| UNIPROT | Q8CGC7 |
| Иммуноген | RPD008Mu01-Recombinant Glutamyl Prolyl tRNA Synthetase (EPRS) |
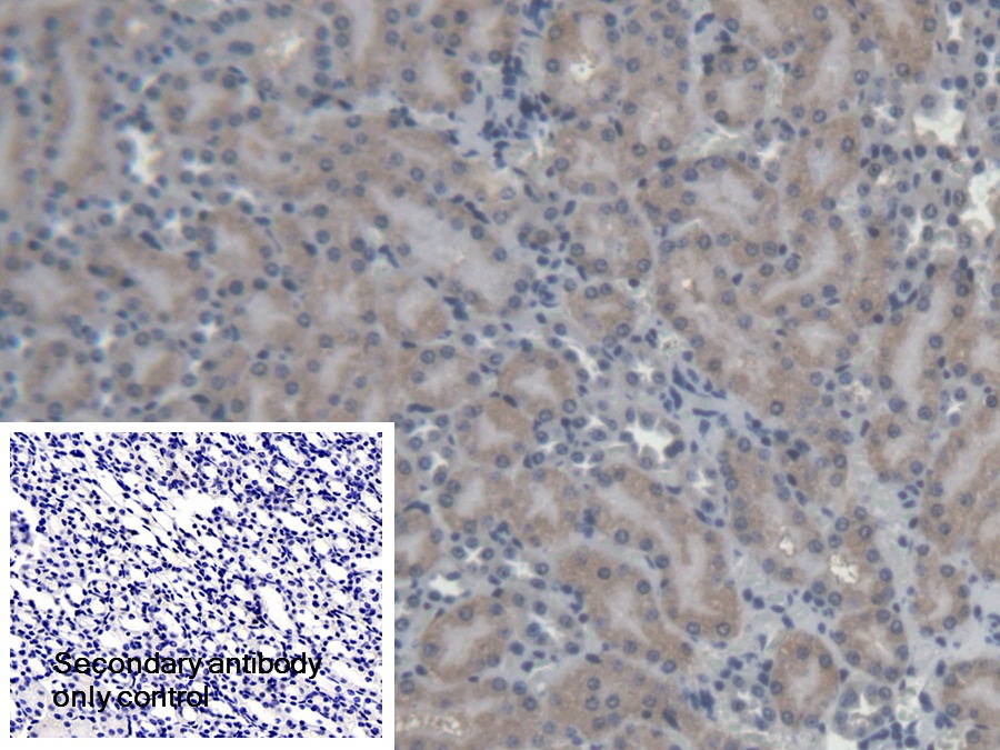
Polyclonal Antibody to Glutamyl Prolyl tRNA Synthetase (EPRS) (PAD008Mu01)
Реактивность подтвержденная:
мышь
Источник (хозяин):
кролик
Валидировано для:
IHC
WB
Характеристики
Техническое описание
| Русское название | PAD008Mu01 Поликлональное антитело к EPRS (мышь) <Cloud-Clone,Китай> |
| Каталожный номер | PAD008Mu01 |
| Название антигена | Glutamyl Prolyl tRNA Synthetase (EPRS) |
| UNIPROT | Q8CGC7 |
| Иммуноген | RPD008Mu01-Recombinant Glutamyl Prolyl tRNA Synthetase (EPRS) |
| Английские синонимы | PARS, EARS, PIG32, QPRS, QARS, Bifunctional Aminoacyl-TRNA Synthetase, Glutamate tRNA Ligase, Proline tRNA Ligase, Cell proliferation-inducing gene 32 protein |
Реактивность подтвержденная Нужна другая реактивность? |
мышь |
| Реактивность предсказываемая | человек, крыса |
| Источник (хозяин) | кролик |
| Клональность | поликлональное |
| Рекомбинантное | нет |
| Готовое к использованию | нет |
| Концентрация | 0.5 мг/мл |
| Конъюгат | По запросу: HRP, biotin, PerCP, PE, Cy3, FITC, Cy7, Cy5.5, PE-Cy5, PE-Cy7, PerCp-Cy5.5, APC, Cy5, PE-Cy3, PE-Cy5.5, APC-Cy7, Biotin-APC, FITC-Biotin, TRITC, APC-Cy5, AF488, AF594, AF405, AF555, AF700, AF647, AF750 |
| Валидировано для | IHC WB Иммуногистохимия; Вестерн-блоттинг |
| Рекомендуемые разведения | WB: 0.5-2 мкг/мл; IHC: 5-20 мкг/мл; ICC: 5-20 мкг/мл; Оптимальное разведение определяется конечным потребителем |
| Метод очистки | Антигенспецифическая аффинная хроматография с последующей аффинной хроматографией с белком А |
| Состав буфера | PBS, pH7.4, 0.02% NaN3, 50% глицерин |
| Условия доставки | термобокс с аккумуляторами холода |
| Условия хранения | Сразу после получения аликвотировать и хранить при -20ºС до 24 месяцев. Для частого использования хранить при +4ºС не более 2 недель. Избегать повторения циклов замерзания/оттаивания |
| Срок хранения | 24 месяца |
| Производитель | Cloud-Clone Corp. |
| Ссылка на страницу товара на сайте производителя | http://www.cloud-clone.com/products/PAD008Mu01.html |
|
Артикул
|
Наименование |
Производитель
|
|---|
|
Артикул
|
Наименование |
Производитель
|
|---|
Акции и предложения
Популярные продукты:
Monoclonal Antibody to Casein Alpha (CSN1) (MAJ333Bo25)
Источник (хозяин): мышь
Реактивность подтвержденная: корова
Валидировано для: WB
Реактивность подтвержденная: корова
Валидировано для: WB
Recombinant Human PS6K/RPS6KB1 Protein (GST Tag) (PKSH031881)
Источник (хозяин): клетки насекомых
Организм: человек
Фрагмент: Met 1-Leu525
Теги: N-GST
Биоактивность: нет
Организм: человек
Фрагмент: Met 1-Leu525
Теги: N-GST
Биоактивность: нет
Recombinant Mouse CDCP1/CD318 Protein (Fc Tag) (PKSM040351)
Источник (хозяин): HEK293
Организм: мышь
Фрагмент: Met1-Leu666
Теги: C-hFc
Биоактивность: нет
Организм: мышь
Фрагмент: Met1-Leu666
Теги: C-hFc
Биоактивность: нет
Recombinant Mouse IL1RL1/ST2 Protein (His Tag) (PKSM041050)
Источник (хозяин): HEK293
Организм: мышь
Фрагмент: Ser27-Ala337
Теги: C-His
Биоактивность: нет
Организм: мышь
Фрагмент: Ser27-Ala337
Теги: C-His
Биоактивность: нет
Recombinant Mouse SLAMF5/CD84 Protein (His Tag) (PKSM040499)
Источник (хозяин): HEK293
Организм: мышь
Фрагмент: Met 1-Val 221
Теги: C-His
Биоактивность: да
Организм: мышь
Фрагмент: Met 1-Val 221
Теги: C-His
Биоактивность: да
Recombinant Mouse CD30/TNFRSF8 Protein (His Tag) (PKSM041164)
Источник (хозяин): HEK293
Организм: мышь
Фрагмент: Phe19-Thr281
Теги: C-His
Биоактивность: нет
Организм: мышь
Фрагмент: Phe19-Thr281
Теги: C-His
Биоактивность: нет

