| UNIPROT | P06737 |
| Иммуноген | RPA849Hu01-Recombinant Glycogen Phosphorylase, Liver (PYGL) |
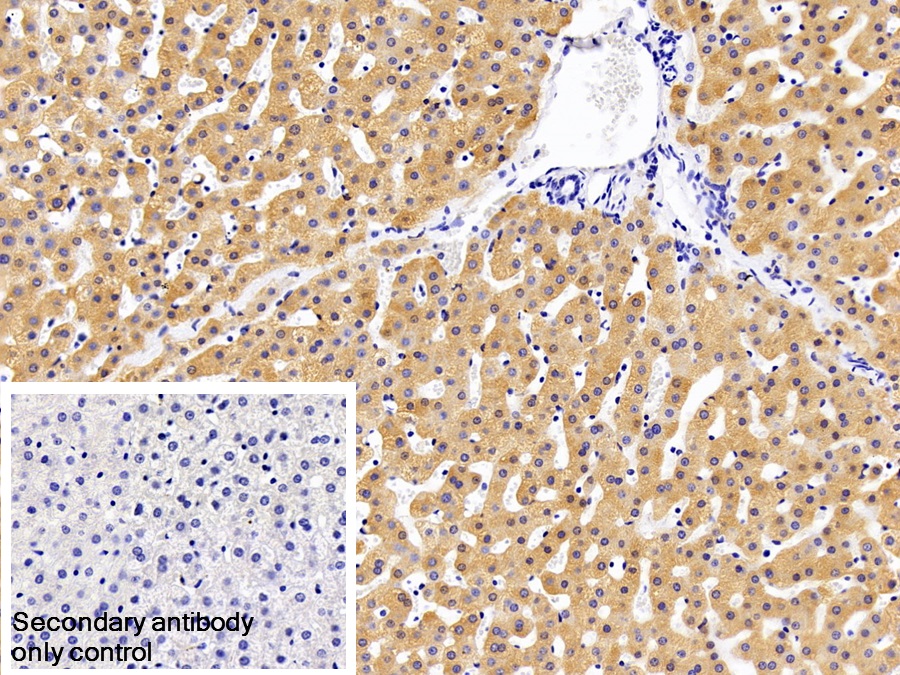
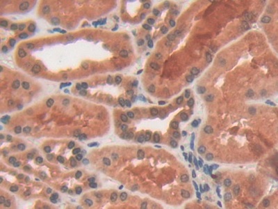
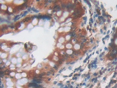
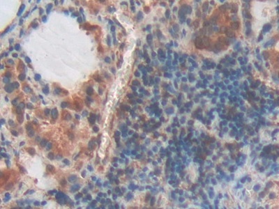
Polyclonal Antibody to Glycogen Phosphorylase, Liver (PYGL) (PAA849Hu01)
Реактивность подтвержденная:
человек
Источник (хозяин):
кролик
Валидировано для:
IHC
WB
Характеристики
Техническое описание
| Русское название | PAA849Hu01 Поликлональное антитело к PYGL (человек) <Cloud-Clone,Китай> |
| Каталожный номер | PAA849Hu01 |
| Название антигена | Glycogen Phosphorylase, Liver (PYGL) |
| UNIPROT | P06737 |
| Иммуноген | RPA849Hu01-Recombinant Glycogen Phosphorylase, Liver (PYGL) |
| Английские синонимы | GPLL, GPBB, Hers Disease, Glycogen Storage Disease Type VI |
Реактивность подтвержденная Нужна другая реактивность? |
человек |
| Реактивность предсказываемая | мышь, крыса, свинья |
| Источник (хозяин) | кролик |
| Клональность | поликлональное |
| Рекомбинантное | нет |
| Готовое к использованию | нет |
| Концентрация | 500 мкг/мл |
| Конъюгат | По запросу: HRP, biotin, PerCP, PE, Cy3, FITC, Cy7, Cy5.5, PE-Cy5, PE-Cy7, PerCp-Cy5.5, APC, Cy5, PE-Cy3, PE-Cy5.5, APC-Cy7, Biotin-APC, FITC-Biotin, TRITC, APC-Cy5, AF488, AF594, AF405, AF555, AF700, AF647, AF750 |
| Валидировано для | IHC WB Иммуногистохимия; Вестерн-блоттинг |
| Рекомендуемые разведения | WB: 0.2-2 мкг/мл; 1:250-2500; IHC: 5-20 мкг/мл; 1:25-100; ICC: 5-20 мкг/мл; 1:25-100; Оптимальное разведение определяется конечным потребителем |
| Метод очистки | Антигенспецифическая аффинная хроматография с последующей аффинной хроматографией с белком А |
| Состав буфера | 0.01M PBS, pH7.4, 0.05% Proclin-300, 50% глицерин |
| Условия доставки | термобокс с аккумуляторами холода |
| Условия хранения | Сразу после получения аликвотировать и хранить при -20ºС до 24 месяцев. Для частого использования хранить при +4ºС не более 2 недель. Избегать повторения циклов замерзания/оттаивания |
| Срок хранения | 24 месяца |
| Производитель | Cloud-Clone Corp. |
| Ссылка на страницу товара на сайте производителя | http://www.cloud-clone.com/products/PAA849Hu01.html |
|
Артикул
|
Наименование |
Производитель
|
|---|
|
Артикул
|
Наименование |
Производитель
|
|---|
|
Артикул
|
Наименование |
Производитель
|
|---|
|
Артикул
|
Наименование |
Производитель
|
|---|
Акции и предложения
Популярные продукты:
Canine Dickkopf Related Protein 3 ELISA kit (E08D0570)
Организм: собака
Rat Nucleoporin 153kDa ELISA kit (E02N0050)
Организм: крыса
Human Caspase 3 ELISA kit (E01C0549)
Организм: человек
Диапазон определения: 0.5-10 нг/мл
Чувствительность: 0.1 нг/мл
Диапазон определения: 0.5-10 нг/мл
Чувствительность: 0.1 нг/мл
Guinea Pig FMS Like Tyrosine Kinase 3 Ligand ELISA kit (E05F0108)
Организм: морская свинка
Mouse FMS Like Tyrosine Kinase 3 Ligand ELISA kit (E03F0108)
Организм: мышь

