| UNIPROT | P48318 |
| Иммуноген | RPC904Mu02-Recombinant Glutamate Decarboxylase 1, Brain (GAD1) |
Polyclonal Antibody to Glutamate Decarboxylase 1, Brain (GAD1) (PAC904Mu02)
Реактивность подтвержденная:
мышь
Источник (хозяин):
кролик
Валидировано для:
ICC
IHC
WB
Характеристики
Техническое описание
| Русское название | PAC904Mu02 Поликлональное антитело к GAD1 (мышь) <Cloud-Clone,Китай> |
| Каталожный номер | PAC904Mu02 |
| Название антигена | Glutamate Decarboxylase 1, Brain (GAD1) |
| UNIPROT | P48318 |
| Иммуноген | RPC904Mu02-Recombinant Glutamate Decarboxylase 1, Brain (GAD1) |
| Английские синонимы | GAD67, SCP, 67 kDa glutamic acid decarboxylase, Glutamate decarboxylase 67 kDa isoform |
Реактивность подтвержденная Нужна другая реактивность? |
мышь |
| Реактивность предсказываемая | человек, крыса |
| Источник (хозяин) | кролик |
| Клональность | поликлональное |
| Рекомбинантное | нет |
| Готовое к использованию | нет |
| Концентрация | 0.38 мг/мл |
| Конъюгат | По запросу: HRP, biotin, PerCP, PE, Cy3, FITC, Cy7, Cy5.5, PE-Cy5, PE-Cy7, PerCp-Cy5.5, APC, Cy5, PE-Cy3, PE-Cy5.5, APC-Cy7, Biotin-APC, FITC-Biotin, TRITC, APC-Cy5, AF488, AF594, AF405, AF555, AF700, AF647, AF750 |
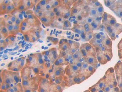
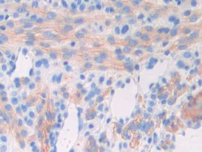
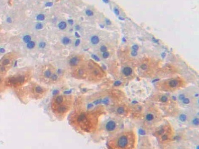
| Валидировано для | ICC IHC WB Иммуноцитохимия; Иммуногистохимия; Вестерн-блоттинг |
| Рекомендуемые разведения | WB: 0.01-2 мкг/мл; IHC: 5-20 мкг/мл; ICC: 5-20 мкг/мл; Оптимальное разведение определяется конечным потребителем |
| Метод очистки | Антигенспецифическая аффинная хроматография с последующей аффинной хроматографией с белком А |
| Состав буфера | PBS, pH7.4, 0.02% NaN3, 50% глицерин |
| Условия доставки | термобокс с аккумуляторами холода |
| Условия хранения | Сразу после получения аликвотировать и хранить при -20ºС до 24 месяцев. Для частого использования хранить при +4ºС не более 2 недель. Избегать повторения циклов замерзания/оттаивания |
| Срок хранения | 24 месяца |
| Производитель | Cloud-Clone Corp. |
| Ссылка на страницу товара на сайте производителя | http://www.cloud-clone.com/products/PAC904Mu02.html |
|
Артикул
|
Наименование |
Производитель
|
|---|
|
Артикул
|
Наименование |
Производитель
|
|---|
|
Артикул
|
Наименование |
Производитель
|
|---|
|
Артикул
|
Наименование |
Производитель
|
|---|
|
Артикул
|
Наименование |
Производитель
|
|---|
Акции и предложения
Популярные продукты:
Goat Transglutaminase ELISA kit (E06T0035)
Организм: коза
Mouse Inhibin β C ELISA kit (E03I0111)
Организм: мышь
Recombinant Human KRT7 Protein, N-His (YHC36101)
Источник (хозяин): E.coli
Организм: человек
Фрагмент: Glu91-Lys394
Теги: N-His
Биоактивность: нет
Организм: человек
Фрагмент: Glu91-Lys394
Теги: N-His
Биоактивность: нет
Recombinant Hemoglobin Gamma 1 (HBg1) (RPD093Hu01)
Источник (хозяин): E.coli
Организм: человек
Теги: N-концевой His-Tag
Биоактивность: нет
Организм: человек
Теги: N-концевой His-Tag
Биоактивность: нет
Polyclonal Antibody to Glutamate Decarboxylase 1, Brain (GAD1) (PAC904Mu02)
Источник (хозяин): кролик
Реактивность подтвержденная: мышь
Валидировано для: ICC, IHC, WB
Реактивность подтвержденная: мышь
Валидировано для: ICC, IHC, WB

