| UNIPROT | Q9NZD2 |
| Иммуноген | RPC502Hu01-Recombinant Glycolipid Transfer Protein (GLTP) |
Polyclonal Antibody to Glycolipid Transfer Protein (GLTP) (PAC502Hu01)
Реактивность подтвержденная:
человек
Источник (хозяин):
кролик
Валидировано для:
IHC
WB
Характеристики
Техническое описание
| Русское название | PAC502Hu01 Поликлональное антитело к GLTP (человек) <Cloud-Clone,Китай> |
| Каталожный номер | PAC502Hu01 |
| Название антигена | Glycolipid Transfer Protein (GLTP) |
| UNIPROT | Q9NZD2 |
| Иммуноген | RPC502Hu01-Recombinant Glycolipid Transfer Protein (GLTP) |
Реактивность подтвержденная Нужна другая реактивность? |
человек |
| Реактивность предсказываемая | мышь, свинья |
| Источник (хозяин) | кролик |
| Клональность | поликлональное |
| Рекомбинантное | нет |
| Готовое к использованию | нет |
| Концентрация | 0.5 мг/мл |
| Конъюгат | По запросу: HRP, biotin, PerCP, PE, Cy3, FITC, Cy7, Cy5.5, PE-Cy5, PE-Cy7, PerCp-Cy5.5, APC, Cy5, PE-Cy3, PE-Cy5.5, APC-Cy7, Biotin-APC, FITC-Biotin, TRITC, APC-Cy5, AF488, AF594, AF405, AF555, AF700, AF647, AF750 |
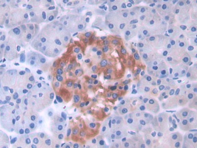
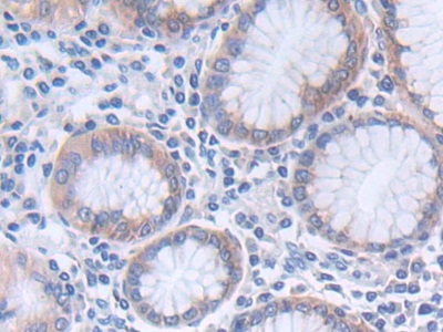
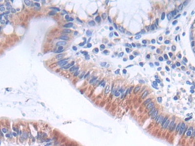
| Валидировано для | IHC WB Иммуногистохимия; Вестерн-блоттинг |
| Рекомендуемые разведения | WB: 0.01-3 мкг/мл; IHC: 5-30 мкг/мл; Оптимальное разведение определяется конечным потребителем |
| Метод очистки | Антигенспецифическая аффинная хроматография с последующей аффинной хроматографией с белком А |
| Состав буфера | 0.01M PBS, pH7.4, 0.05% Proclin-300, 50% глицерин |
| Условия доставки | термобокс с аккумуляторами холода |
| Условия хранения | Сразу после получения аликвотировать и хранить при -20ºС до 24 месяцев. Для частого использования хранить при +4ºС не более 2 недель. Избегать повторения циклов замерзания/оттаивания |
| Срок хранения | 24 месяца |
| Производитель | Cloud-Clone Corp. |
| Ссылка на страницу товара на сайте производителя | http://www.cloud-clone.com/products/PAC502Hu01.html |
|
Артикул
|
Наименование |
Производитель
|
|---|
Акции и предложения
Популярные продукты:
Monkey Dual oxidase 2(DUOX2) ELISA kit (E09D0297)
Организм: обезьяна
Recombinant Human PGLYRP1 Protein, N-His (YHB25801)
Источник (хозяин): E.coli
Организм: человек
Фрагмент: Gln22-Pro196
Теги: N-His
Биоактивность: нет
Организм: человек
Фрагмент: Gln22-Pro196
Теги: N-His
Биоактивность: нет
Anti-TPT1 Antibody (R1P04) (RHD00302)
Источник (хозяин): кролик
Реактивность подтвержденная: человек, мышь, крыса
Валидировано для: FCM, IF, IHC, IP, WB
Реактивность подтвержденная: человек, мышь, крыса
Валидировано для: FCM, IF, IHC, IP, WB
Elab Fluor® 647-Goat Anti-Guinea Pig IgG (H+L) (E-AB-1188)
Изотип: IgG
Источник (хозяин): коза
Реактивность подтвержденная: морская свинка
Валидировано для: FCM
Источник (хозяин): коза
Реактивность подтвержденная: морская свинка
Валидировано для: FCM
PARD6A Antibody (DF7166)
Источник (хозяин): кролик
Реактивность подтвержденная: человек, мышь, крыса
Валидировано для: IHC, WB, IF, ICC
Реактивность подтвержденная: человек, мышь, крыса
Валидировано для: IHC, WB, IF, ICC
RAB40B Antibody (DF4405)
Источник (хозяин): кролик
Реактивность подтвержденная: человек, мышь, крыса
Валидировано для: WB, IF, ICC
Реактивность подтвержденная: человек, мышь, крыса
Валидировано для: WB, IF, ICC

