| UNIPROT | P51855 |
| Иммуноген | RPD757Mu01-Recombinant Glutathione Synthetase (GSS) |
Polyclonal Antibody to Glutathione Synthetase (GSS) (PAD757Mu01)
Реактивность подтвержденная:
мышь
Источник (хозяин):
кролик
Валидировано для:
IHC
WB
Характеристики
Техническое описание
| Русское название | PAD757Mu01 Поликлональное антитело к GSS (мышь) <Cloud-Clone,Китай> |
| Каталожный номер | PAD757Mu01 |
| Название антигена | Glutathione Synthetase (GSS) |
| UNIPROT | P51855 |
| Иммуноген | RPD757Mu01-Recombinant Glutathione Synthetase (GSS) |
| Английские синонимы | Glutathione synthase |
Реактивность подтвержденная Нужна другая реактивность? |
мышь |
| Реактивность предсказываемая | человек |
| Источник (хозяин) | кролик |
| Клональность | поликлональное |
| Рекомбинантное | нет |
| Готовое к использованию | нет |
| Концентрация | 500 мкг/мл |
| Конъюгат | По запросу: HRP, biotin, PerCP, PE, Cy3, FITC, Cy7, Cy5.5, PE-Cy5, PE-Cy7, PerCp-Cy5.5, APC, Cy5, PE-Cy3, PE-Cy5.5, APC-Cy7, Biotin-APC, FITC-Biotin, TRITC, APC-Cy5, AF488, AF594, AF405, AF555, AF700, AF647, AF750 |
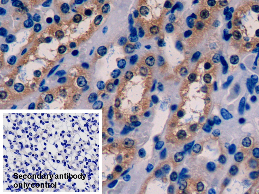
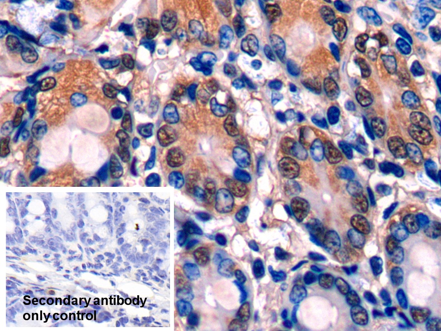
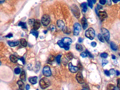
| Валидировано для | IHC WB Иммуногистохимия; Вестерн-блоттинг |
| Рекомендуемые разведения | WB: 0.2-2 мкг/мл; 1:250-2500; IHC: 5-20 мкг/мл; 1:25-100; ICC: 5-20 мкг/мл; 1:25-100; Оптимальное разведение определяется конечным потребителем |
| Метод очистки | Антигенспецифическая аффинная хроматография с последующей аффинной хроматографией с белком А |
| Состав буфера | 0.01M PBS, pH7.4, 0.05% Proclin-300, 50% глицерин |
| Условия доставки | термобокс с аккумуляторами холода |
| Условия хранения | Сразу после получения аликвотировать и хранить при -20ºС до 24 месяцев. Для частого использования хранить при +4ºС не более 2 недель. Избегать повторения циклов замерзания/оттаивания |
| Срок хранения | 24 месяца |
| Производитель | Cloud-Clone Corp. |
| Ссылка на страницу товара на сайте производителя | http://www.cloud-clone.com/products/PAD757Mu01.html |
|
Артикул
|
Наименование |
Производитель
|
|---|
|
Артикул
|
Наименование |
Производитель
|
|---|
|
Артикул
|
Наименование |
Производитель
|
|---|
|
Артикул
|
Наименование |
Производитель
|
|---|
|
Артикул
|
Наименование |
Производитель
|
|---|
Акции и предложения
Популярные продукты:
Recombinant Interleukin 34 (IL34) (RPC007Mu02)
Источник (хозяин): E.coli
Организм: мышь
Теги: N-концевой His-Tag
Биоактивность: нет
Организм: мышь
Теги: N-концевой His-Tag
Биоактивность: нет
Anti-Puromycin Sensitive Aminopeptidase (PSA) Polyclonal Antibody (FAE206Hu01)
Источник (хозяин): кролик
Реактивность подтвержденная: человек
Валидировано для: FCM
Реактивность подтвержденная: человек
Валидировано для: FCM
ELISA Kit DIY Materials for Fatty Acid Synthase (FASN) (KSC470Ga01)
Организм: курица
Диапазон определения: 6.25-400 пг/мл
Чувствительность: 2.57 пг/мл
Диапазон определения: 6.25-400 пг/мл
Чувствительность: 2.57 пг/мл
ELISA Kit DIY Materials for Fibrinogen (FG) (KSA193Bo01)
Организм: корова
Диапазон определения: 0.78-50 нг/мл
Чувствительность: 0.35 нг/мл
Диапазон определения: 0.78-50 нг/мл
Чувствительность: 0.35 нг/мл
Monoclonal Antibody to Tumor Susceptibility Gene 101 (TSG101) (MAC814Hu22)
Источник (хозяин): мышь
Реактивность подтвержденная: человек
Валидировано для: WB
Реактивность подтвержденная: человек
Валидировано для: WB
Sheep 14 3 3 protein eta(YWHAH) ELISA kit (E14P0212)
Организм: овца

