| UNIPROT | P02724 |
| Иммуноген | RPB704Hu01-Recombinant Glycophorin A (GYPA) |
Polyclonal Antibody to Glycophorin A (GYPA) (PAB704Hu01)
Реактивность подтвержденная:
человек
Источник (хозяин):
кролик
Валидировано для:
IHC
Характеристики
Техническое описание
| Русское название | PAB704Hu01 Поликлональное антитело к GYPA (человек) <Cloud-Clone,Китай> |
| Каталожный номер | PAB704Hu01 |
| Название антигена | Glycophorin A (GYPA) |
| UNIPROT | P02724 |
| Иммуноген | RPB704Hu01-Recombinant Glycophorin A (GYPA) |
| Английские синонимы | CD235a, CD 235a, CD-235a, MN, MNS, GPA, GPErik, GPSAT, PAS-2, GpMiIII, HGpMiIII, HGpMiV, HGpMiX, HGpMiXI, HGpSta, Sialoglycoprotein alpha, MN sialoglycoprotein |
Реактивность подтвержденная Нужна другая реактивность? |
человек |
| Источник (хозяин) | кролик |
| Клональность | поликлональное |
| Рекомбинантное | нет |
| Готовое к использованию | нет |
| Концентрация | 500 мкг/мл |
| Конъюгат | По запросу: HRP, biotin, PerCP, PE, Cy3, FITC, Cy7, Cy5.5, PE-Cy5, PE-Cy7, PerCp-Cy5.5, APC, Cy5, PE-Cy3, PE-Cy5.5, APC-Cy7, Biotin-APC, FITC-Biotin, TRITC, APC-Cy5, AF488, AF594, AF405, AF555, AF700, AF647, AF750 |
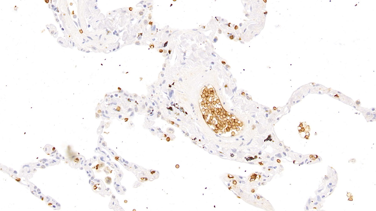
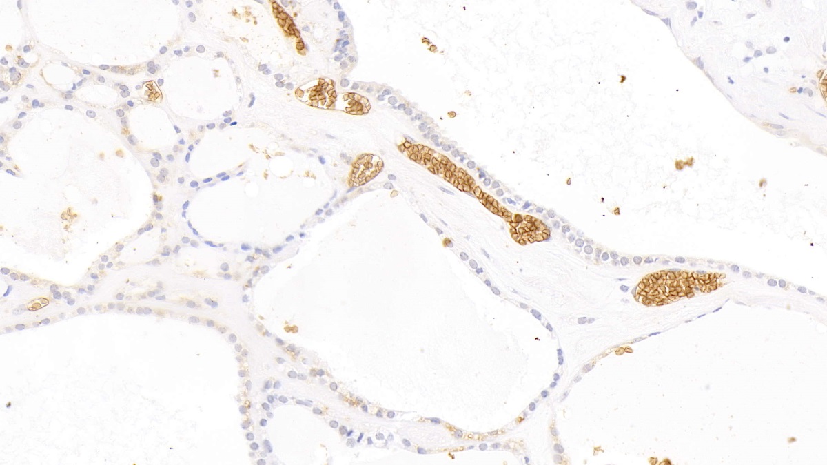
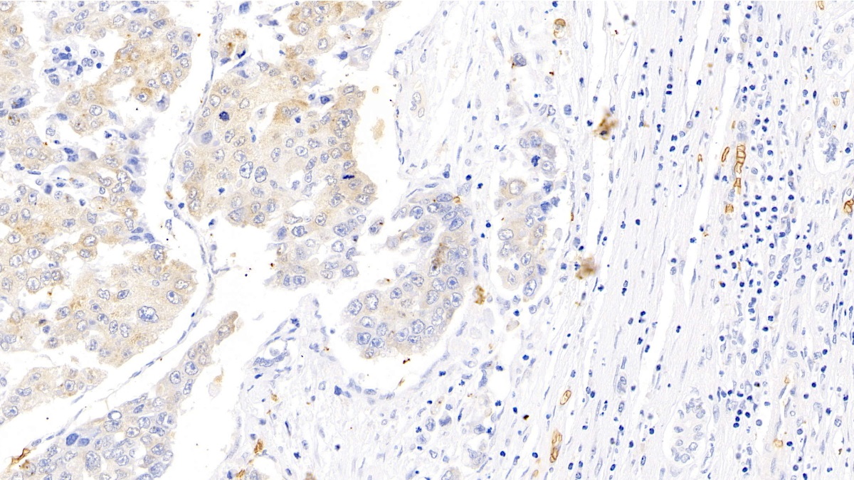
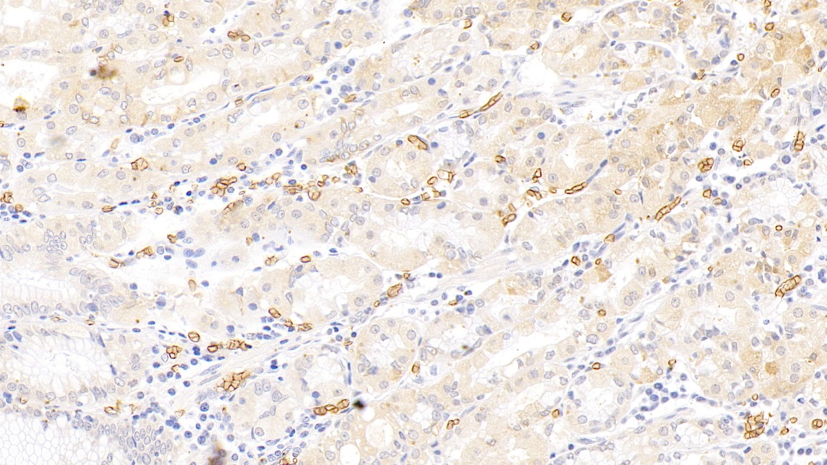
| Валидировано для | IHC Иммуногистохимия |
