| UNIPROT | P13020 |
| Иммуноген | RPA372Mu01-Recombinant Gelsolin (GSN) |
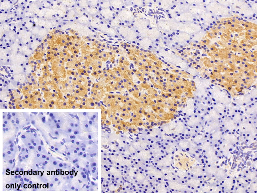
Polyclonal Antibody to Gelsolin (GSN) (PAA372Mu02)
Реактивность подтвержденная:
мышь
Источник (хозяин):
кролик
Валидировано для:
IHC
Характеристики
Техническое описание
| Русское название | PAA372Mu02 Поликлональное антитело к GSN (мышь) <Cloud-Clone,Китай> |
| Каталожный номер | PAA372Mu02 |
| Название антигена | Gelsolin (GS) |
| UNIPROT | P13020 |
| Иммуноген | RPA372Mu01-Recombinant Gelsolin (GSN) |
| Английские синонимы | GSN, AGEL, ADF, Brevin, Gelsolin Amyloidosis,Finnish Type, Actin-depolymerizing factor |
Реактивность подтвержденная Нужна другая реактивность? |
мышь |
| Источник (хозяин) | кролик |
| Клональность | поликлональное |
| Рекомбинантное | нет |
| Готовое к использованию | нет |
| Концентрация | 500 мкг/мл |
| Конъюгат | По запросу: HRP, biotin, PerCP, PE, Cy3, FITC, Cy7, Cy5.5, PE-Cy5, PE-Cy7, PerCp-Cy5.5, APC, Cy5, PE-Cy3, PE-Cy5.5, APC-Cy7, Biotin-APC, FITC-Biotin, TRITC, APC-Cy5, AF488, AF594, AF405, AF555, AF700, AF647, AF750 |
| Валидировано для | IHC Иммуногистохимия |
| Рекомендуемые разведения | WB: 0.5-2 мкг/мл; IHC: 5-20 мкг/мл; ICC: 5-20 мкг/мл Оптимальное разведение определяется конечным потребителем |
| Метод очистки | Антигенспецифическая аффинная хроматография с последующей аффинной хроматографией с белком А |
| Состав буфера | 0.01M PBS, pH7.4, 0.05% Proclin-300, 50% глицерин |
| Условия доставки | термобокс с аккумуляторами холода |
| Условия хранения | Сразу после получения аликвотировать и хранить при -20ºС до 24 месяцев. Для частого использования хранить при +4ºС не более 2 недель. Избегать повторения циклов замерзания/оттаивания |
| Срок хранения | 24 месяца |
| Производитель | Cloud-Clone Corp. |
| Ссылка на страницу товара на сайте производителя | http://www.cloud-clone.com/products/PAA372Mu02.html |
|
Артикул
|
Наименование |
Производитель
|
|---|
|
Артикул
|
Наименование |
Производитель
|
|---|
|
Артикул
|
Наименование |
Производитель
|
|---|
|
Артикул
|
Наименование |
Производитель
|
|---|
|
Артикул
|
Наименование |
Производитель
|
|---|
|
Артикул
|
Наименование |
Производитель
|
|---|
|
Артикул
|
Наименование |
Производитель
|
|---|
|
Артикул
|
Наименование |
Производитель
|
|---|
|
Артикул
|
Наименование |
Производитель
|
|---|
Акции и предложения
Популярные продукты:
Anti-Mouse CSF2/GM-CSF Antibody (Fs0380), FITC (FMC06711)
Источник (хозяин): крыса
Реактивность подтвержденная: мышь
Валидировано для: ELISA, FCM, FuncS
Реактивность подтвержденная: мышь
Валидировано для: ELISA, FCM, FuncS
Canine Alkaline Phosphatase ELISA kit (E08A0031)
Организм: собака
Rabbit Nucleoporin 107kDa ELISA kit (E04N0048)
Организм: кролик
Recombinant Mouse Nectin-4 (C-Fc) (PKSM041375)
Источник (хозяин): HEK293
Организм: мышь
Фрагмент: Gly31-Ser349
Теги: C-Fc
Биоактивность: нет
Организм: мышь
Фрагмент: Gly31-Ser349
Теги: C-Fc
Биоактивность: нет
InVivoMAb Anti-Human CSF2/GM-CSF Antibody (Iv0053) (VHC06701)
Источник (хозяин): человек
Реактивность подтвержденная: человек
Валидировано для: ELISA, FCM, NEUT
Реактивность подтвержденная: человек
Валидировано для: ELISA, FCM, NEUT
Anti-GSN Antibody (R1K53) (RHC19805)
Источник (хозяин): кролик
Реактивность подтвержденная: человек, крыса
Валидировано для: IHC, IP, WB
Реактивность подтвержденная: человек, крыса
Валидировано для: IHC, IP, WB

