| UNIPROT | P13020 |
| Иммуноген | RPA372Mu01-Recombinant Gelsolin (GSN) |
Polyclonal Antibody to Gelsolin (GSN) (PAA372Mu01)
Реактивность подтвержденная:
мышь
Источник (хозяин):
кролик
Валидировано для:
IHC
WB
Характеристики
Техническое описание
| Русское название | PAA372Mu01 Поликлональное антитело к GSN (мышь) <Cloud-Clone,Китай> |
| Каталожный номер | PAA372Mu01 |
| Название антигена | Gelsolin (GS) |
| UNIPROT | P13020 |
| Иммуноген | RPA372Mu01-Recombinant Gelsolin (GSN) |
| Английские синонимы | GSN, AGEL, ADF, Brevin, Gelsolin Amyloidosis,Finnish Type, Actin-depolymerizing factor |
Реактивность подтвержденная Нужна другая реактивность? |
мышь |
| Реактивность предсказываемая | человек, крыса |
| Источник (хозяин) | кролик |
| Клональность | поликлональное |
| Рекомбинантное | нет |
| Готовое к использованию | нет |
| Концентрация | 500 мкг/мл |
| Конъюгат | По запросу: HRP, biotin, PerCP, PE, Cy3, FITC, Cy7, Cy5.5, PE-Cy5, PE-Cy7, PerCp-Cy5.5, APC, Cy5, PE-Cy3, PE-Cy5.5, APC-Cy7, Biotin-APC, FITC-Biotin, TRITC, APC-Cy5, AF488, AF594, AF405, AF555, AF700, AF647, AF750 |
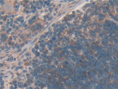
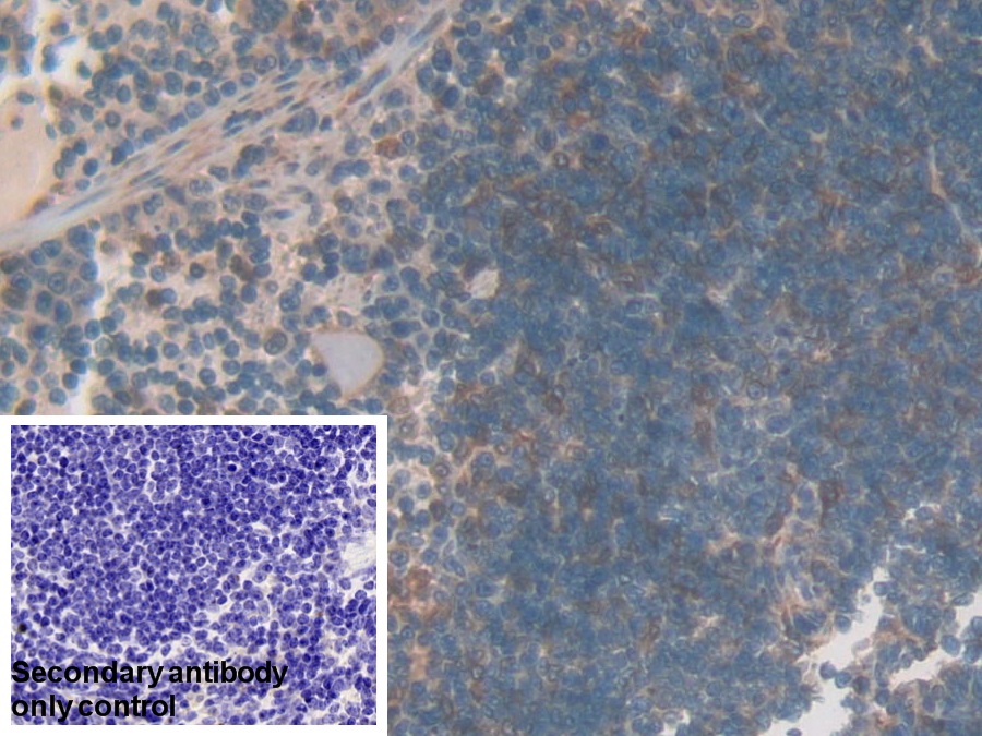
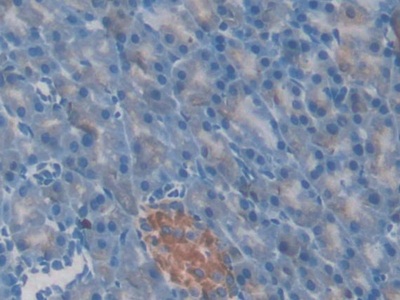
| Валидировано для | IHC WB Иммуногистохимия; Вестерн-блоттинг |
| Рекомендуемые разведения | WB: 0.5-2 мкг/мл; ICC (фиксация формалином): 5-20 мкг/мл; IHC (замороженные срезы): 5-20 мкг/мл; IHC (парафиновые срезы): 5-20 мкг/мл; ELISA: 0.05-2 мкг/мл; Оптимальное разведение определяется конечным потребителем |
| Метод очистки | Антигенспецифическая аффинная хроматография с последующей аффинной хроматографией с белком А |
| Состав буфера | 0.01M PBS, pH7.4, 0.05% Proclin-300, 50% глицерин |
| Условия доставки | термобокс с аккумуляторами холода |
| Условия хранения | Сразу после получения аликвотировать и хранить при -20ºС до 24 месяцев. Для частого использования хранить при +4ºС не более 2 недель. Избегать повторения циклов замерзания/оттаивания |
