| UNIPROT | P19468 |
| Иммуноген | RPD759Ra01-Recombinant Glutamate Cysteine Ligase, Catalytic (GCLC) |
Polyclonal Antibody to Glutamate Cysteine Ligase, Catalytic (GCLC) (PAD759Ra01)
Реактивность подтвержденная:
крыса
Источник (хозяин):
кролик
Валидировано для:
IHC
WB
Характеристики
Техническое описание
| Русское название | PAD759Ra01 Поликлональное антитело к GCLC (крыса) <Cloud-Clone,Китай> |
| Каталожный номер | PAD759Ra01 |
| Название антигена | Glutamate Cysteine Ligase, Catalytic (GCLC) |
| UNIPROT | P19468 |
| Иммуноген | RPD759Ra01-Recombinant Glutamate Cysteine Ligase, Catalytic (GCLC) |
| Английские синонимы | GCS, GLCL, GLCLC, Gamma-glutamylcysteine synthetase, Gamma-ECS |
Реактивность подтвержденная Нужна другая реактивность? |
крыса |
| Реактивность предсказываемая | мышь |
| Источник (хозяин) | кролик |
| Клональность | поликлональное |
| Рекомбинантное | нет |
| Готовое к использованию | нет |
| Концентрация | 500 мкг/мл |
| Конъюгат | По запросу: HRP, biotin, PerCP, PE, Cy3, FITC, Cy7, Cy5.5, PE-Cy5, PE-Cy7, PerCp-Cy5.5, APC, Cy5, PE-Cy3, PE-Cy5.5, APC-Cy7, Biotin-APC, FITC-Biotin, TRITC, APC-Cy5, AF488, AF594, AF405, AF555, AF700, AF647, AF750 |
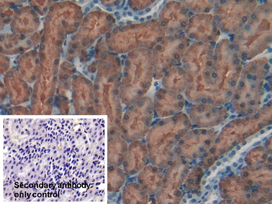
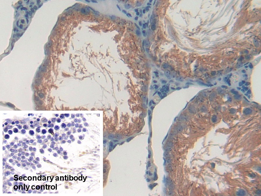
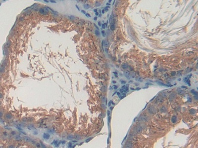
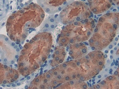
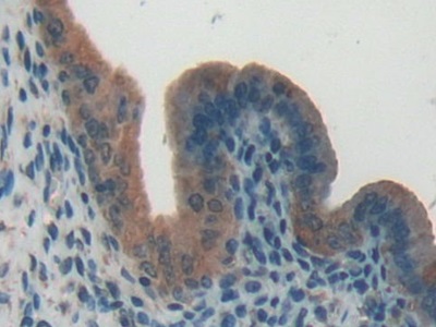
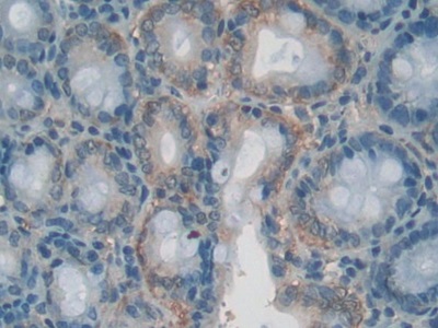
| Валидировано для | IHC WB Иммуногистохимия; Вестерн-блоттинг |
| Рекомендуемые разведения | WB: 0.2-2 мкг/мл; 1:250-2500; IHC: 5-20 мкг/мл; 1:25-100; ICC: 5-20 мкг/мл; 1:25-100; Оптимальное разведение определяется конечным потребителем |
| Метод очистки | Антигенспецифическая аффинная хроматография с последующей аффинной хроматографией с белком А |
| Состав буфера | 0.01M PBS, pH7.4, 0.05% Proclin-300, 50% глицерин |
| Условия доставки | термобокс с аккумуляторами холода |
| Условия хранения | Сразу после получения аликвотировать и хранить при -20ºС до 24 месяцев. Для частого использования хранить при +4ºС не более 2 недель. Избегать повторения циклов замерзания/оттаивания |
| Срок хранения | 24 месяца |
| Производитель | Cloud-Clone Corp. |
| Ссылка на страницу товара на сайте производителя | http://www.cloud-clone.com/products/PAD759Ra01.html |
|
Артикул
|
Наименование |
Производитель
|
|---|
|
Артикул
|
Наименование |
Производитель
|
|---|
|
Артикул
|
Наименование |
Производитель
|
|---|
|
Артикул
|
Наименование |
Производитель
|
|---|
|
Артикул
|
Наименование |
Производитель
|
|---|
|
Артикул
|
Наименование |
Производитель
|
|---|
|
Артикул
|
Наименование |
Производитель
|
|---|
Акции и предложения
Популярные продукты:
Canine 11 cis retinol dehydrogenase ELISA kit (E08R0428)
Организм: собака
Rabbit Neuropeptide FF receptor 1 ELISA kit (E04N0678)
Организм: кролик
Guinea Pig Glutamate receptor 2(GRIA2) ELISA kit (E05G0391)
Организм: морская свинка
Recombinant PDCoV N/Nucleocapsid protein Protein, N-His (YVV43701)
Источник (хозяин): E.coli
Организм: вирусы
Фрагмент: Met1-Ala342
Теги: N-His
Биоактивность: нет
Организм: вирусы
Фрагмент: Met1-Ala342
Теги: N-His
Биоактивность: нет
Recombinant Human MYPN Protein, N-His (YHJ15201)
Источник (хозяин): E.coli
Организм: человек
Фрагмент: Pro945-Leu1320
Теги: N-His
Биоактивность: нет
Организм: человек
Фрагмент: Pro945-Leu1320
Теги: N-His
Биоактивность: нет
Galectin 8 Antibody (DF8262)
Источник (хозяин): кролик
Реактивность подтвержденная: человек, мышь
Валидировано для: IHC, WB, IF, ICC
Реактивность подтвержденная: человек, мышь
Валидировано для: IHC, WB, IF, ICC

