| UNIPROT | P19440 |
| Иммуноген | RPB375Hu01-Recombinant Gamma-Glutamyltransferase 1 (gGT1) |
Polyclonal Antibody to Gamma-Glutamyltransferase 1 (gGT1) (PAB375Hu01)
Реактивность подтвержденная:
человек
Источник (хозяин):
кролик
Валидировано для:
IHC
WB
Характеристики
Публикации
Техническое описание
| Русское название | PAB375Hu01 Поликлональное антитело к gGT1 (человек) <Cloud-Clone,Китай> |
| Каталожный номер | PAB375Hu01 |
| Название антигена | Gamma-Glutamyltransferase 1 (gGT1) |
| UNIPROT | P19440 |
| Иммуноген | RPB375Hu01-Recombinant Gamma-Glutamyltransferase 1 (gGT1) |
| Английские синонимы | CD224, CD 224, CD-224, G-GT1, GTG, Gamma-glutamyltranspeptidase 1, Glutathione hydrolase 1, Leukotriene-C4 hydrolase |
Реактивность подтвержденная Нужна другая реактивность? |
человек |
| Реактивность предсказываемая | мышь, свинья |
| Источник (хозяин) | кролик |
| Клональность | поликлональное |
| Рекомбинантное | нет |
| Готовое к использованию | нет |
| Концентрация | 500 мкг/мл |
| Конъюгат | По запросу: HRP, biotin, PerCP, PE, Cy3, FITC, Cy7, Cy5.5, PE-Cy5, PE-Cy7, PerCp-Cy5.5, APC, Cy5, PE-Cy3, PE-Cy5.5, APC-Cy7, Biotin-APC, FITC-Biotin, TRITC, APC-Cy5, AF488, AF594, AF405, AF555, AF700, AF647, AF750 |
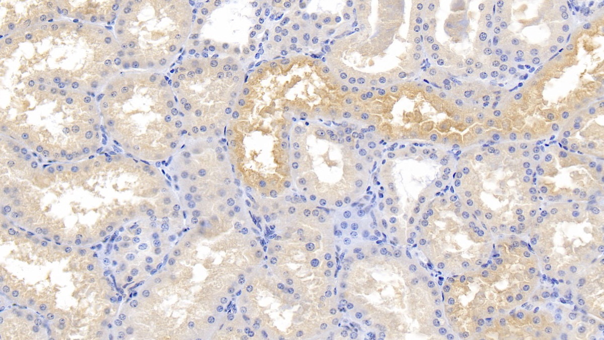
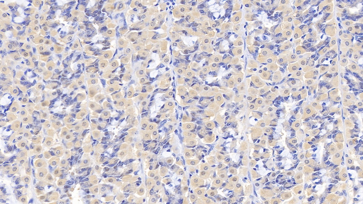
| Валидировано для | IHC WB Иммуногистохимия; Вестерн-блоттинг |
| Рекомендуемые разведения | WB: 0.5-2 мкг/мл; IHC: 5-20 мкг/мл; ICC: 5-20 мкг/мл; Оптимальное разведение определяется конечным потребителем |
| Метод очистки | Антигенспецифическая аффинная хроматография с последующей аффинной хроматографией с белком А |
| Состав буфера | 0.01M PBS, pH7.4, 0.05% Proclin-300, 50% глицерин |
| Условия доставки | термобокс с аккумуляторами холода |
| Условия хранения | Сразу после получения аликвотировать и хранить при -20ºС до 24 месяцев. Для частого использования хранить при +4ºС не более 2 недель. Избегать повторения циклов замерзания/оттаивания |
| Срок хранения | 24 месяца |
| Производитель | Cloud-Clone Corp. |
| Ссылка на страницу товара на сайте производителя | http://www.cloud-clone.com/products/PAB375Hu01.html |
|
Артикул
|
Наименование |
Производитель
|
|---|
|
Артикул
|
Наименование |
Производитель
|
|---|
|
Артикул
|
Наименование |
Производитель
|
|---|
|
Артикул
|
Наименование |
Производитель
|
|---|
Акции и предложения
Популярные продукты:
Rabbit Troponin T, fast skeletal muscle(TNNT3) ELISA kit (E04T0722)
Организм: кролик
Anti-Phospho-PGR (Ser190) Antibody (R1K64) (RHC20001)
Источник (хозяин): кролик
Реактивность подтвержденная: человек
Валидировано для: IF, IHC, IP, WB
Реактивность подтвержденная: человек
Валидировано для: IF, IHC, IP, WB
CREB1 Polyclonal Antibody (E-AB-64114)
Источник (хозяин): кролик
Реактивность подтвержденная: человек, мышь, крыса
Валидировано для: IF, WB
Реактивность подтвержденная: человек, мышь, крыса
Валидировано для: IF, WB
CREB1 Monoclonal Antibody (E-AB-22113)
Источник (хозяин): мышь
Реактивность подтвержденная: человек, мышь
Валидировано для: WB
Реактивность подтвержденная: человек, мышь
Валидировано для: WB
Elab Fluor® 488 Rat IgG2a, λ Isotype Control[B39-4] (E-AB-F09743L)
Источник (хозяин): крыса
Валидировано для: CTRL, FCM
Валидировано для: CTRL, FCM

