| UNIPROT | P22352 |
| Иммуноген | RPC992Hu01-Recombinant Glutathione Peroxidase 3, Plasma (GPX3) |
Polyclonal Antibody to Glutathione Peroxidase 3, Plasma (GPX3) (PAC992Hu01)
Реактивность подтвержденная:
человек
Источник (хозяин):
кролик
Валидировано для:
IHC
WB
Характеристики
Техническое описание
| Русское название | PAC992Hu01 Поликлональное антитело к GPX3 (человек) <Cloud-Clone,Китай> |
| Каталожный номер | PAC992Hu01 |
| Название антигена | Glutathione Peroxidase 3, Plasma (GPX3) |
| UNIPROT | P22352 |
| Иммуноген | RPC992Hu01-Recombinant Glutathione Peroxidase 3, Plasma (GPX3) |
| Английские синонимы | GSHPX3, GPx-P, GSHPx-P, GPXP, Plasma glutathione peroxidase, Extracellular glutathione peroxidase |
Реактивность подтвержденная Нужна другая реактивность? |
человек |
| Источник (хозяин) | кролик |
| Клональность | поликлональное |
| Рекомбинантное | нет |
| Готовое к использованию | нет |
| Концентрация | 0.5 мг/мл |
| Конъюгат | По запросу: HRP, biotin, PerCP, PE, Cy3, FITC, Cy7, Cy5.5, PE-Cy5, PE-Cy7, PerCp-Cy5.5, APC, Cy5, PE-Cy3, PE-Cy5.5, APC-Cy7, Biotin-APC, FITC-Biotin, TRITC, APC-Cy5, AF488, AF594, AF405, AF555, AF700, AF647, AF750 |
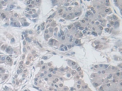
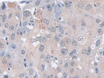
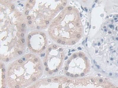
| Валидировано для | IHC WB Иммуногистохимия; Вестерн-блоттинг |
| Рекомендуемые разведения | WB: 0.01-2 мкг/мл; IHC: 5-20 мкг/мл; Оптимальное разведение определяется конечным потребителем |
| Метод очистки | Антигенспецифическая аффинная хроматография с последующей аффинной хроматографией с белком А |
| Состав буфера | 0.01M PBS, pH7.4, 0.05% Proclin-300, 50% глицерин |
| Условия доставки | термобокс с аккумуляторами холода |
| Условия хранения | Сразу после получения аликвотировать и хранить при -20ºС до 24 месяцев. Для частого использования хранить при +4ºС не более 2 недель. Избегать повторения циклов замерзания/оттаивания |
| Срок хранения | 24 месяца |
| Производитель | Cloud-Clone Corp. |
| Ссылка на страницу товара на сайте производителя | http://www.cloud-clone.com/products/PAC992Hu01.html |
|
Артикул
|
Наименование |
Производитель
|
|---|
|
Артикул
|
Наименование |
Производитель
|
|---|
|
Артикул
|
Наименование |
Производитель
|
|---|
Акции и предложения
Популярные продукты:
Bovine GATA Binding Protein 1 ELISA kit (E11G0084)
Организм: корова
PMP2 Polyclonal Antibody (E-AB-16991)
Источник (хозяин): кролик
Реактивность подтвержденная: человек, мышь
Валидировано для: IHC, WB
Реактивность подтвержденная: человек, мышь
Валидировано для: IHC, WB
PerCP/Cyanine5.5 Anti-Rat CD3 Antibody[G4.18] (E-AB-F1228UJ)
Источник (хозяин): мышь
Реактивность подтвержденная: крыса
Валидировано для: FCM
Реактивность подтвержденная: крыса
Валидировано для: FCM
Anti-Chromobox Homolog 3 (CBX3) Polyclonal Antibody (FAC363Hu01)
Источник (хозяин): кролик
Реактивность подтвержденная: человек
Валидировано для: FCM
Реактивность подтвержденная: человек
Валидировано для: FCM
Monoclonal Antibody to Motility Related Protein (MRP1) (MAB097Hu28)
Источник (хозяин): мышь
Реактивность подтвержденная: человек
Валидировано для: WB
Реактивность подтвержденная: человек
Валидировано для: WB

