| UNIPROT | P26443 |
| Иммуноген | RPA293Mu01-Recombinant Glutamate Dehydrogenase 1 (GLUD1) |
Polyclonal Antibody to Glutamate Dehydrogenase 1 (GLUD1) (PAA293Mu01)
Реактивность подтвержденная:
мышь
Источник (хозяин):
кролик
Валидировано для:
IHC
WB
Характеристики
Техническое описание
| Русское название | PAA293Mu01 Поликлональное антитело к GLUD1 (мышь) <Cloud-Clone,Китай> |
| Каталожный номер | PAA293Mu01 |
| Название антигена | Glutamate Dehydrogenase 1 (GDH) |
| UNIPROT | P26443 |
| Иммуноген | RPA293Mu01-Recombinant Glutamate Dehydrogenase 1 (GLUD1) |
| Английские синонимы | GLUD1, Glutamate dehydrogenase 1, mitochondrial |
| Русские синонимы | L-глутамат: NAD-оксидоредуктаза 1.4.1.2 |
Реактивность подтвержденная Нужна другая реактивность? |
мышь |
| Реактивность предсказываемая | человек |
| Источник (хозяин) | кролик |
| Клональность | поликлональное |
| Рекомбинантное | нет |
| Готовое к использованию | нет |
| Концентрация | 500 мкг/мл |
| Конъюгат | По запросу: HRP, biotin, PerCP, PE, Cy3, FITC, Cy7, Cy5.5, PE-Cy5, PE-Cy7, PerCp-Cy5.5, APC, Cy5, PE-Cy3, PE-Cy5.5, APC-Cy7, Biotin-APC, FITC-Biotin, TRITC, APC-Cy5, AF488, AF594, AF405, AF555, AF700, AF647, AF750 |
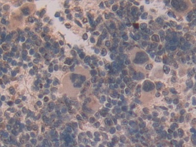
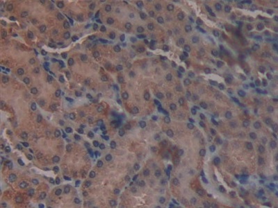
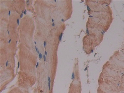
| Валидировано для | IHC WB Иммуногистохимия; Вестерн-блоттинг |
| Рекомендуемые разведения | WB: 0.5-5 мкг/мл; IHC: 5-20 мкг/мл; ICC: 5-20 мкг/мл; Оптимальное разведение определяется конечным потребителем |
| Метод очистки | Антигенспецифическая аффинная хроматография с последующей аффинной хроматографией с белком А |
| Состав буфера | 0.01M PBS, pH7.4, 0.05% Proclin-300, 50% глицерин |
| Условия доставки | термобокс с аккумуляторами холода |
| Условия хранения | Сразу после получения аликвотировать и хранить при -20ºС до 24 месяцев. Для частого использования хранить при +4ºС не более 2 недель. Избегать повторения циклов замерзания/оттаивания |
| Срок хранения | 24 месяца |
| Производитель | Cloud-Clone Corp. |
| Ссылка на страницу товара на сайте производителя | http://www.cloud-clone.com/products/PAA293Mu01.html |
|
Артикул
|
Наименование |
Производитель
|
|---|
|
Артикул
|
Наименование |
Производитель
|
|---|
|
Артикул
|
Наименование |
Производитель
|
|---|
|
Артикул
|
Наименование |
Производитель
|
|---|
|
Артикул
|
Наименование |
Производитель
|
|---|
Акции и предложения
Популярные продукты:
Monoclonal Antibody to Keratocan (KERA) (MAC553Hu22)
Источник (хозяин): мышь
Реактивность подтвержденная: человек
Валидировано для: ICC, IHC, IP, WB
Реактивность подтвержденная: человек
Валидировано для: ICC, IHC, IP, WB
Monoclonal Antibody to Cluster Of Differentiation 2 (CD2) (MAB576Hu21)
Источник (хозяин): мышь
Реактивность подтвержденная: человек
Валидировано для: ICC, IHC, WB
Реактивность подтвержденная: человек
Валидировано для: ICC, IHC, WB
Anti-EGFR/ERBB1/HER1 Polyclonal Antibody (PHB86901)
Источник (хозяин): кролик
Реактивность подтвержденная: человек, мышь, крыса
Валидировано для: ELISA, IHC, WB
Реактивность подтвержденная: человек, мышь, крыса
Валидировано для: ELISA, IHC, WB
Anti-MAP2K1/MEK1 Antibody (R1B91) (RHF95502)
Источник (хозяин): кролик
Реактивность подтвержденная: человек
Валидировано для: IF, IHC, IP, WB
Реактивность подтвержденная: человек
Валидировано для: IF, IHC, IP, WB
Anti-Human CD59 Antibody (TS59), FITC (FHD02511)
Источник (хозяин): мышь
Реактивность подтвержденная: человек
Валидировано для: FCM
Реактивность подтвержденная: человек
Валидировано для: FCM
Multiplex Assay Kit for Neuromedin U (NMU) (LMB025Mu)
Организм: мышь
Диапазон определения: 9.77-10000 пг/мл
Чувствительность: 3.257 пг/мл
Диапазон определения: 9.77-10000 пг/мл
Чувствительность: 3.257 пг/мл

