| UNIPROT | P14220 |
| Иммуноген | RPB704Mu01-Recombinant Glycophorin A (GYPA) |
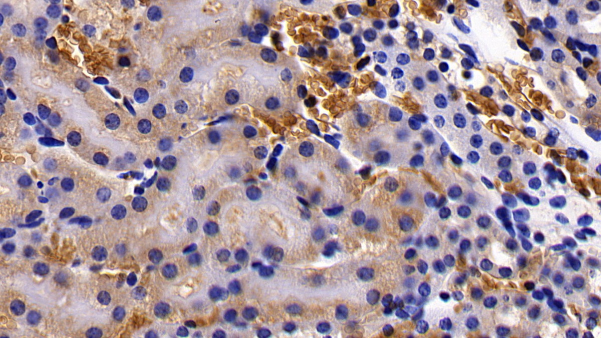
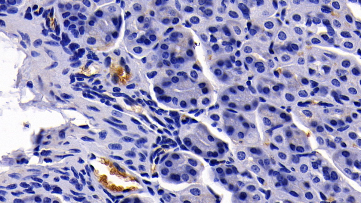
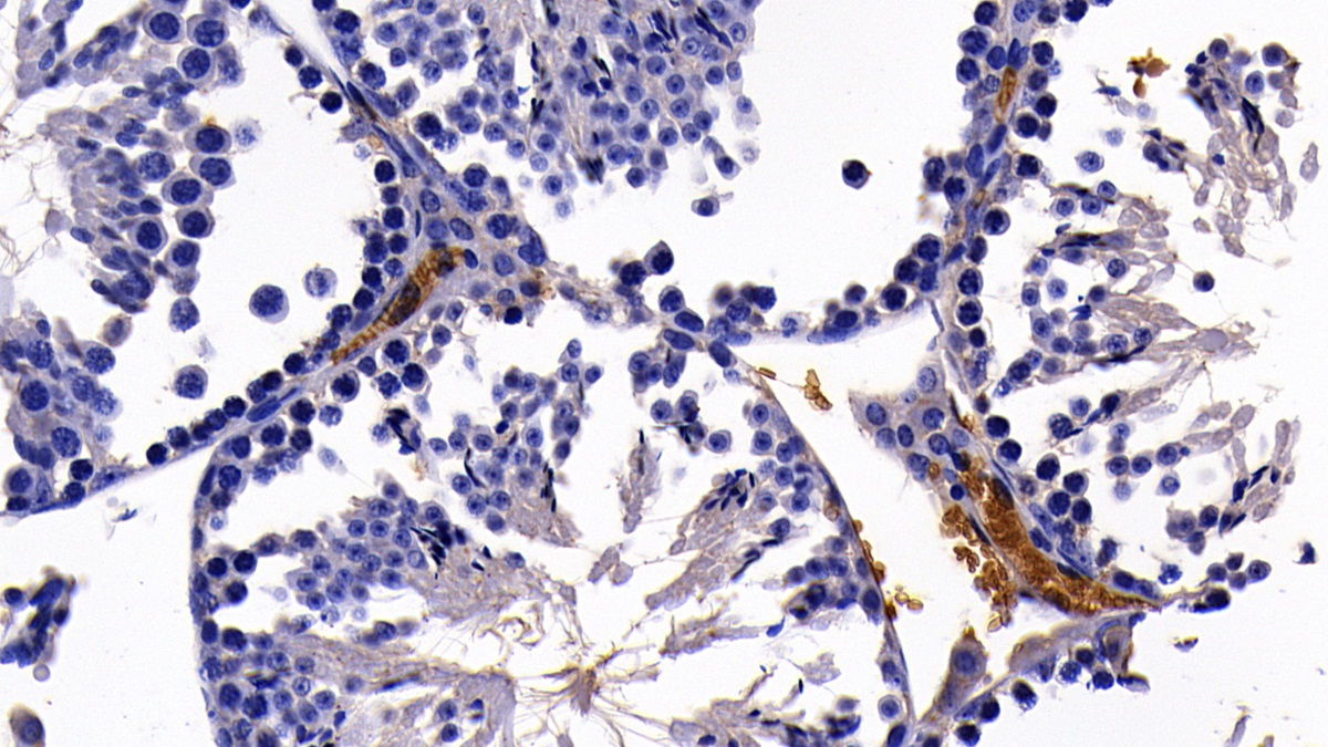
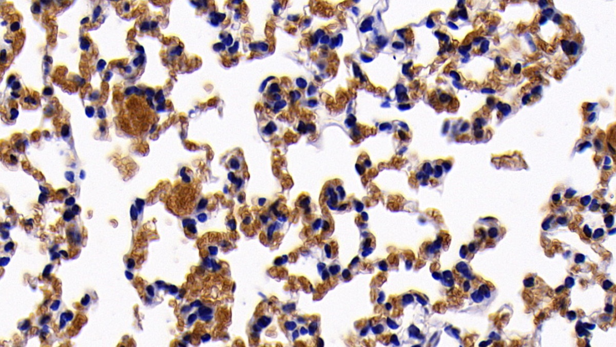
Polyclonal Antibody to Glycophorin A (GYPA) (PAB704Mu01)
Реактивность подтвержденная:
мышь
Источник (хозяин):
кролик
Валидировано для:
IHC
WB
Характеристики
Техническое описание
| Русское название | PAB704Mu01 Поликлональное антитело к GYPA (мышь) <Cloud-Clone,Китай> |
| Каталожный номер | PAB704Mu01 |
| Название антигена | Glycophorin A (GYPA) |
| UNIPROT | P14220 |
| Иммуноген | RPB704Mu01-Recombinant Glycophorin A (GYPA) |
| Английские синонимы | CD235a, CD 235a, CD-235a, MN, MNS, GPA, GPErik, GPSAT, PAS-2, GpMiIII, HGpMiIII, HGpMiV, HGpMiX, HGpMiXI, HGpSta, Sialoglycoprotein alpha, MN sialoglycoprotein |
Реактивность подтвержденная Нужна другая реактивность? |
мышь |
| Источник (хозяин) | кролик |
| Клональность | поликлональное |
| Рекомбинантное | нет |
| Готовое к использованию | нет |
| Концентрация | 0.5 мг/мл |
| Конъюгат | По запросу: HRP, biotin, PerCP, PE, Cy3, FITC, Cy7, Cy5.5, PE-Cy5, PE-Cy7, PerCp-Cy5.5, APC, Cy5, PE-Cy3, PE-Cy5.5, APC-Cy7, Biotin-APC, FITC-Biotin, TRITC, APC-Cy5, AF488, AF594, AF405, AF555, AF700, AF647, AF750 |
| Валидировано для | IHC WB Иммуногистохимия; Вестерн-блоттинг |
| Рекомендуемые разведения | WB: 0.01-2 мкг/мл; IHC: 5-20 мкг/мл; ICC: 5-20 мкг/мл; Оптимальное разведение определяется конечным потребителем |
