| UNIPROT | P70699 |
| Иммуноген | RPA177Mu02-Recombinant Glucosidase Alpha, Acid (GaA) |
Polyclonal Antibody to Glucosidase Alpha, Acid (GaA) (PAA177Mu02)
Реактивность подтвержденная:
мышь
Источник (хозяин):
кролик
Валидировано для:
IHC
WB
Характеристики
Техническое описание
| Русское название | PAA177Mu02 Поликлональное антитело к GaA (мышь) <Cloud-Clone,Китай> |
| Каталожный номер | PAA177Mu02 |
| Название антигена | Glucosidase Alpha, Acid (GaA) |
| UNIPROT | P70699 |
| Иммуноген | RPA177Mu02-Recombinant Glucosidase Alpha, Acid (GaA) |
| Английские синонимы | LYAG, Acid Alpha-Glucosidase, Lysosomal Alpha-Glucosidase, Pompe Disease Glycogen Storage Disease Type II, Acid Maltase, Aglucosidase Alfa |
Реактивность подтвержденная Нужна другая реактивность? |
мышь |
| Реактивность предсказываемая | человек, крыса |
| Источник (хозяин) | кролик |
| Клональность | поликлональное |
| Рекомбинантное | нет |
| Готовое к использованию | нет |
| Концентрация | 500 мкг/мл |
| Конъюгат | По запросу: HRP, biotin, PerCP, PE, Cy3, FITC, Cy7, Cy5.5, PE-Cy5, PE-Cy7, PerCp-Cy5.5, APC, Cy5, PE-Cy3, PE-Cy5.5, APC-Cy7, Biotin-APC, FITC-Biotin, TRITC, APC-Cy5, AF488, AF594, AF405, AF555, AF700, AF647, AF750 |
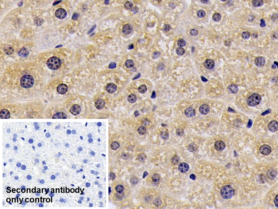
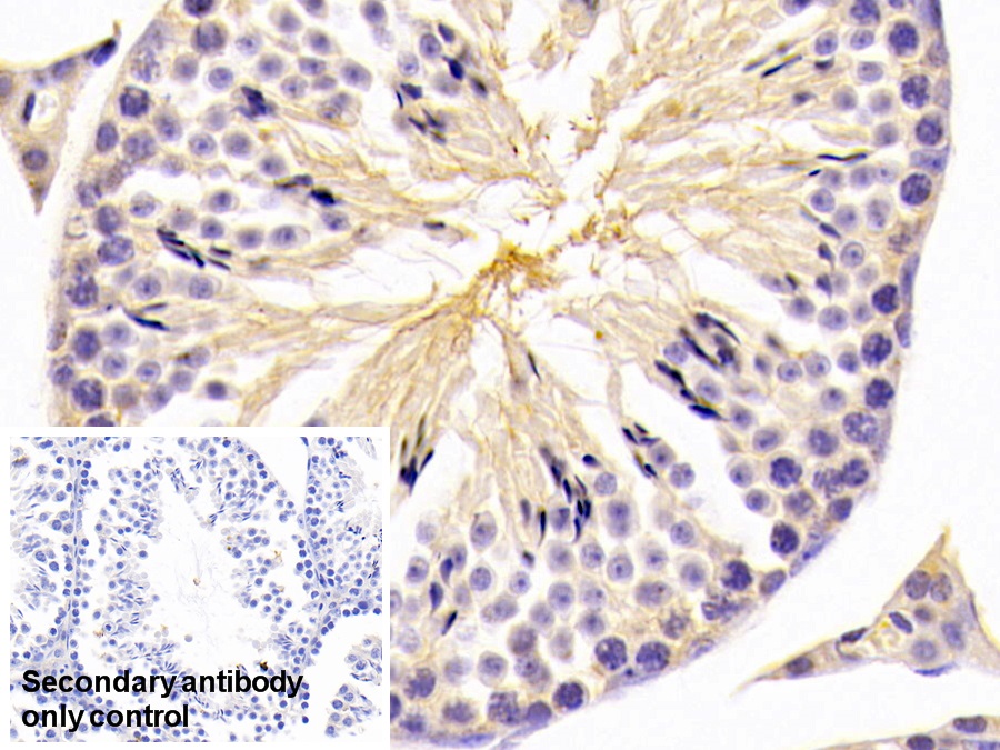
| Валидировано для | IHC WB Иммуногистохимия; Вестерн-блоттинг |
| Рекомендуемые разведения | WB: 0.2-2 мкг/мл; 1:250-2500; IHC: 5-20 мкг/мл; 1:25-100; ICC: 5-20 мкг/мл; 1:25-100; Оптимальное разведение определяется конечным потребителем |
| Метод очистки | Антигенспецифическая аффинная хроматография с последующей аффинной хроматографией с белком А |
| Состав буфера | 0.01M PBS, pH7.4, 0.05% Proclin-300, 50% глицерин |
| Условия доставки | термобокс с аккумуляторами холода |
| Условия хранения | Сразу после получения аликвотировать и хранить при -20ºС до 24 месяцев. Для частого использования хранить при +4ºС не более 2 недель. Избегать повторения циклов замерзания/оттаивания |
| Срок хранения | 24 месяца |
| Производитель | Cloud-Clone Corp. |
| Ссылка на страницу товара на сайте производителя | http://www.cloud-clone.com/products/PAA177Mu02.html |
|
Артикул
|
Наименование |
Производитель
|
|---|
|
Артикул
|
Наименование |
Производитель
|
|---|
|
Артикул
|
Наименование |
Производитель
|
|---|
|
Артикул
|
Наименование |
Производитель
|
|---|
Акции и предложения
Популярные продукты:
Rabbit Arginyl tRNA protein transferase 1(ATE1) ELISA kit (E04A1077)
Организм: кролик
Goat Calreticulin 3(CALR3) ELISA kit (E06C1330)
Организм: коза
Mouse Cortexin 1(CTXN1) ELISA kit (E03C2175)
Организм: мышь
Sheep Dihydrofolate reductase(DHFR) ELISA kit (E14D0284)
Организм: овца
Chicken Dihydrofolate reductase(DHFR) ELISA kit (E12D0284)
Организм: курица
Monkey Dihydrofolate reductase(DHFR) ELISA kit (E09D0284)
Организм: обезьяна

