| UNIPROT | P52792 |
| Иммуноген | RPA667Mu01-Recombinant Glucokinase (GCK) |
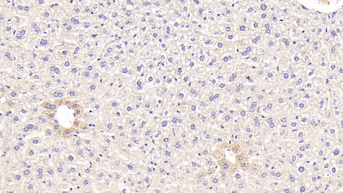
Polyclonal Antibody to Glucokinase (GCK) (PAA667Mu01)
Реактивность подтвержденная:
мышь
Источник (хозяин):
кролик
Валидировано для:
IHC
Характеристики
Техническое описание
| Русское название | PAA667Mu01 Поликлональное антитело к GCK (мышь) <Cloud-Clone,Китай> |
| Каталожный номер | PAA667Mu01 |
| Название антигена | Glucokinase (GCK) |
| UNIPROT | P52792 |
| Иммуноген | RPA667Mu01-Recombinant Glucokinase (GCK) |
| Английские синонимы | GK, GLK, HHF3, HK4, HKIV, HXKP, MODY2, Hexokinase-D, Hexokinase 4, Maturity Onset Diabetes Of The Young 2 |
Реактивность подтвержденная Нужна другая реактивность? |
мышь |
| Реактивность предсказываемая | человек, крыса |
| Источник (хозяин) | кролик |
| Клональность | поликлональное |
| Рекомбинантное | нет |
| Готовое к использованию | нет |
| Концентрация | 500 мкг/мл |
| Конъюгат | По запросу: HRP, biotin, PerCP, PE, Cy3, FITC, Cy7, Cy5.5, PE-Cy5, PE-Cy7, PerCp-Cy5.5, APC, Cy5, PE-Cy3, PE-Cy5.5, APC-Cy7, Biotin-APC, FITC-Biotin, TRITC, APC-Cy5, AF488, AF594, AF405, AF555, AF700, AF647, AF750 |
| Валидировано для | IHC Иммуногистохимия |
| Рекомендуемые разведения | WB: 0.5-2 мкг/мл; IHC: 5-20 мкг/мл; ICC: 5-20 мкг/мл; Оптимальное разведение определяется конечным потребителем |
| Метод очистки | Антигенспецифическая аффинная хроматография с последующей аффинной хроматографией с белком А |
| Состав буфера | 0.01M PBS, pH7.4, 0.05% Proclin-300, 50% глицерин |
| Условия доставки | термобокс с аккумуляторами холода |
| Условия хранения | Сразу после получения аликвотировать и хранить при -20ºС до 24 месяцев. Для частого использования хранить при +4ºС не более 2 недель. Избегать повторения циклов замерзания/оттаивания |
| Срок хранения | 24 месяца |
| Производитель | Cloud-Clone Corp. |
| Ссылка на страницу товара на сайте производителя | http://www.cloud-clone.com/products/PAA667Mu01.html |
|
Артикул
|
Наименование |
Производитель
|
|---|
|
Артикул
|
Наименование |
Производитель
|
|---|
|
Артикул
|
Наименование |
Производитель
|
|---|
|
Артикул
|
Наименование |
Производитель
|
|---|
|
Артикул
|
Наименование |
Производитель
|
|---|
Акции и предложения
Популярные продукты:
Hamster Tropomyosin Alpha 4 chain ELISA kit (E18T0895)
Организм: хомяк
Guinea Pig Electron transfer flavoprotein subunit β(ETFB) ELISA kit (E05E0387)
Организм: морская свинка
Guinea Pig Progesterone ELISA kit (E05P0200)
Организм: морская свинка
Progesterone/P ELISA Kit (KSK61501)
Организм: для всех
Диапазон определения: 1.56 - 100 нг/мл
Чувствительность: 0.5 нг/мл
Диапазон определения: 1.56 - 100 нг/мл
Чувствительность: 0.5 нг/мл
Monkey Lipase Member H ELISA Kit (E09L1210)
Организм: обезьяна
Canine Kallikrein 2 ELISA kit (E08K0077)
Организм: собака

