| UNIPROT | P41250 |
| Иммуноген | RPC996Hu01-Recombinant Glycyl tRNA Synthetase (GARS) |
Polyclonal Antibody to Glycyl tRNA Synthetase (GARS) (PAC996Hu01)
Реактивность подтвержденная:
человек
Источник (хозяин):
кролик
Валидировано для:
FCM
IHC
WB
Характеристики
Техническое описание
| Русское название | PAC996Hu01 Поликлональное антитело к GARS (человек) <Cloud-Clone,Китай> |
| Каталожный номер | PAC996Hu01 |
| Название антигена | Glycyl tRNA Synthetase (GARS) |
| UNIPROT | P41250 |
| Иммуноген | RPC996Hu01-Recombinant Glycyl tRNA Synthetase (GARS) |
| Английские синонимы | CMT2D, CMT2-D, DSMAV, GlyRS, SMAD1, EJ, Charcot-Marie-Tooth Neuropathy 2D, Glycine tRNA Ligase, Diadenosine tetraphosphate synthetase, AP-4-A synthetase |
Реактивность подтвержденная Нужна другая реактивность? |
человек |
| Реактивность предсказываемая | мышь, свинья |
| Источник (хозяин) | кролик |
| Клональность | поликлональное |
| Рекомбинантное | нет |
| Готовое к использованию | нет |
| Концентрация | 0.5 мг/мл |
| Конъюгат | По запросу: HRP, biotin, PerCP, PE, Cy3, FITC, Cy7, Cy5.5, PE-Cy5, PE-Cy7, PerCp-Cy5.5, APC, Cy5, PE-Cy3, PE-Cy5.5, APC-Cy7, Biotin-APC, FITC-Biotin, TRITC, APC-Cy5, AF488, AF594, AF405, AF555, AF700, AF647, AF750 |
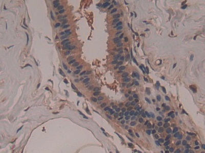
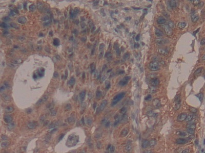
| Валидировано для | FCM IHC WB Проточная цитометрия; Иммуногистохимия; Вестерн-блоттинг |
| Рекомендуемые разведения | WB: 0.01-2 мкг/мл; IHC: 5-30 мкг/мл; ICC: 5-20 мкг/мл; FCM: 20 мкг/мл; Оптимальное разведение определяется конечным потребителем |
| Метод очистки | Антигенспецифическая аффинная хроматография с последующей аффинной хроматографией с белком А |
| Состав буфера | PBS, pH7.4, 0.02% NaN3, 50% глицерин |
| Условия доставки | термобокс с аккумуляторами холода |
| Условия хранения | Сразу после получения аликвотировать и хранить при -20ºС до 24 месяцев. Для частого использования хранить при +4ºС не более 2 недель. Избегать повторения циклов замерзания/оттаивания |
| Срок хранения | 24 месяца |
| Производитель | Cloud-Clone Corp. |
| Ссылка на страницу товара на сайте производителя | http://www.cloud-clone.com/products/PAC996Hu01.html |
|
Артикул
|
Наименование |
Производитель
|
|---|
|
Артикул
|
Наименование |
Производитель
|
|---|
Акции и предложения
Популярные продукты:
InVivoMAb Anti-Mouse VEGFA & CD279/PD1 Antibody (FS0311) (VMD12601)
Источник (хозяин): мышь
Реактивность подтвержденная: мышь
Валидировано для: STIMUL
Реактивность подтвержденная: мышь
Валидировано для: STIMUL
Guinea Pig Inward rectifier potassium channel 2(KCNJ2) ELISA kit (E05I0451)
Организм: морская свинка
Guinea Pig Cyclosporine A ELISA kit (E05C0832)
Организм: морская свинка
Chicken Cystatin S(CST4) ELISA kit (E12C2123)
Организм: курица
Sheep Epoxide hydrolase 2(EPHX2) ELISA kit (E14E0381)
Организм: овца

