| UNIPROT | P04563 |
| Иммуноген | RPB224Ra02-Recombinant Gastrin (GT) |
Polyclonal Antibody to Gastrin (GT) (PAB224Ra02)
Реактивность подтвержденная:
крыса
Источник (хозяин):
кролик
Валидировано для:
IHC
Характеристики
Техническое описание
| Русское название | PAB224Ra02 Поликлональное антитело к гастрину (крыса) <Cloud-Clone,Китай> |
| Каталожный номер | PAB224Ra02 |
| Название антигена | Gastrin (GT) |
| UNIPROT | P04563 |
| Иммуноген | RPB224Ra02-Recombinant Gastrin (GT) |
| Английские синонимы | GAST, GAS, Gastrin component I, Big gastrin, Gastrin component II, Gastrin component III |
Реактивность подтвержденная Нужна другая реактивность? |
крыса |
| Реактивность предсказываемая | мышь |
| Источник (хозяин) | кролик |
| Клональность | поликлональное |
| Рекомбинантное | нет |
| Готовое к использованию | нет |
| Концентрация | 500 мкг/мл |
| Конъюгат | По запросу: HRP, biotin, PerCP, PE, Cy3, FITC, Cy7, Cy5.5, PE-Cy5, PE-Cy7, PerCp-Cy5.5, APC, Cy5, PE-Cy3, PE-Cy5.5, APC-Cy7, Biotin-APC, FITC-Biotin, TRITC, APC-Cy5, AF488, AF594, AF405, AF555, AF700, AF647, AF750 |
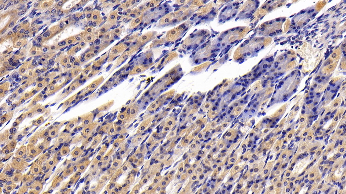
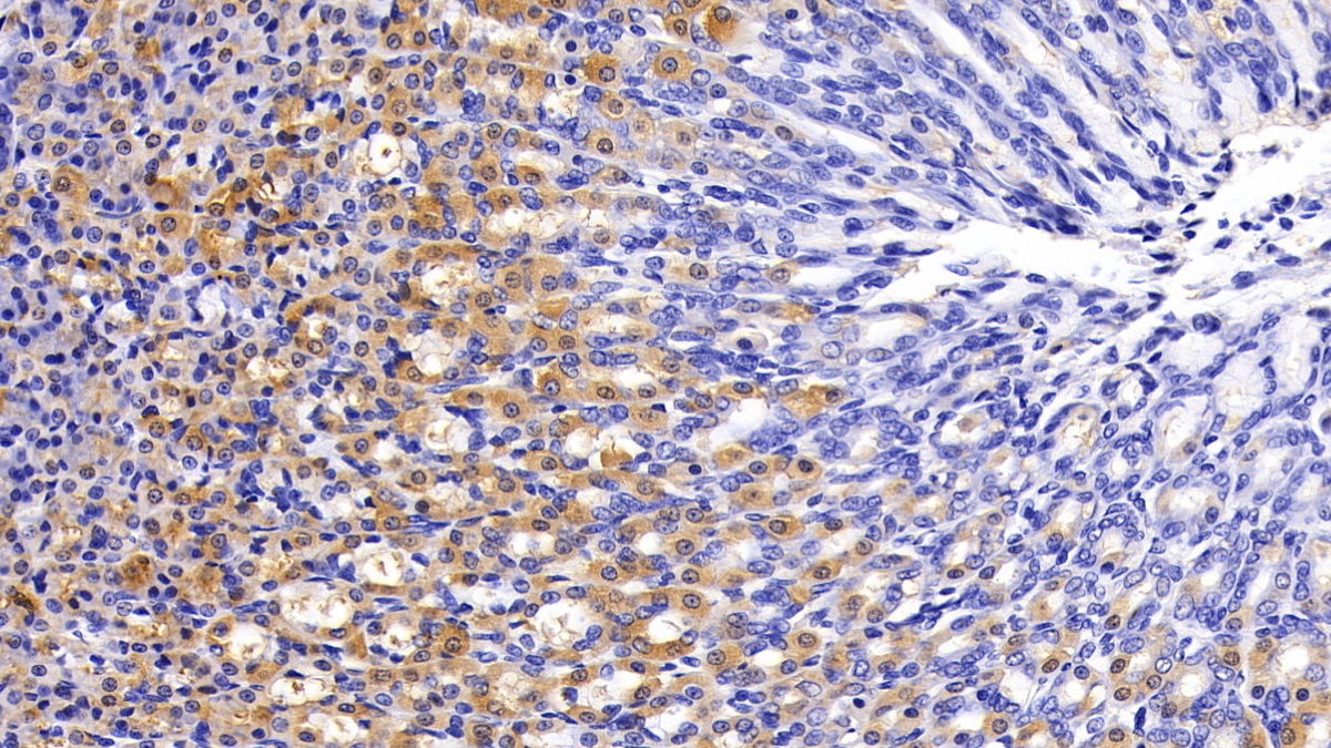
| Валидировано для | IHC Иммуногистохимия |
| Рекомендуемые разведения | WB: 0.5-2 мкг/мл; IHC: 5-20 мкг/мл; ICC: 5-20 мкг/мл; Оптимальное разведение определяется конечным потребителем |
| Метод очистки | Антигенспецифическая аффинная хроматография с последующей аффинной хроматографией с белком А |
| Состав буфера | 0.01M PBS, pH7.4, 0.05% Proclin-300, 50% глицерин |
| Условия доставки | термобокс с аккумуляторами холода |
