| UNIPROT | P28801 |
| Иммуноген | RPB090Bo01-Recombinant Glutathione S Transferase Pi (GSTp) |
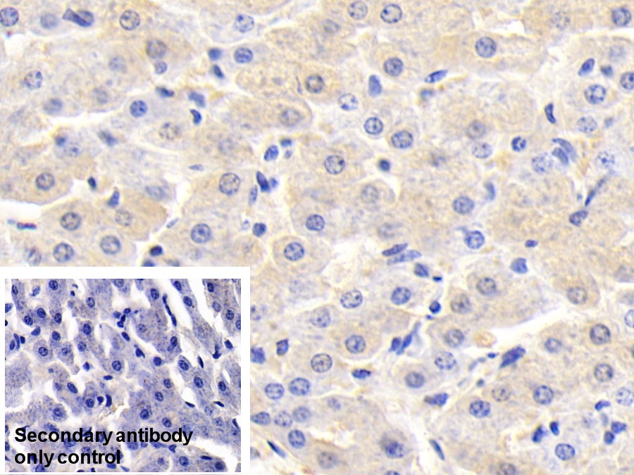
Polyclonal Antibody to Glutathione S Transferase Pi (GSTp) (PAB090Bo01)
Реактивность подтвержденная:
корова
Источник (хозяин):
кролик
Валидировано для:
IHC
WB
Характеристики
Техническое описание
| Русское название | PAB090Bo01 Поликлональное антитело к GSTp (корова) <Cloud-Clone,Китай> |
| Каталожный номер | PAB090Bo01 |
| Название антигена | Glutathione S Transferase Pi (GSTp) |
| UNIPROT | P28801 |
| Иммуноген | RPB090Bo01-Recombinant Glutathione S Transferase Pi (GSTp) |
| Английские синонимы | GSTP1, GST-P1, DFN7, FAEES3, GST3 |
Реактивность подтвержденная Нужна другая реактивность? |
корова |
| Реактивность предсказываемая | человек, мышь, крыса |
| Источник (хозяин) | кролик |
| Клональность | поликлональное |
| Рекомбинантное | нет |
| Готовое к использованию | нет |
| Концентрация | 500 мкг/мл |
| Конъюгат | По запросу: HRP, biotin, PerCP, PE, Cy3, FITC, Cy7, Cy5.5, PE-Cy5, PE-Cy7, PerCp-Cy5.5, APC, Cy5, PE-Cy3, PE-Cy5.5, APC-Cy7, Biotin-APC, FITC-Biotin, TRITC, APC-Cy5, AF488, AF594, AF405, AF555, AF700, AF647, AF750 |
| Валидировано для | IHC WB Иммуногистохимия; Вестерн-блоттинг |
| Рекомендуемые разведения | WB: 0.2-2 мкг/мл; 1:250-2500; IHC: 5-20 мкг/мл; 1:25-100; ICC: 5-20 мкг/мл; 1:25-100; Оптимальное разведение определяется конечным потребителем |
| Метод очистки | Антигенспецифическая аффинная хроматография с последующей аффинной хроматографией с белком А |
| Состав буфера | 0.01M PBS, pH7.4, 0.05% Proclin-300, 50% глицерин |
| Условия доставки | термобокс с аккумуляторами холода |
| Условия хранения | Сразу после получения аликвотировать и хранить при -20ºС до 24 месяцев. Для частого использования хранить при +4ºС не более 2 недель. Избегать повторения циклов замерзания/оттаивания |
| Срок хранения | 24 месяца |
| Производитель | Cloud-Clone Corp. |
| Ссылка на страницу товара на сайте производителя | http://www.cloud-clone.com/products/PAB090Bo01.html |
|
Артикул
|
Наименование |
Производитель
|
|---|
|
Артикул
|
Наименование |
Производитель
|
|---|
|
Артикул
|
Наименование |
Производитель
|
|---|
|
Артикул
|
Наименование |
Производитель
|
|---|
|
Артикул
|
Наименование |
Производитель
|
|---|
|
Артикул
|
Наименование |
Производитель
|
|---|
|
Артикул
|
Наименование |
Производитель
|
|---|
Акции и предложения
Популярные продукты:
Anti-D-Dopachrome Tautomerase (DDT) Polyclonal Antibody (FAD777Mu01)
Источник (хозяин): кролик
Реактивность подтвержденная: мышь
Валидировано для: FCM
Реактивность подтвержденная: мышь
Валидировано для: FCM
CLIA Kit for Syndecan 1 (SDC1) (SCB966Hu)
Организм: человек
Диапазон определения: 0.14-100 нг/мл
Чувствительность: 0.054 нг/мл
Диапазон определения: 0.14-100 нг/мл
Чувствительность: 0.054 нг/мл
Rat Lecithin Cholesterol Acyltransferase ELISA kit (E02L0303)
Организм: крыса
Диапазон определения: 25-500 нг/мл
Чувствительность: 1 нг/мл
Диапазон определения: 25-500 нг/мл
Чувствительность: 1 нг/мл

