| UNIPROT | P06396 |
| Иммуноген | RPA372Hu03-Recombinant Gelsolin (GSN) |
Polyclonal Antibody to Gelsolin (GSN) (PAA372Hu03)
Реактивность подтвержденная:
человек
Источник (хозяин):
кролик
Валидировано для:
IHC
WB
Характеристики
Техническое описание
| Русское название | PAA372Hu03 Поликлональное антитело к GSN (человек) <Cloud-Clone,Китай> |
| Каталожный номер | PAA372Hu03 |
| Название антигена | Gelsolin (GS) |
| UNIPROT | P06396 |
| Иммуноген | RPA372Hu03-Recombinant Gelsolin (GSN) |
| Английские синонимы | GSN, AGEL, ADF, Brevin, Gelsolin Amyloidosis,Finnish Type, Actin-depolymerizing factor |
Реактивность подтвержденная Нужна другая реактивность? |
человек |
| Реактивность предсказываемая | крыса, свинья |
| Источник (хозяин) | кролик |
| Клональность | поликлональное |
| Рекомбинантное | нет |
| Готовое к использованию | нет |
| Концентрация | 0.5 мг/мл |
| Конъюгат | По запросу: HRP, biotin, PerCP, PE, Cy3, FITC, Cy7, Cy5.5, PE-Cy5, PE-Cy7, PerCp-Cy5.5, APC, Cy5, PE-Cy3, PE-Cy5.5, APC-Cy7, Biotin-APC, FITC-Biotin, TRITC, APC-Cy5, AF488, AF594, AF405, AF555, AF700, AF647, AF750 |
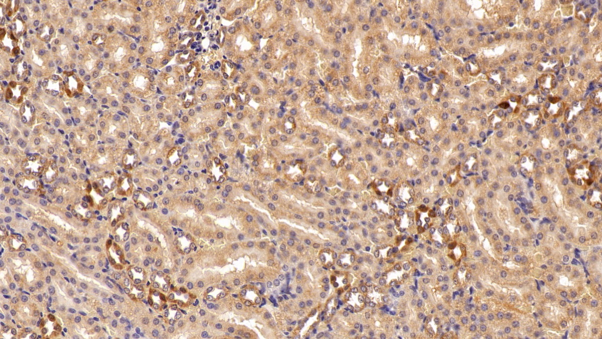
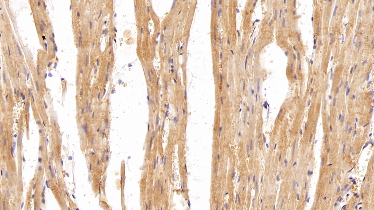
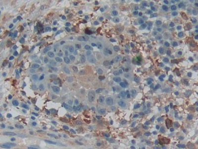
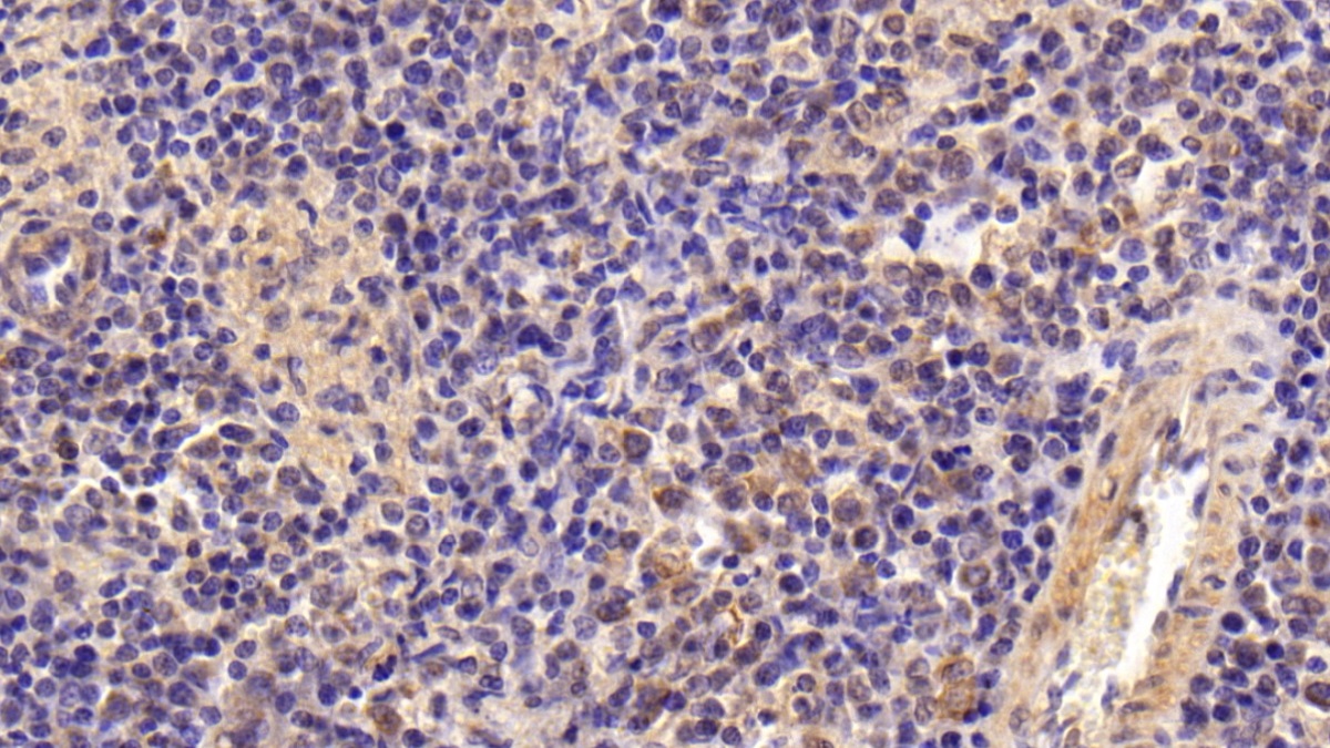
| Валидировано для | IHC WB Иммуногистохимия; Вестерн-блоттинг |
| Рекомендуемые разведения | WB: 0.5-2 мкг/мл; IHC: 5-20 мкг/мл; ICC: 5-20 мкг/мл; Оптимальное разведение определяется конечным потребителем |
| Метод очистки | Антигенспецифическая аффинная хроматография с последующей аффинной хроматографией с белком А |
| Состав буфера | 0.01M PBS, pH7.4, 0.05% Proclin-300, 50% глицерин |
| Условия доставки | термобокс с аккумуляторами холода |
