| UNIPROT | P40190 |
| Иммуноген | RPA046Ra01-Recombinant Glycoprotein 130 (gp130) |
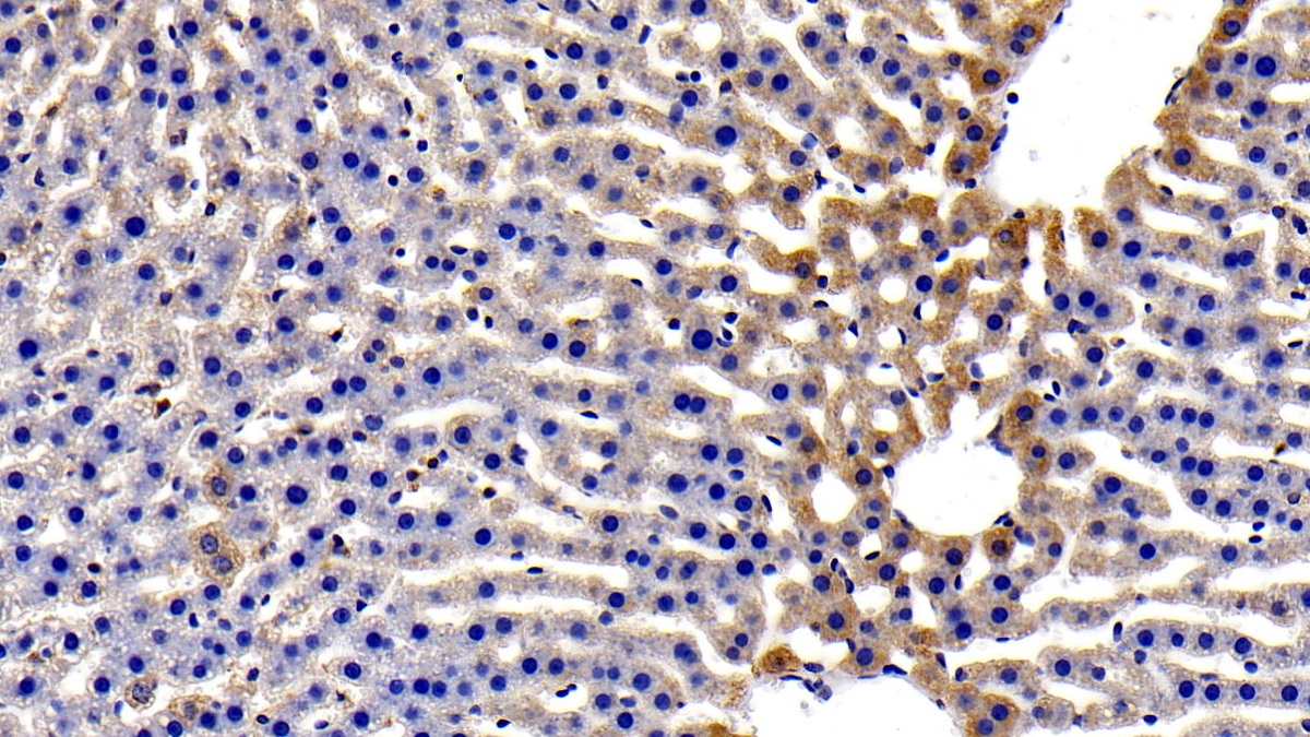
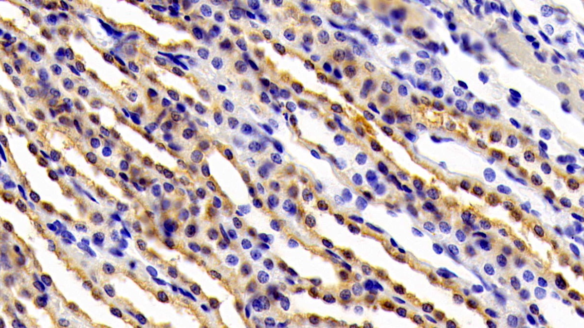
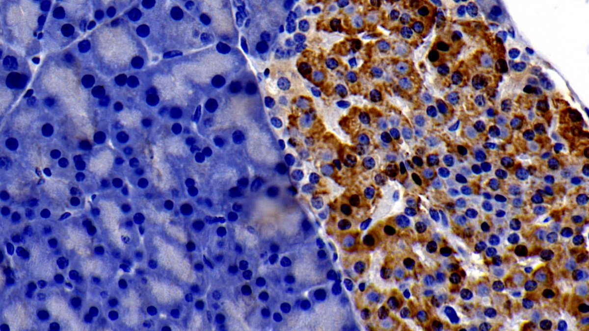
Polyclonal Antibody to Glycoprotein 130 (gp130) (PAA046Ra01)
Реактивность подтвержденная:
крыса
Источник (хозяин):
кролик
Валидировано для:
IHC
Характеристики
Техническое описание
| Русское название | PAA046Ra01 Поликлональное антитело к gp130 (крыса) <Cloud-Clone,Китай> |
| Каталожный номер | PAA046Ra01 |
| Название антигена | Glycoprotein 130 (gp130) |
| UNIPROT | P40190 |
| Иммуноген | RPA046Ra01-Recombinant Glycoprotein 130 (gp130) |
| Английские синонимы | CDw130, CD130, CD 130, CD-130, IL6ST, GP130-RAPS, IR6RB, IL6R-Beta, IR6-RB, Interleukin 6 Signal Transducer, Oncostatin M Receptor, Interleukin-6 Receptor Subunit Beta |
Реактивность подтвержденная Нужна другая реактивность? |
крыса |
| Реактивность предсказываемая | мышь |
| Источник (хозяин) | кролик |
| Клональность | поликлональное |
| Рекомбинантное | нет |
| Готовое к использованию | нет |
| Концентрация | 0.5 мг/мл |
| Конъюгат | По запросу: HRP, biotin, PerCP, PE, Cy3, FITC, Cy7, Cy5.5, PE-Cy5, PE-Cy7, PerCp-Cy5.5, APC, Cy5, PE-Cy3, PE-Cy5.5, APC-Cy7, Biotin-APC, FITC-Biotin, TRITC, APC-Cy5, AF488, AF594, AF405, AF555, AF700, AF647, AF750 |
| Валидировано для | IHC Иммуногистохимия |
| Рекомендуемые разведения | WB: 0.5-2 мкг/мл; IHC: 5-20 мкг/мл; ICC: 5-20 мкг/мл; Оптимальное разведение определяется конечным потребителем |
| Метод очистки | Антигенспецифическая аффинная хроматография с последующей аффинной хроматографией с белком А |
| Состав буфера | PBS, pH7.4, 0.02% NaN3, 50% глицерин |