| Метод очистки | Антигенспецифическая аффинная хроматография с последующей аффинной хроматографией с белком А |
| Состав буфера | PBS, pH7.4, 0.02% NaN3, 50% глицерин |
| Условия доставки | термобокс с аккумуляторами холода |
| Условия хранения | Сразу после получения аликвотировать и хранить при -20ºС до 24 месяцев. Для частого использования хранить при +4ºС не более 2 недель. Избегать повторения циклов замерзания/оттаивания |
| Срок хранения | 24 месяца |
| Производитель | Cloud-Clone Corp. |
| Ссылка на страницу товара на сайте производителя | http://www.cloud-clone.com/products/PAB704Mu01.html |
|
Артикул
|
Наименование |
Производитель
|
|---|
|
Артикул
|
Наименование |
Производитель
|
|---|
Акции и предложения
Популярные продукты:
Anti-Prostate Specific Antigen (PSA) Polyclonal Antibody (FAA151Mu01)
Источник (хозяин): кролик
Реактивность подтвержденная: мышь
Валидировано для: FCM
Реактивность подтвержденная: мышь
Валидировано для: FCM
Anti-Retinol Binding Protein 1, Cellular (RBP1) Polyclonal Antibody (FAA400Hu01)
Источник (хозяин): кролик
Реактивность подтвержденная: человек
Валидировано для: FCM
Реактивность подтвержденная: человек
Валидировано для: FCM
Porcine Leucyl Cystinyl aminopeptidase ELISA kit (E07L0290)
Организм: свинья
Rat Paired box gene 9 ELISA kit (E02P0019)
Организм: крыса
Sheep Urokinase plasminogen activator ELISA kit (E14U0012)
Организм: овца

