| UNIPROT | P17267 |
| Иммуноген | RPD111Ra01-Recombinant Gastric Intrinsic Factor (GIF) |
Polyclonal Antibody to Gastric Intrinsic Factor (GIF) (PAD111Ra01)
Реактивность подтвержденная:
крыса
Источник (хозяин):
кролик
Валидировано для:
IHC
WB
Характеристики
Техническое описание
| Русское название | PAD111Ra01 Поликлональное антитело к GIF (крыса) <Cloud-Clone,Китай> |
| Каталожный номер | PAD111Ra01 |
| Название антигена | Gastric Intrinsic Factor (GIF) |
| UNIPROT | P17267 |
| Иммуноген | RPD111Ra01-Recombinant Gastric Intrinsic Factor (GIF) |
| Английские синонимы | TCN3, IF, IFMH, INF, Transcobalamin III, Vitamin B Synthesis |
| Русские синонимы | Фактор Касла |
Реактивность подтвержденная Нужна другая реактивность? |
крыса |
| Реактивность предсказываемая | мышь |
| Источник (хозяин) | кролик |
| Клональность | поликлональное |
| Рекомбинантное | нет |
| Готовое к использованию | нет |
| Концентрация | 0.5 мг/мл |
| Конъюгат | По запросу: HRP, biotin, PerCP, PE, Cy3, FITC, Cy7, Cy5.5, PE-Cy5, PE-Cy7, PerCp-Cy5.5, APC, Cy5, PE-Cy3, PE-Cy5.5, APC-Cy7, Biotin-APC, FITC-Biotin, TRITC, APC-Cy5, AF488, AF594, AF405, AF555, AF700, AF647, AF750 |
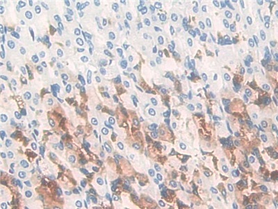
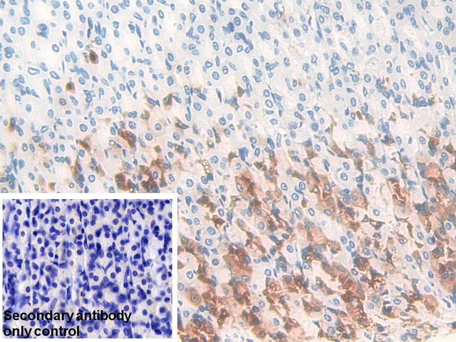
| Валидировано для | IHC WB Иммуногистохимия; Вестерн-блоттинг |
| Рекомендуемые разведения | WB: 0.5-2 мкг/мл; IHC: 5-20 мкг/мл; ICC: 5-20 мкг/мл; Оптимальное разведение определяется конечным потребителем |
| Метод очистки | Антигенспецифическая аффинная хроматография с последующей аффинной хроматографией с белком А |
| Состав буфера | 0.01M PBS, pH7.4, 0.05% Proclin-300, 50% глицерин |
| Условия доставки | термобокс с аккумуляторами холода |
| Условия хранения | Сразу после получения аликвотировать и хранить при -20ºС до 24 месяцев. Для частого использования хранить при +4ºС не более 2 недель. Избегать повторения циклов замерзания/оттаивания |
| Срок хранения | 24 месяца |
| Производитель | Cloud-Clone Corp. |
| Ссылка на страницу товара на сайте производителя | http://www.cloud-clone.com/products/PAD111Ra01.html |
|
Артикул
|
Наименование |
Производитель
|
|---|
|
Артикул
|
Наименование |
Производитель
|
|---|
|
Артикул
|
Наименование |
Производитель
|
|---|
Акции и предложения
Популярные продукты:
NFAT4 Mouse Monoclonal Antibody (BF8934)
Источник (хозяин): мышь
Реактивность подтвержденная: человек
Валидировано для: WB
Реактивность подтвержденная: человек
Валидировано для: WB
NFAT4 Mouse Monoclonal Antibody (BF8491)
Источник (хозяин): мышь
Реактивность подтвержденная: человек, мышь, крыса
Валидировано для: WB
Реактивность подтвержденная: человек, мышь, крыса
Валидировано для: WB
14-3-3 epsilon Mouse Monoclonal Antibody (BF9458)
Источник (хозяин): мышь
Реактивность подтвержденная: человек
Валидировано для: WB
Реактивность подтвержденная: человек
Валидировано для: WB
ELISA Kit DIY Materials for Ciliary Neurotrophic Factor Receptor (CNTFR) (KSC185Hu01)
Организм: человек
Диапазон определения: 31.2-2000 пг/мл
Чувствительность: 12.1 пг/мл
Диапазон определения: 31.2-2000 пг/мл
Чувствительность: 12.1 пг/мл
ELISA Kit DIY Materials for Creatine Transporter (CRT) (KSE398Hu11)
Организм: человек
Диапазон определения: 0.312-20 нг/мл
Чувствительность: 0.113 нг/мл
Диапазон определения: 0.312-20 нг/мл
Чувствительность: 0.113 нг/мл
Canine Genistein ELISA kit (E08G0608)
Организм: собака

