| UNIPROT | P09211 |
| Иммуноген | RPB090Hu01-Recombinant Glutathione S Transferase Pi (GSTp) |
Polyclonal Antibody to Glutathione S Transferase Pi (GSTp) (PAB090Hu02)
Реактивность подтвержденная:
человек
Источник (хозяин):
кролик
Валидировано для:
FCM
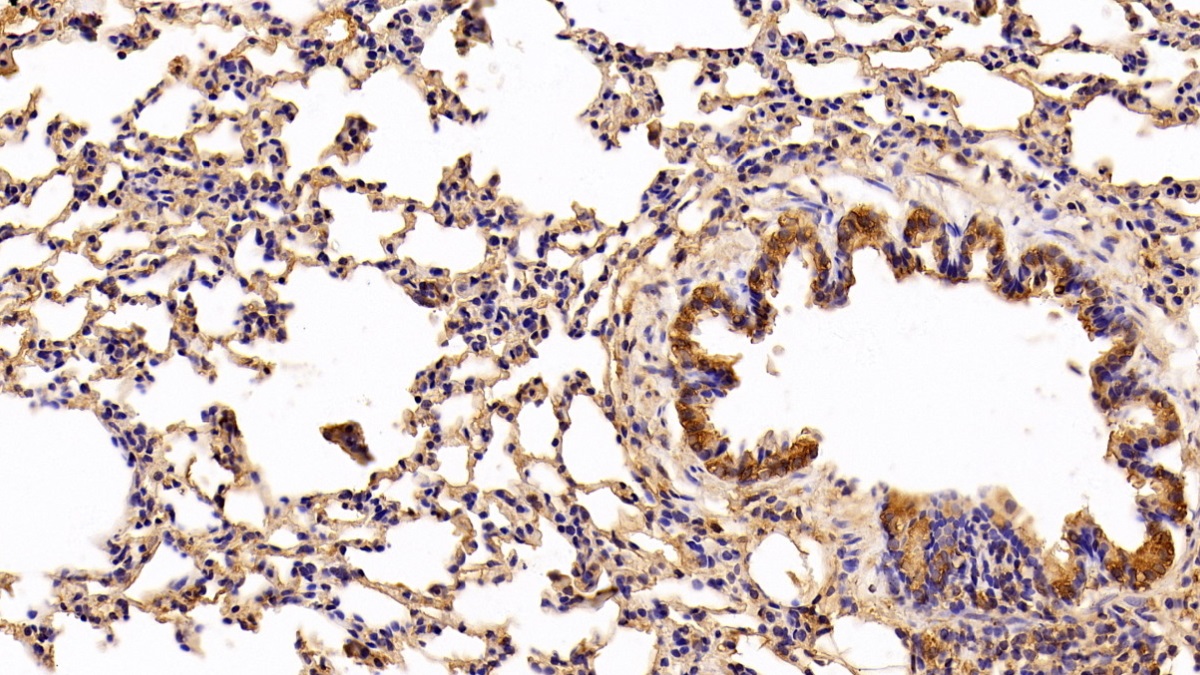
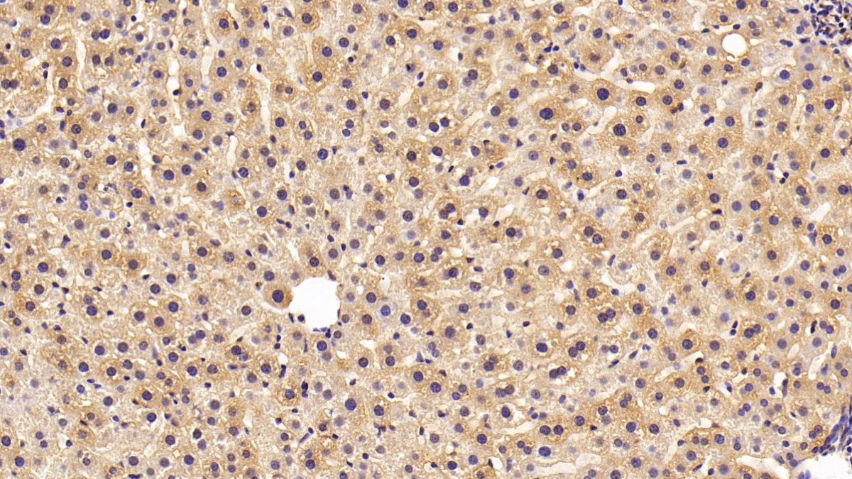
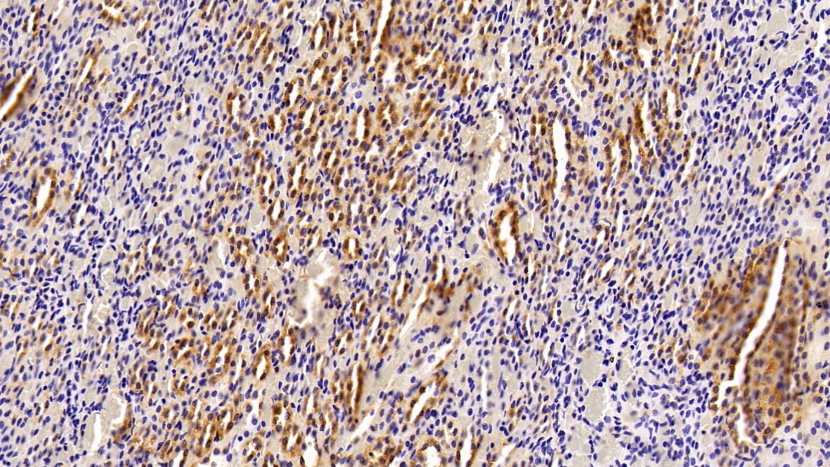
IHC
Характеристики
Техническое описание
| Русское название | PAB090Hu02 Поликлональное антитело к GSTp (человек) <Cloud-Clone,Китай> |
| Каталожный номер | PAB090Hu02 |
| Название антигена | Glutathione S Transferase Pi (GSTp) |
| UNIPROT | P09211 |
| Иммуноген | RPB090Hu01-Recombinant Glutathione S Transferase Pi (GSTp) |
| Английские синонимы | GSTP1, GST-P1, DFN7, FAEES3, GST3 |
Реактивность подтвержденная Нужна другая реактивность? |
человек |
| Реактивность предсказываемая | крыса |
| Источник (хозяин) | кролик |
| Клональность | поликлональное |
| Рекомбинантное | нет |
| Готовое к использованию | нет |
| Концентрация | 0.5 мг/мл |
| Конъюгат | По запросу: HRP, biotin, PerCP, PE, Cy3, FITC, Cy7, Cy5.5, PE-Cy5, PE-Cy7, PerCp-Cy5.5, APC, Cy5, PE-Cy3, PE-Cy5.5, APC-Cy7, Biotin-APC, FITC-Biotin, TRITC, APC-Cy5, AF488, AF594, AF405, AF555, AF700, AF647, AF750 |
| Валидировано для | FCM IHC Проточная цитометрия; Иммуногистохимия |
| Рекомендуемые разведения | WB: 0.5-2 мкг/мл; IHC: 5-20 мкг/мл; ICC: 5-20 мкг/мл; FCM: 20 мкг/мл; Оптимальное разведение определяется конечным потребителем |