| Рекомендуемые разведения | WB: 0.5-2 мкг/мл; IHC: 5-20 мкг/мл; ICC: 5-20 мкг/мл; Оптимальное разведение определяется конечным потребителем |
| Метод очистки | Антигенспецифическая аффинная хроматография с последующей аффинной хроматографией с белком А |
| Состав буфера | PBS, pH7.4, 0.02% NaN3, 50% глицерин |
| Условия доставки | термобокс с аккумуляторами холода |
| Условия хранения | Сразу после получения аликвотировать и хранить при -20ºС до 24 месяцев. Для частого использования хранить при +4ºС не более 2 недель. Избегать повторения циклов замерзания/оттаивания |
| Срок хранения | 24 месяца |
| Производитель | Cloud-Clone Corp. |
| Ссылка на страницу товара на сайте производителя | http://www.cloud-clone.com/products/PAB704Hu01.html |
|
Артикул
|
Наименование |
Производитель
|
|---|
|
Артикул
|
Наименование |
Производитель
|
|---|
|
Артикул
|
Наименование |
Производитель
|
|---|
Акции и предложения
Популярные продукты:
Monoclonal Antibody to Alpha-1-Acid Glycoprotein (a1AGP) (MAA816Bo25)
Источник (хозяин): мышь
Реактивность подтвержденная: корова
Валидировано для: WB
Реактивность подтвержденная: корова
Валидировано для: WB
Rat Hemopexin ELISA kit (E02H0110)
Организм: крыса
SH3GL2 Polyclonal Antibody (E-AB-52593)
Источник (хозяин): кролик
Реактивность подтвержденная: человек, мышь, крыса
Валидировано для: IHC
Реактивность подтвержденная: человек, мышь, крыса
Валидировано для: IHC

