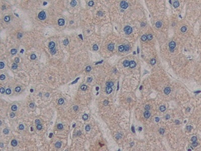
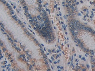
Polyclonal Antibody to Glycosylphosphatidylinositol Specific Phospholipase D1 (GPLD1) (PAH975Hu01)
Реактивность подтвержденная:
человек
Источник (хозяин):
кролик
Валидировано для:
IHC
Характеристики
Техническое описание
| Русское название | PAH975Hu01 Поликлональное антитело к GPLD1 (человек) <Cloud-Clone,Китай> |
| Каталожный номер | PAH975Hu01 |
| Название антигена | Glycosylphosphatidylinositol Specific Phospholipase D1 (GPLD1) |
| UNIPROT | P80108 |
| Иммуноген | RPH975Hu01-Recombinant Glycosylphosphatidylinositol Specific Phospholipase D1 (GPLD1) |
| Английские синонимы | GPIPLD, GPIPLDM, PIGPLD, PIGPLD1, Glycoprotein phospholipase D, Glycosyl-phosphatidylinositol-specific phospholipase D |
Реактивность подтвержденная Нужна другая реактивность? |
человек |
| Источник (хозяин) | кролик |
| Клональность | поликлональное |
| Рекомбинантное | нет |
| Готовое к использованию | нет |
| Концентрация | 500 мкг/мл |
| Конъюгат | По запросу: HRP, biotin, PerCP, PE, Cy3, FITC, Cy7, Cy5.5, PE-Cy5, PE-Cy7, PerCp-Cy5.5, APC, Cy5, PE-Cy3, PE-Cy5.5, APC-Cy7, Biotin-APC, FITC-Biotin, TRITC, APC-Cy5, AF488, AF594, AF405, AF555, AF700, AF647, AF750 |
| Валидировано для | IHC Иммуногистохимия |
| Рекомендуемые разведения | WB: 0.5-2 мкг/мл; IHC: 5-20 мкг/мл; ICC: 5-20 мкг/мл; Оптимальное разведение определяется конечным потребителем |
| Метод очистки | Антигенспецифическая аффинная хроматография с последующей аффинной хроматографией с белком А |
| Состав буфера | 0.01M PBS, pH7.4, 0.05% Proclin-300, 50% глицерин |
| Условия доставки | термобокс с аккумуляторами холода |
| Условия хранения | Сразу после получения аликвотировать и хранить при -20ºС до 24 месяцев. Для частого использования хранить при +4ºС не более 2 недель. Избегать повторения циклов замерзания/оттаивания |
| Срок хранения | 24 месяца |
| Производитель | Cloud-Clone Corp. |
| Ссылка на страницу товара на сайте производителя | http://www.cloud-clone.com/products/PAH975Hu01.html |
|
Артикул
|
Наименование |
Производитель
|
|---|
|
Артикул
|
Наименование |
Производитель
|
|---|
|
Артикул
|
Наименование |
Производитель
|
|---|
Акции и предложения
Популярные продукты:
Anti-ALB/Albumin/HSA Antibody (R2Y24) (RHC01410)
Источник (хозяин): мышь
Реактивность подтвержденная: человек
Валидировано для: ELISA, WB
Реактивность подтвержденная: человек
Валидировано для: ELISA, WB
Anti-Human SUSD2 Polyclonal Antibody (PHP12401)
Источник (хозяин): кролик
Реактивность подтвержденная: человек
Валидировано для: ELISA, IHC, WB
Реактивность подтвержденная: человек
Валидировано для: ELISA, IHC, WB
Human Cell division cycle associated protein 4(CDCA4) ELISA kit (E01C1528)
Организм: человек
Диапазон определения: 250-5000 пг/мл
Чувствительность: 1 пг/мл
Диапазон определения: 250-5000 пг/мл
Чувствительность: 1 пг/мл
Mouse Guanylate kinase(GUK1) ELISA kit (E03G0445)
Организм: мышь

