл

