| UNIPROT | P14672 |
| Иммуноген | RPC023Hu01-Recombinant Glucose Transporter 4 (GLUT4) |
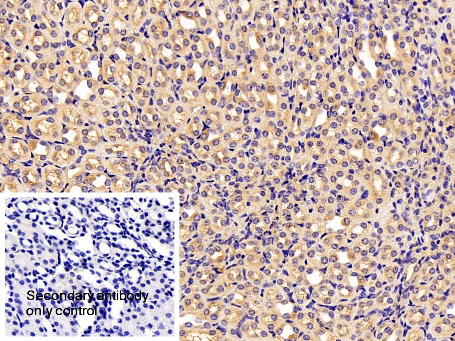
Polyclonal Antibody to Glucose Transporter 4 (GLUT4) (PAC023Hu01)
Реактивность подтвержденная:
человек
Источник (хозяин):
кролик
Валидировано для:
IHC
WB
Характеристики
Техническое описание
| Русское название | PAC023Hu01 Поликлональное антитело к GLUT4 (человек) <Cloud-Clone,Китай> |
| Каталожный номер | PAC023Hu01 |
| Название антигена | Glucose Transporter 4 (GLUT4) |
| UNIPROT | P14672 |
| Иммуноген | RPC023Hu01-Recombinant Glucose Transporter 4 (GLUT4) |
| Английские синонимы | SLC2A4, Solute carrier family 2, facilitated glucose transporter member 4, Glucose transporter type 4, insulin-responsive |
Реактивность подтвержденная Нужна другая реактивность? |
человек |
| Реактивность предсказываемая | мышь, свинья |
| Источник (хозяин) | кролик |
| Клональность | поликлональное |
| Рекомбинантное | нет |
| Готовое к использованию | нет |
| Концентрация | 0.5 мг/мл |
| Конъюгат | По запросу: HRP, biotin, PerCP, PE, Cy3, FITC, Cy7, Cy5.5, PE-Cy5, PE-Cy7, PerCp-Cy5.5, APC, Cy5, PE-Cy3, PE-Cy5.5, APC-Cy7, Biotin-APC, FITC-Biotin, TRITC, APC-Cy5, AF488, AF594, AF405, AF555, AF700, AF647, AF750 |
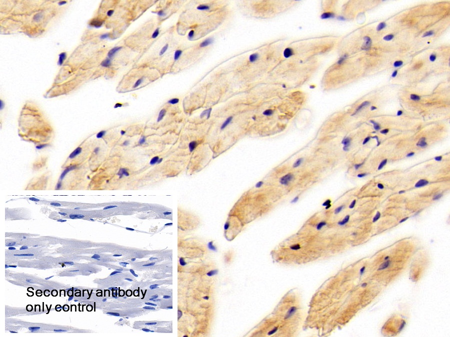
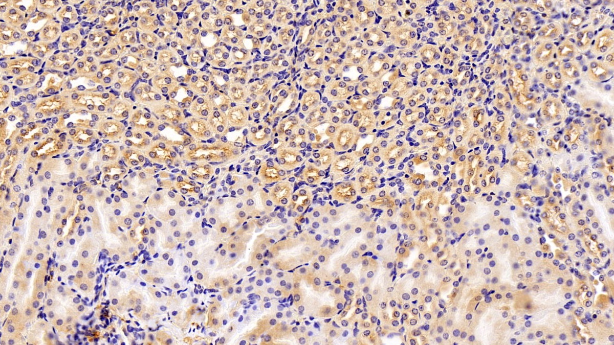
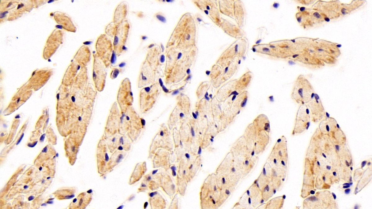
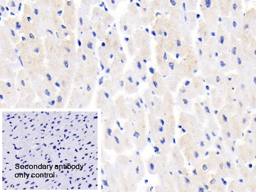
| Валидировано для | IHC WB Иммуногистохимия; Вестерн-блоттинг |
| Рекомендуемые разведения | WB: 0.01-2 мкг/мл; IHC: 5-20 мкг/мл; ICC: 5-20 мкг/мл; Оптимальное разведение определяется конечным потребителем |
| Метод очистки | Антигенспецифическая аффинная хроматография с последующей аффинной хроматографией с белком А |
| Состав буфера | 0.01M PBS, pH7.4, 0.05% Proclin-300, 50% глицерин |
| Условия доставки | термобокс с аккумуляторами холода |
| Условия хранения | Сразу после получения аликвотировать и хранить при -20ºС до 24 месяцев. Для частого использования хранить при +4ºС не более 2 недель. Избегать повторения циклов замерзания/оттаивания |
| Срок хранения | 24 месяца |
| Производитель | Cloud-Clone Corp. |
| Ссылка на страницу товара на сайте производителя | http://www.cloud-clone.com/products/PAC023Hu01.html |
|
Артикул
|
Наименование |
Производитель
|
|---|
|
Артикул
|
Наименование |
Производитель
|
|---|
|
Артикул
|
Наименование |
Производитель
|
|---|
|
Артикул
|
Наименование |
Производитель
|
|---|
|
Артикул
|
Наименование |
Производитель
|
|---|
|
Артикул
|
Наименование |
Производитель
|
|---|
|
Артикул
|
Наименование |
Производитель
|
|---|
Акции и предложения
Популярные продукты:
ELISA Kit DIY Materials for Organic Cation/Ergothioneine Transporter (OCTN1) (KSE444Hu01)
Организм: человек
Диапазон определения: 78-5000 пг/мл
Чувствительность: 30 пг/мл
Диапазон определения: 78-5000 пг/мл
Чувствительность: 30 пг/мл
ELISA Kit DIY Materials for Chloride Intracellular Channel Protein 1 (CLIC1) (KSC390Hu01)
Организм: человек
Диапазон определения: 0.312-20 нг/мл
Чувствительность: 0.113 нг/мл
Диапазон определения: 0.312-20 нг/мл
Чувствительность: 0.113 нг/мл
Chicken Fatty acid amide hydrolase 1(FAAH) ELISA kit (E12F0358)
Организм: курица
Canine Choline/ethanolamine kinase(CHKB) ELISA kit (E08C1682)
Организм: собака

