| UNIPROT | Q4AEG0 |
| Иммуноген | RPA197Ra02-Recombinant Glycoprotein IX, Platelet (GP9) |
Polyclonal Antibody to Glycoprotein IX, Platelet (GP9) (PAA197Ra02)
Реактивность подтвержденная:
крыса
Источник (хозяин):
кролик
Валидировано для:
WB
Характеристики
Техническое описание
| Русское название | PAA197Ra02 Поликлональное антитело к GP9 (крыса) <Cloud-Clone,Китай> |
| Каталожный номер | PAA197Ra02 |
| Название антигена | Glycoprotein IX, Platelet (GP9) |
| UNIPROT | Q4AEG0 |
| Иммуноген | RPA197Ra02-Recombinant Glycoprotein IX, Platelet (GP9) |
| Английские синонимы | CD42-A, CD42a, CD 42a, CD-42a, GPIX, Glycoprotein 9 |
Реактивность подтвержденная Нужна другая реактивность? |
крыса |
| Источник (хозяин) | кролик |
| Клональность | поликлональное |
| Рекомбинантное | нет |
| Готовое к использованию | нет |
| Концентрация | 0.5 мг/мл |
| Конъюгат | По запросу: HRP, biotin, PerCP, PE, Cy3, FITC, Cy7, Cy5.5, PE-Cy5, PE-Cy7, PerCp-Cy5.5, APC, Cy5, PE-Cy3, PE-Cy5.5, APC-Cy7, Biotin-APC, FITC-Biotin, TRITC, APC-Cy5, AF488, AF594, AF405, AF555, AF700, AF647, AF750 |
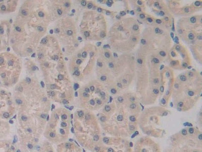
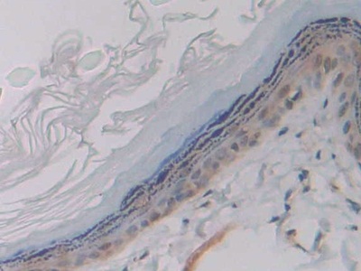
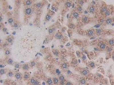
| Валидировано для | WB Вестерн-блоттинг |
| Рекомендуемые разведения | WB: 0.01-3 мкг/мл; IHC: 5-30 мкг/мл; ICC: 5-30 мкг/мл; Оптимальное разведение определяется конечным потребителем |
| Метод очистки | Антигенспецифическая аффинная хроматография с последующей аффинной хроматографией с белком А |
| Состав буфера | 0.01M PBS, pH7.4, 0.05% Proclin-300, 50% глицерин |
| Условия доставки | термобокс с аккумуляторами холода |
| Условия хранения | Сразу после получения аликвотировать и хранить при -20ºС до 24 месяцев. Для частого использования хранить при +4ºС не более 2 недель. Избегать повторения циклов замерзания/оттаивания |
| Срок хранения | 24 месяца |
| Производитель | Cloud-Clone Corp. |
| Ссылка на страницу товара на сайте производителя | http://www.cloud-clone.com/products/PAA197Ra02.html |
|
Артикул
|
Наименование |
Производитель
|
|---|
|
Артикул
|
Наименование |
Производитель
|
|---|
|
Артикул
|
Наименование |
Производитель
|
|---|
|
Артикул
|
Наименование |
Производитель
|
|---|
Акции и предложения
Популярные продукты:
TLR5 Mouse Monoclonal Antibody (BF8309)
Источник (хозяин): мышь
Реактивность подтвержденная: человек, мышь, крыса
Валидировано для: WB
Реактивность подтвержденная: человек, мышь, крыса
Валидировано для: WB
ELISA Kit for Telomerase Reverse Transcriptase (TERT) (RC241S-Ra)
Организм: крыса
Диапазон определения: 31.2-2000 пг/мл
Чувствительность: 12.2 пг/мл
Диапазон определения: 31.2-2000 пг/мл
Чувствительность: 12.2 пг/мл
Bovine Aldolase,ALD ELISA Kit (E11A1389)
Организм: корова
Recombinant Mouse IL4RA/CD124 Protein (Fc Tag) (PKSM041368)
Источник (хозяин): HEK293
Организм: мышь
Фрагмент: Ile26-Arg233
Теги: C-Fc
Биоактивность: нет
Организм: мышь
Фрагмент: Ile26-Arg233
Теги: C-Fc
Биоактивность: нет
Anti-Human CD285/TLR5 Polyclonal Antibody (PHA95402)
Источник (хозяин): кролик
Реактивность подтвержденная: человек
Валидировано для: ELISA, IHC, WB
Реактивность подтвержденная: человек
Валидировано для: ELISA, IHC, WB
Anti-Human TLR5 Polyclonal Antibody (PHA95401)
Источник (хозяин): кролик
Реактивность подтвержденная: человек
Валидировано для: ELISA, IHC, WB
Реактивность подтвержденная: человек
Валидировано для: ELISA, IHC, WB