| Условия доставки | термобокс с аккумуляторами холода |
| Условия хранения | Сразу после получения аликвотировать и хранить при -20ºС до 24 месяцев. Для частого использования хранить при +4ºС не более 2 недель. Избегать повторения циклов замерзания/оттаивания |
| Срок хранения | 24 месяца |
| Производитель | Cloud-Clone Corp. |
| Ссылка на страницу товара на сайте производителя | http://www.cloud-clone.com/products/PAA046Ra01.html |
|
Артикул
|
Наименование |
Производитель
|
|---|
|
Артикул
|
Наименование |
Производитель
|
|---|
|
Артикул
|
Наименование |
Производитель
|
|---|
|
Артикул
|
Наименование |
Производитель
|
|---|
|
Артикул
|
Наименование |
Производитель
|
|---|
Акции и предложения
Популярные продукты:
Recombinant Kisspeptin Receptor (KISS1R) (RPF540Mu01)
Источник (хозяин): E.coli
Организм: мышь
Фрагмент: Arg331-Leu396
Теги: N-концевой His-Tag
Биоактивность: нет
Организм: мышь
Фрагмент: Arg331-Leu396
Теги: N-концевой His-Tag
Биоактивность: нет
ELISA Kit DIY Materials for Interleukin 12B (IL12B) (KSA058Po01)
Организм: свинья
Диапазон определения: 7.8-500 пг/мл
Чувствительность: 3.5 пг/мл
Диапазон определения: 7.8-500 пг/мл
Чувствительность: 3.5 пг/мл
ELISA Kit DIY Materials for Runt Related Transcription Factor 2 (RUNX2) (KSB011Hu01)
Организм: человек
Диапазон определения: 0.156-10 нг/мл
Чувствительность: 0.054 нг/мл
Диапазон определения: 0.156-10 нг/мл
Чувствительность: 0.054 нг/мл
Porcine Acyl coenzyme A thioesterase 12(ACOT12) ELISA kit (E07A1035)
Организм: свинья
Canine Glycogen synthase 2 ELISA kit (E08G0666)
Организм: собака
Monkey Stanniocalcin 2 ELISA kit (E09S0860)
Организм: обезьяна

