| UNIPROT | P51655 |
| Иммуноген | RPA998Mu01-Recombinant Glypican 4 (GPC4) |
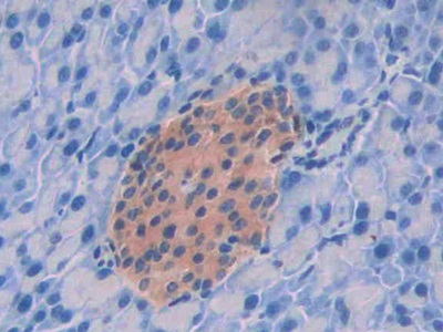
Polyclonal Antibody to Glypican 4 (GPC4) (PAA998Mu01)
Реактивность подтвержденная:
мышь
Источник (хозяин):
кролик
Валидировано для:
ICC
IHC
WB
Характеристики
Техническое описание
| Русское название | PAA998Mu01 Поликлональное антитело к GPC4 (мышь) <Cloud-Clone,Китай> |
| Каталожный номер | PAA998Mu01 |
| Название антигена | Glypican 4 (GPC4) |
| UNIPROT | P51655 |
| Иммуноген | RPA998Mu01-Recombinant Glypican 4 (GPC4) |
| Английские синонимы | K-Glypican, Glypican Proteoglycan 4, Secreted glypican-4 |
Реактивность подтвержденная Нужна другая реактивность? |
мышь |
| Реактивность предсказываемая | человек, крыса |
| Источник (хозяин) | кролик |
| Клональность | поликлональное |
| Рекомбинантное | нет |
| Готовое к использованию | нет |
| Концентрация | 500 мкг/мл |
| Конъюгат | По запросу: HRP, biotin, PerCP, PE, Cy3, FITC, Cy7, Cy5.5, PE-Cy5, PE-Cy7, PerCp-Cy5.5, APC, Cy5, PE-Cy3, PE-Cy5.5, APC-Cy7, Biotin-APC, FITC-Biotin, TRITC, APC-Cy5, AF488, AF594, AF405, AF555, AF700, AF647, AF750 |
| Валидировано для | ICC IHC WB Иммуноцитохимия; Иммуногистохимия; Вестерн-блоттинг |
| Рекомендуемые разведения | WB: 0.5-2 мкг/мл; IHC: 5-20 мкг/мл; ICC: 5-20 мкг/мл; Оптимальное разведение определяется конечным потребителем |
| Метод очистки | Антигенспецифическая аффинная хроматография с последующей аффинной хроматографией с белком А |
| Состав буфера | 0.01M PBS, pH7.4, 0.05% Proclin-300, 50% глицерин |
| Условия доставки | термобокс с аккумуляторами холода |
| Условия хранения | Сразу после получения аликвотировать и хранить при -20ºС до 24 месяцев. Для частого использования хранить при +4ºС не более 2 недель. Избегать повторения циклов замерзания/оттаивания |
| Срок хранения | 24 месяца |
| Производитель | Cloud-Clone Corp. |
| Ссылка на страницу товара на сайте производителя | http://www.cloud-clone.com/products/PAA998Mu01.html |
|
Артикул
|
Наименование |
Производитель
|
|---|
|
Артикул
|
Наименование |
Производитель
|
|---|
|
Артикул
|
Наименование |
Производитель
|
|---|
|
Артикул
|
Наименование |
Производитель
|
|---|
Акции и предложения
Популярные продукты:
Porcine β klotho(KLB) ELISA kit (E07B0942)
Организм: свинья
Rabbit Lysophosphatidic acid receptor 3 ELISA kit (E04L0348)
Организм: кролик
Sheep Protein tyrosine kinase 6(PTK6) ELISA kit (E14P0931)
Организм: овца
Sheep Glypican 4 ELISA kit (E14G0229)
Организм: овца
Monkey Glypican 4 ELISA kit (E09G0229)
Организм: обезьяна
Rabbit Glypican 4 ELISA kit (E04G0229)
Организм: кролик

