| UNIPROT | D3Z7P3 |
| Иммуноген | RPJ026Mu01-Recombinant Glutaminase (GLS) |
Polyclonal Antibody to Glutaminase (GLS) (PAJ026Mu01)
Реактивность подтвержденная:
мышь
Источник (хозяин):
кролик
Валидировано для:
IHC
WB
Характеристики
Техническое описание
| Русское название | PAJ026Mu01 Поликлональное антитело к GLS (мышь) <Cloud-Clone,Китай> |
| Каталожный номер | PAJ026Mu01 |
| Название антигена | Glutaminase (GLS) |
| UNIPROT | D3Z7P3 |
| Иммуноген | RPJ026Mu01-Recombinant Glutaminase (GLS) |
| Английские синонимы | GLS1, Glutaminase kidney isoform, mitochondrial, K-glutaminase, L-glutamine amidohydrolase |
Реактивность подтвержденная Нужна другая реактивность? |
мышь |
| Реактивность предсказываемая | человек |
| Источник (хозяин) | кролик |
| Клональность | поликлональное |
| Рекомбинантное | нет |
| Готовое к использованию | нет |
| Концентрация | 0.5 мг/мл |
| Конъюгат | По запросу: HRP, biotin, PerCP, PE, Cy3, FITC, Cy7, Cy5.5, PE-Cy5, PE-Cy7, PerCp-Cy5.5, APC, Cy5, PE-Cy3, PE-Cy5.5, APC-Cy7, Biotin-APC, FITC-Biotin, TRITC, APC-Cy5, AF488, AF594, AF405, AF555, AF700, AF647, AF750 |
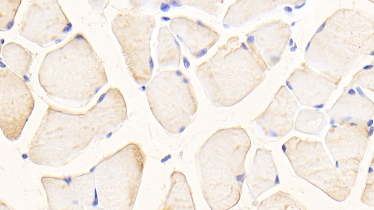
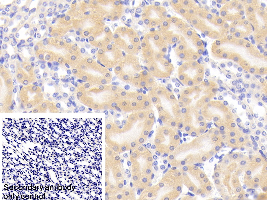
| Валидировано для | IHC WB Иммуногистохимия; Вестерн-блоттинг |
| Рекомендуемые разведения | WB: 0.01-2 мкг/мл; IHC: 5-20 мкг/мл; Оптимальное разведение определяется конечным потребителем |
| Метод очистки | Антигенспецифическая аффинная хроматография с последующей аффинной хроматографией с белком А |
| Состав буфера | 0.01M PBS, pH7.4, 0.05% Proclin-300, 50% глицерин |
| Условия доставки | термобокс с аккумуляторами холода |
| Условия хранения | Сразу после получения аликвотировать и хранить при -20ºС до 24 месяцев. Для частого использования хранить при +4ºС не более 2 недель. Избегать повторения циклов замерзания/оттаивания |
| Срок хранения | 24 месяца |
| Производитель | Cloud-Clone Corp. |
| Ссылка на страницу товара на сайте производителя | http://www.cloud-clone.com/products/PAJ026Mu01.html |
|
Артикул
|
Наименование |
Производитель
|
|---|
|
Артикул
|
Наименование |
Производитель
|
|---|
|
Артикул
|
Наименование |
Производитель
|
|---|
|
Артикул
|
Наименование |
Производитель
|
|---|
Акции и предложения
Популярные продукты:
InVivoMAb Anti-Mouse CD19 Antibody (1D3) (VMD10804)
Источник (хозяин): мышь
Реактивность подтвержденная: мышь
Валидировано для: ELISA, FCM, FuncS
Реактивность подтвержденная: мышь
Валидировано для: ELISA, FCM, FuncS
Polyclonal Antibody to Ficolin 1 (FCN1) (PAA786Hu02)
Источник (хозяин): кролик
Реактивность подтвержденная: человек
Валидировано для: WB
Реактивность подтвержденная: человек
Валидировано для: WB
Guinea Pig phosphatidylcholine ELISA kit (E05P1058)
Организм: морская свинка
Canine Vasohibin 1 ELISA kit (E08V0412)
Организм: собака
Bovine Forkhead Box Protein D3 ELISA kit (E11F0114)
Организм: корова
Sheep Oxalic Acid ELISA kit (E14O0851)
Организм: овца