| Условия хранения | Сразу после получения аликвотировать и хранить при -20ºС до 24 месяцев. Для частого использования хранить при +4ºС не более 2 недель. Избегать повторения циклов замерзания/оттаивания |
| Срок хранения | 24 месяца |
| Производитель | Cloud-Clone Corp. |
| Ссылка на страницу товара на сайте производителя | http://www.cloud-clone.com/products/PAA372Hu03.html |
|
Артикул
|
Наименование |
Производитель
|
|---|
|
Артикул
|
Наименование |
Производитель
|
|---|
|
Артикул
|
Наименование |
Производитель
|
|---|
|
Артикул
|
Наименование |
Производитель
|
|---|
|
Артикул
|
Наименование |
Производитель
|
|---|
|
Артикул
|
Наименование |
Производитель
|
|---|
|
Артикул
|
Наименование |
Производитель
|
|---|
|
Артикул
|
Наименование |
Производитель
|
|---|
|
Артикул
|
Наименование |
Производитель
|
|---|
Акции и предложения
Популярные продукты:
Anti-Human CD279/PDCD1/PD1 Antibody (SAb2307) (RHH02206)
Источник (хозяин): человек
Реактивность подтвержденная: человек
Валидировано для: ELISA
Реактивность подтвержденная: человек
Валидировано для: ELISA
Anti-FMC63 scFv Monoclonal Antibody (SAA1996), FITC (RAD10811)
Источник (хозяин): кролик
Реактивность подтвержденная: для всех
Валидировано для: ELISA, FCM
Реактивность подтвержденная: для всех
Валидировано для: ELISA, FCM
ELISA Kit DIY Materials for NADH Dehydrogenase, Quinone 1 (NQO1) (KSL969Hu01)
Организм: человек
Диапазон определения: 0.312-20 нг/мл
Чувствительность: 0.124 нг/мл
Диапазон определения: 0.312-20 нг/мл
Чувствительность: 0.124 нг/мл
Canine Ceramide kinase(CERK) ELISA kit (E08C1622)
Организм: собака
Bovine Amidophosphoribosyltransferase(PPAT) ELISA kit (E11A1945)
Организм: корова
Canine Sulfite oxidase, mitochondrial(SUOX) ELISA kit (E08S0425)
Организм: собака

