| UNIPROT | Q9QUH0 |
| Иммуноген | RPG981Mu01-Recombinant Glutaredoxin (GLRX) |
Polyclonal Antibody to Glutaredoxin (GLRX) (PAG981Mu01)
Реактивность подтвержденная:
мышь
Источник (хозяин):
кролик
Валидировано для:
IHC
Характеристики
Техническое описание
| Русское название | PAG981Mu01 Поликлональное антитело к GLRX (мышь) <Cloud-Clone,Китай> |
| Каталожный номер | PAG981Mu01 |
| Название антигена | Glutaredoxin (GLRX) |
| UNIPROT | Q9QUH0 |
| Иммуноген | RPG981Mu01-Recombinant Glutaredoxin (GLRX) |
| Английские синонимы | GRX, GRX1, Thioltransferase |
Реактивность подтвержденная Нужна другая реактивность? |
мышь |
| Реактивность предсказываемая | человек, крыса |
| Источник (хозяин) | кролик |
| Клональность | поликлональное |
| Рекомбинантное | нет |
| Готовое к использованию | нет |
| Концентрация | 0.5 мг/мл |
| Конъюгат | По запросу: HRP, biotin, PerCP, PE, Cy3, FITC, Cy7, Cy5.5, PE-Cy5, PE-Cy7, PerCp-Cy5.5, APC, Cy5, PE-Cy3, PE-Cy5.5, APC-Cy7, Biotin-APC, FITC-Biotin, TRITC, APC-Cy5, AF488, AF594, AF405, AF555, AF700, AF647, AF750 |
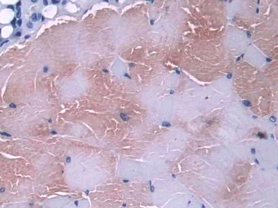
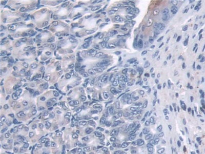
| Валидировано для | IHC Иммуногистохимия |
| Рекомендуемые разведения | WB: 0.01-2 мкг/мл; IHC: 5-20 мкг/мл; ICC: 5-20 мкг/мл; Оптимальное разведение определяется конечным потребителем |
| Метод очистки | Антигенспецифическая аффинная хроматография с последующей аффинной хроматографией с белком А |
| Состав буфера | PBS, pH7.4, 0.02% NaN3, 50% глицерин |
| Условия доставки | термобокс с аккумуляторами холода |
| Условия хранения | Сразу после получения аликвотировать и хранить при -20ºС до 24 месяцев. Для частого использования хранить при +4ºС не более 2 недель. Избегать повторения циклов замерзания/оттаивания |
| Срок хранения | 24 месяца |
| Производитель | Cloud-Clone Corp. |
| Ссылка на страницу товара на сайте производителя | http://www.cloud-clone.com/products/PAG981Mu01.html |
|
Артикул
|
Наименование |
Производитель
|
|---|
|
Артикул
|
Наименование |
Производитель
|
|---|
|
Артикул
|
Наименование |
Производитель
|
|---|
Акции и предложения
Популярные продукты:
ELISA Kit for Leukotriene C4 (LTC4) (CEA619Ge)
Организм: для всех
Диапазон определения: 370.4-30,000 пг/мл
Чувствительность: 11.9 пг/мл
Диапазон определения: 370.4-30,000 пг/мл
Чувствительность: 11.9 пг/мл
Chicken Paralemmin 1 ELISA kit (E12P0826)
Организм: курица
Recombinant Cynomolgus CSF1R/CD115 Protein (His Tag) (PKSQ050034)
Источник (хозяин): HEK293
Организм: обезьяна
Фрагмент: Ile20-Pro517
Теги: C-His
Биоактивность: нет
Организм: обезьяна
Фрагмент: Ile20-Pro517
Теги: C-His
Биоактивность: нет
DKK3 Polyclonal Antibody (E-AB-93201)
Источник (хозяин): кролик
Реактивность подтвержденная: человек, мышь, крыса
Валидировано для: IF, WB
Реактивность подтвержденная: человек, мышь, крыса
Валидировано для: IF, WB
AST Polyclonal Antibody (D-AB-10389L)
Источник (хозяин): кролик
Реактивность подтвержденная: человек, мышь, крыса
Валидировано для: WB
Реактивность подтвержденная: человек, мышь, крыса
Валидировано для: WB