| Срок хранения | 24 месяца |
| Производитель | Cloud-Clone Corp. |
| Ссылка на страницу товара на сайте производителя | http://www.cloud-clone.com/products/PAA372Mu01.html |
|
Артикул
|
Наименование |
Производитель
|
|---|
|
Артикул
|
Наименование |
Производитель
|
|---|
|
Артикул
|
Наименование |
Производитель
|
|---|
|
Артикул
|
Наименование |
Производитель
|
|---|
|
Артикул
|
Наименование |
Производитель
|
|---|
|
Артикул
|
Наименование |
Производитель
|
|---|
|
Артикул
|
Наименование |
Производитель
|
|---|
|
Артикул
|
Наименование |
Производитель
|
|---|
|
Артикул
|
Наименование |
Производитель
|
|---|
Акции и предложения
Популярные продукты:
InVivoMAb Anti-Mouse CD19 Antibody (1D3) (VMD10802)
Источник (хозяин): крыса
Реактивность подтвержденная: мышь
Валидировано для: ELISA, FuncS
Реактивность подтвержденная: мышь
Валидировано для: ELISA, FuncS
Anti-Oxidized Phospholipid Antibody (E06) (RGP13204)
Источник (хозяин): мышь
Реактивность подтвержденная: человек, мышь, кролик
Валидировано для: ELISA, FCM, FuncS, IF, IHC, RIA, WB
Реактивность подтвержденная: человек, мышь, кролик
Валидировано для: ELISA, FCM, FuncS, IF, IHC, RIA, WB
Anti-Mouse CSF2/GM-CSF Antibody (Fs0380), FITC (FMC06711)
Источник (хозяин): крыса
Реактивность подтвержденная: мышь
Валидировано для: ELISA, FCM, FuncS
Реактивность подтвержденная: мышь
Валидировано для: ELISA, FCM, FuncS
Anti-Mouse CSF2/GM-CSF Antibody (Fs0380), AF488 (FMC06715)
Источник (хозяин): крыса
Реактивность подтвержденная: мышь
Валидировано для: ELISA, FCM, FuncS
Реактивность подтвержденная: мышь
Валидировано для: ELISA, FCM, FuncS
Anti-Human CD4 Antibody (HIT4a), PerCP (FHB95944)
Источник (хозяин): мышь
Реактивность подтвержденная: человек
Валидировано для: FCM
Реактивность подтвержденная: человек
Валидировано для: FCM
Anti-Human CD22 Antibody (HB227) (FHD38540)
Источник (хозяин): мышь
Реактивность подтвержденная: человек
Валидировано для: ELISA, FCM
Реактивность подтвержденная: человек
Валидировано для: ELISA, FCM