| Метод очистки | Антигенспецифическая аффинная хроматография с последующей аффинной хроматографией с белком А |
| Состав буфера | 0.01M PBS, pH7.4, 0.05% Proclin-300, 50% глицерин |
| Условия доставки | термобокс с аккумуляторами холода |
| Условия хранения | Сразу после получения аликвотировать и хранить при -20ºС до 24 месяцев. Для частого использования хранить при +4ºС не более 2 недель. Избегать повторения циклов замерзания/оттаивания |
| Срок хранения | 24 месяца |
| Производитель | Cloud-Clone Corp. |
| Ссылка на страницу товара на сайте производителя | http://www.cloud-clone.com/products/PAB090Hu02.html |
|
Артикул
|
Наименование |
Производитель
|
|---|
|
Артикул
|
Наименование |
Производитель
|
|---|
|
Артикул
|
Наименование |
Производитель
|
|---|
|
Артикул
|
Наименование |
Производитель
|
|---|
|
Артикул
|
Наименование |
Производитель
|
|---|
|
Артикул
|
Наименование |
Производитель
|
|---|
|
Артикул
|
Наименование |
Производитель
|
|---|
Акции и предложения
Популярные продукты:
Bovine Costimulatory molecules B7H4 ELISA kit (E11C0839)
Организм: корова
Canine Costimulatory molecules B7H4 ELISA kit (E08C0839)
Организм: собака
Porcine Costimulatory molecules B7H4 ELISA kit (E07C0839)
Организм: свинья
Goat Costimulatory molecules B7H4 ELISA kit (E06C0839)
Организм: коза
Goat Visinin like protein 1(VSNL1) ELISA kit (E06V0076)
Организм: коза

