| UNIPROT | Q06145 |
| Иммуноген | RPA882Ra01-Recombinant Gastric Inhibitory Polypeptide (GIP) |
Polyclonal Antibody to Gastric Inhibitory Polypeptide (GIP) (PAA882Ra01)
Реактивность подтвержденная:
крыса
Источник (хозяин):
кролик
Валидировано для:
ICC
IHC
WB
Характеристики
Техническое описание
| Русское название | PAA882Ra01 Поликлональное антитело к GIP (крыса) <Cloud-Clone,Китай> |
| Каталожный номер | PAA882Ra01 |
| Название антигена | Gastric Inhibitory Polypeptide (GIP) |
| UNIPROT | Q06145 |
| Иммуноген | RPA882Ra01-Recombinant Gastric Inhibitory Polypeptide (GIP) |
| Английские синонимы | Incretin hormone, Glucose Dependent Insulinotropic Peptide |
| Русские синонимы | Глюкозозависимый инсулинотропный пептид, гастроингибиторный полипептид, гастроингибиторный пептид, желудочный ингибиторный пептид, GIP, ГИП, ЖИП |
Реактивность подтвержденная Нужна другая реактивность? |
крыса |
| Источник (хозяин) | кролик |
| Клональность | поликлональное |
| Рекомбинантное | нет |
| Готовое к использованию | нет |
| Концентрация | 500 мкг/мл |
| Конъюгат | По запросу: HRP, biotin, PerCP, PE, Cy3, FITC, Cy7, Cy5.5, PE-Cy5, PE-Cy7, PerCp-Cy5.5, APC, Cy5, PE-Cy3, PE-Cy5.5, APC-Cy7, Biotin-APC, FITC-Biotin, TRITC, APC-Cy5, AF488, AF594, AF405, AF555, AF700, AF647, AF750 |
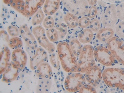
| Валидировано для | ICC IHC WB Иммуноцитохимия; Иммуногистохимия; Вестерн-блоттинг |
| Рекомендуемые разведения | WB: 0.5-2 мкг/мл; IHC: 5-20 мкг/мл; ICC: 5-20 мкг/мл; Оптимальное разведение определяется конечным потребителем |
| Метод очистки | Антигенспецифическая аффинная хроматография с последующей аффинной хроматографией с белком А |
| Состав буфера | 0.01M PBS, pH7.4, 0.05% Proclin-300, 50% глицерин |
| Условия доставки | термобокс с аккумуляторами холода |
| Условия хранения | Сразу после получения аликвотировать и хранить при -20ºС до 24 месяцев. Для частого использования хранить при +4ºС не более 2 недель. Избегать повторения циклов замерзания/оттаивания |
| Срок хранения | 24 месяца |
| Производитель | Cloud-Clone Corp. |
| Ссылка на страницу товара на сайте производителя | http://www.cloud-clone.com/products/PAA882Ra01.html |
|
Артикул
|
Наименование |
Производитель
|
|---|
|
Артикул
|
Наименование |
Производитель
|
|---|
|
Артикул
|
Наименование |
Производитель
|
|---|
|
Артикул
|
Наименование |
Производитель
|
|---|
|
Артикул
|
Наименование |
Производитель
|
|---|
|
Артикул
|
Наименование |
Производитель
|
|---|
Акции и предложения
Популярные продукты:
Total Iron Binding Capacity (TIBC) And Serum Iron Assay Kit (Direct Method) (E-BC-K945-M)
Организм: для всех
Диапазон определения: 0.684 мкмоль/л
Чувствительность: 1.446-500 мкмоль/л
Диапазон определения: 0.684 мкмоль/л
Чувствительность: 1.446-500 мкмоль/л
Bovine Boldenone (BDN) ELISA Kit (E11B1011)
Организм: корова
Chicken Acyl protein thioesterase 2(LYPLA2) ELISA kit (E12A1901)
Организм: курица
Rat Aquaporin 0,AQP-0 ELISA Kit (E02A1918)
Организм: крыса
Monkey Pulmonary Surfactant Associated Protein B ELISA kit (E09S0163)
Организм: обезьяна
KRIBIOLISA Antihemophilic Factor (KOGENATE) Assay (KOD1021)
Организм: человек
Диапазон определения: 0 - 2000 нг/мл
Чувствительность: 15 нг/мл
Диапазон определения: 0 - 2000 нг/мл
Чувствительность: 15 нг/мл

