| UNIPROT | O95602 |
| Иммуноген | NPA190Hu01-Native Glycated Hemoglobin A1c (HbA1c) |
Polyclonal Antibody to Glycated Hemoglobin A1c (HbA1c) (PAA190Hu01)
Реактивность подтвержденная:
человек
Источник (хозяин):
кролик
Валидировано для:
ICC
IHC
WB
Характеристики
Публикации
Техническое описание
| Русское название | PAA190Hu01 Поликлональное антитело к HbA1c (человек) <Cloud-Clone,Китай> |
| Каталожный номер | PAA190Hu01 |
| Название антигена | Glycated Hemoglobin A1c (HbA1c) |
| UNIPROT | O95602 |
| Иммуноген | NPA190Hu01-Native Glycated Hemoglobin A1c (HbA1c) |
| Английские синонимы | Glycosylated Hemoglobin, Hemoglobin A1c, Hb1c, HbAIc |
| Русские синонимы | Гликогемоглобин, гемоглобин A1c, HbA1c |
Реактивность подтвержденная Нужна другая реактивность? |
человек |
| Реактивность предсказываемая | мышь, крыса, свинья |
| Источник (хозяин) | кролик |
| Клональность | поликлональное |
| Рекомбинантное | нет |
| Готовое к использованию | нет |
| Концентрация | 0.5 мг/мл |
| Конъюгат | По запросу: HRP, biotin, PerCP, PE, Cy3, FITC, Cy7, Cy5.5, PE-Cy5, PE-Cy7, PerCp-Cy5.5, APC, Cy5, PE-Cy3, PE-Cy5.5, APC-Cy7, Biotin-APC, FITC-Biotin, TRITC, APC-Cy5, AF488, AF594, AF405, AF555, AF700, AF647, AF750 |
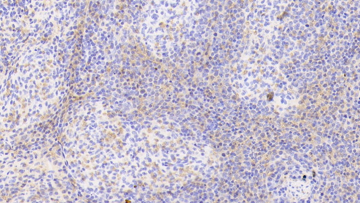
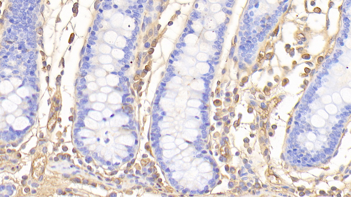
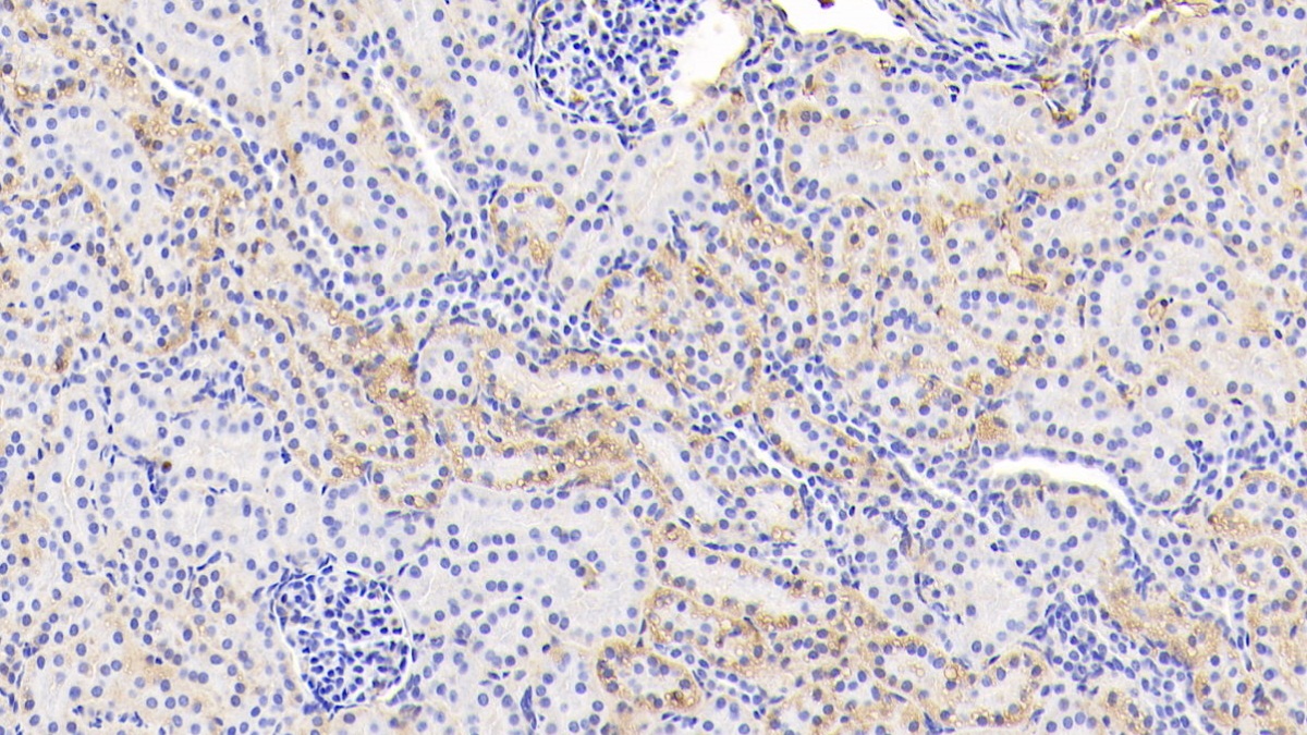
| Валидировано для | ICC IHC WB Иммуноцитохимия; Иммуногистохимия; Вестерн-блоттинг |
| Рекомендуемые разведения | WB: 0.01-2 мкг/мл; IHC: 5-20 мкг/мл; ICC: 5-20 мкг/мл; Оптимальное разведение определяется конечным потребителем |
| Метод очистки | Антигенспецифическая аффинная хроматография с последующей аффинной хроматографией с белком А |
| Состав буфера | PBS, pH7.4, 0.02% NaN3, 50% глицерин |
| Условия доставки | термобокс с аккумуляторами холода |
| Условия хранения | Сразу после получения аликвотировать и хранить при -20ºС до 24 месяцев. Для частого использования хранить при +4ºС не более 2 недель. Избегать повторения циклов замерзания/оттаивания |
| Срок хранения | 24 месяца |
| Производитель | Cloud-Clone Corp. |
| Ссылка на страницу товара на сайте производителя | http://www.cloud-clone.com/products/PAA190Hu01.html |
|
Артикул
|
Наименование |
Производитель
|
|---|
|
Артикул
|
Наименование |
Производитель
|
|---|
|
Артикул
|
Наименование |
Производитель
|
|---|
|
Артикул
|
Наименование |
Производитель
|
|---|
Акции и предложения
Популярные продукты:
Monoclonal Antibody to Interleukin 35 (IL35) (MAC008Hu28)
Источник (хозяин): мышь
Реактивность подтвержденная: человек
Валидировано для: WB
Реактивность подтвержденная: человек
Валидировано для: WB
Bovine Putrescine ELISA kit (E11P1258)
Организм: корова
Bovine Cystatin M(CST6) ELISA kit (E11C2125)
Организм: корова
Guinea Pig Cystatin M(CST6) ELISA kit (E05C2125)
Организм: морская свинка
Sheep Calcipressin 1(RCAN1) ELISA kit (E14C2416)
Организм: овца
Chicken Calcipressin 1(RCAN1) ELISA kit (E12C2416)
Организм: курица