| Условия хранения | Сразу после получения аликвотировать и хранить при -20ºС до 24 месяцев. Для частого использования хранить при +4ºС не более 2 недель. Избегать повторения циклов замерзания/оттаивания |
| Срок хранения | 24 месяца |
| Производитель | Cloud-Clone Corp. |
| Ссылка на страницу товара на сайте производителя | http://www.cloud-clone.com/products/PAB224Ra02.html |
|
Артикул
|
Наименование |
Производитель
|
|---|
|
Артикул
|
Наименование |
Производитель
|
|---|
|
Артикул
|
Наименование |
Производитель
|
|---|
|
Артикул
|
Наименование |
Производитель
|
|---|
|
Артикул
|
Наименование |
Производитель
|
|---|
|
Артикул
|
Наименование |
Производитель
|
|---|
Акции и предложения
Популярные продукты:
ELISA Kit DIY Materials for Fibrinogen Gamma (FGg) (KSC477Mu01)
Организм: мышь
Диапазон определения: 31.2-2000 нг/мл
Чувствительность: 13.4 нг/мл
Диапазон определения: 31.2-2000 нг/мл
Чувствительность: 13.4 нг/мл
ELISA Kit DIY Materials for Fatty Acid Binding Protein 2, Intestinal (FABP2) (KSA559Po01)
Организм: свинья
Диапазон определения: 0.156-10 нг/мл
Чувствительность: 0.057 нг/мл
Диапазон определения: 0.156-10 нг/мл
Чувствительность: 0.057 нг/мл
ELISA Kit DIY Materials for TNF Receptor Associated Factor 6 (TRAF6) (KSG751Hu01)
Организм: человек
Диапазон определения: 0.156-10 нг/мл
Чувствительность: 0.054 нг/мл
Диапазон определения: 0.156-10 нг/мл
Чувствительность: 0.054 нг/мл
Rabbit β Ala His dipeptidase(CNDP1) ELISA kit (E04B0887)
Организм: кролик
Chicken Uridine Phosphorylase 2 (UPP2) (E12U0072)
Организм: курица
Bovine Uridine Phosphorylase 2 (UPP2) (E11U0072)
Организм: корова

