| UNIPROT | Q8CFZ4 |
| Иммуноген | RPA971Mu01-Recombinant Glypican 3 (GPC3) |
Polyclonal Antibody to Glypican 3 (GPC3) (PAA971Mu01)
Реактивность подтвержденная:
мышь
Источник (хозяин):
кролик
Валидировано для:
IHC
WB
Характеристики
Техническое описание
| Русское название | PAA971Mu01 Поликлональное антитело к GPC3 (мышь) <Cloud-Clone,Китай> |
| Каталожный номер | PAA971Mu01 |
| Название антигена | Glypican 3 (GPC3) |
| UNIPROT | Q8CFZ4 |
| Иммуноген | RPA971Mu01-Recombinant Glypican 3 (GPC3) |
| Английские синонимы | DGSX, OCI5, SDYS, SGB, SGBS1, MXR7, Glypican Proteoglycan 3, GTR2-2, Intestinal protein OCI-5, Secreted glypican-3 |
Реактивность подтвержденная Нужна другая реактивность? |
мышь |
| Источник (хозяин) | кролик |
| Клональность | поликлональное |
| Рекомбинантное | нет |
| Готовое к использованию | нет |
| Концентрация | 0.5 мг/мл |
| Конъюгат | По запросу: HRP, biotin, PerCP, PE, Cy3, FITC, Cy7, Cy5.5, PE-Cy5, PE-Cy7, PerCp-Cy5.5, APC, Cy5, PE-Cy3, PE-Cy5.5, APC-Cy7, Biotin-APC, FITC-Biotin, TRITC, APC-Cy5, AF488, AF594, AF405, AF555, AF700, AF647, AF750 |
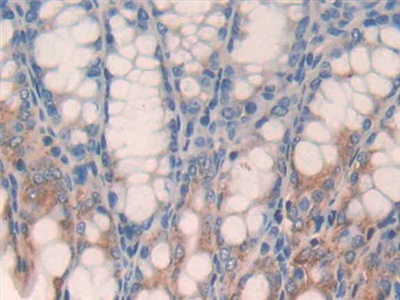
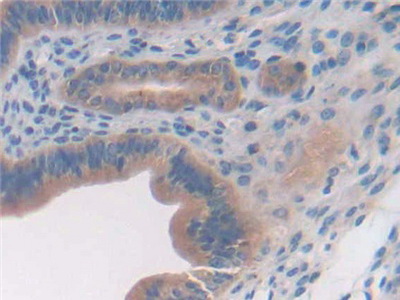
| Валидировано для | IHC WB Иммуногистохимия; Вестерн-блоттинг |
| Рекомендуемые разведения | WB: 0.01-3 мкг/мл; IHC: 5-30 мкг/мл; ICC: 5-30 мкг/мл; Оптимальное разведение определяется конечным потребителем |
| Метод очистки | Антигенспецифическая аффинная хроматография с последующей аффинной хроматографией с белком А |
| Состав буфера | 0.01M PBS, pH7.4, 0.05% Proclin-300, 50% глицерин |
| Условия доставки | термобокс с аккумуляторами холода |
| Условия хранения | Сразу после получения аликвотировать и хранить при -20ºС до 24 месяцев. Для частого использования хранить при +4ºС не более 2 недель. Избегать повторения циклов замерзания/оттаивания |
| Срок хранения | 24 месяца |
| Производитель | Cloud-Clone Corp. |
| Ссылка на страницу товара на сайте производителя | http://www.cloud-clone.com/products/PAA971Mu01.html |
|
Артикул
|
Наименование |
Производитель
|
|---|
|
Артикул
|
Наименование |
Производитель
|
|---|
|
Артикул
|
Наименование |
Производитель
|
|---|
|
Артикул
|
Наименование |
Производитель
|
|---|
|
Артикул
|
Наименование |
Производитель
|
|---|
|
Артикул
|
Наименование |
Производитель
|
|---|
Акции и предложения
Популярные продукты:
Guinea Pig Cdc42 effector protein 1(CDC42EP1) ELISA kit (E05C1515)
Организм: морская свинка
Bovine Vasohibin 1 ELISA kit (E11V0412)
Организм: корова
Sheep Stathmin 3(STMN3) ELISA kit (E14S0415)
Организм: овца
Chicken Stathmin 3(STMN3) ELISA kit (E12S0415)
Организм: курица

