| UNIPROT | P55095 |
| Иммуноген | RPB266Mu01-Recombinant Glucagon (GCG) |
Polyclonal Antibody to Glucagon (GCG) (PAB266Mu01)
Реактивность подтвержденная:
мышь
Источник (хозяин):
кролик
Валидировано для:
IHC
WB
Характеристики
Техническое описание
| Русское название | PAB266Mu01 Поликлональное антитело к GCG (мышь) <Cloud-Clone,Китай> |
| Каталожный номер | PAB266Mu01 |
| Название антигена | Glucagon (GC) |
| UNIPROT | P55095 |
| Иммуноген | RPB266Mu01-Recombinant Glucagon (GCG) |
| Английские синонимы | GCG, GLP1, GLP2, GRPP, Glicentin-Related Polypeptide, Glucagen, Oxyntomodulin, Incretin hormone |
Реактивность подтвержденная Нужна другая реактивность? |
мышь |
| Источник (хозяин) | кролик |
| Клональность | поликлональное |
| Рекомбинантное | нет |
| Готовое к использованию | нет |
| Концентрация | 500 мкг/мл |
| Конъюгат | По запросу: HRP, biotin, PerCP, PE, Cy3, FITC, Cy7, Cy5.5, PE-Cy5, PE-Cy7, PerCp-Cy5.5, APC, Cy5, PE-Cy3, PE-Cy5.5, APC-Cy7, Biotin-APC, FITC-Biotin, TRITC, APC-Cy5, AF488, AF594, AF405, AF555, AF700, AF647, AF750 |
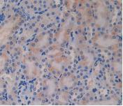
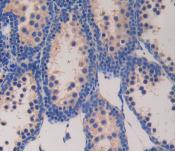
| Валидировано для | IHC WB Иммуногистохимия; Вестерн-блоттинг |
| Рекомендуемые разведения | WB: 0.5-2 мкг/мл; IHC: 5-20 мкг/мл; ICC: 5-20 мкг/мл; Оптимальное разведение определяется конечным потребителем |
| Метод очистки | Антигенспецифическая аффинная хроматография с последующей аффинной хроматографией с белком А |
| Состав буфера | 0.01M PBS, pH7.4, 0.05% Proclin-300, 50% глицерин |
| Условия доставки | термобокс с аккумуляторами холода |
| Условия хранения | Сразу после получения аликвотировать и хранить при -20ºС до 24 месяцев. Для частого использования хранить при +4ºС не более 2 недель. Избегать повторения циклов замерзания/оттаивания |
| Срок хранения | 24 месяца |
| Производитель | Cloud-Clone Corp. |
| Ссылка на страницу товара на сайте производителя | http://www.cloud-clone.com/products/PAB266Mu01.html |
|
Артикул
|
Наименование |
Производитель
|
|---|
|
Артикул
|
Наименование |
Производитель
|
|---|
|
Артикул
|
Наименование |
Производитель
|
|---|
|
Артикул
|
Наименование |
Производитель
|
|---|
|
Артикул
|
Наименование |
Производитель
|
|---|
|
Артикул
|
Наименование |
Производитель
|
|---|
|
Артикул
|
Наименование |
Производитель
|
|---|
|
Артикул
|
Наименование |
Производитель
|
|---|
Акции и предложения
Популярные продукты:
ELISA Kit DIY Materials for Interleukin 16 (IL16) (KSA062Mu01)
Организм: мышь
Диапазон определения: 15.6-1000 пг/мл
Чувствительность: 5.6 пг/мл
Диапазон определения: 15.6-1000 пг/мл
Чувствительность: 5.6 пг/мл
Guinea Pig Choline transporter like protein 3(SLC44A3) ELISA kit (E05C2438)
Организм: морская свинка
Mouse Calmodulin ELISA kit (E03C0680)
Организм: мышь
Диапазон определения: 250-5000 пг/мл
Чувствительность: 1 пг/мл
Диапазон определения: 250-5000 пг/мл
Чувствительность: 1 пг/мл
Guinea Pig Glycated hemoglobin A1c ELISA kit (E05G0322)
Организм: морская свинка
Anti-FGF13 Polyclonal Antibody (PHJ34601)
Источник (хозяин): кролик
Реактивность подтвержденная: человек, мышь, крыса
Валидировано для: ELISA, IHC, WB
Реактивность подтвержденная: человек, мышь, крыса
Валидировано для: ELISA, IHC, WB

