| UNIPROT | Q91XA2 |
| Иммуноген | RPB668Mu01-Recombinant Golgi Phosphoprotein 2 (GOLPH2) |
Polyclonal Antibody to Golgi Phosphoprotein 2 (GOLPH2) (PAB668Mu01)
Реактивность подтвержденная:
мышь
Источник (хозяин):
кролик
Валидировано для:
FCM
IHC
WB
Характеристики
Техническое описание
| Русское название | PAB668Mu01 Поликлональное антитело к GOLPH2 (мышь) <Cloud-Clone,Китай> |
| Каталожный номер | PAB668Mu01 |
| Название антигена | Golgi Protein 73 (GP73) |
| UNIPROT | Q91XA2 |
| Иммуноген | RPB668Mu01-Recombinant Golgi Phosphoprotein 2 (GOLPH2) |
| Английские синонимы | GOLM1, GOLPH2, C9orf155, Golgi Membrane Protein 1, Golgi Phosphoprotein 2 |
Реактивность подтвержденная Нужна другая реактивность? |
мышь |
| Источник (хозяин) | кролик |
| Клональность | поликлональное |
| Рекомбинантное | нет |
| Готовое к использованию | нет |
| Концентрация | 1 мг/мл |
| Конъюгат | По запросу: HRP, biotin, PerCP, PE, Cy3, FITC, Cy7, Cy5.5, PE-Cy5, PE-Cy7, PerCp-Cy5.5, APC, Cy5, PE-Cy3, PE-Cy5.5, APC-Cy7, Biotin-APC, FITC-Biotin, TRITC, APC-Cy5, AF488, AF594, AF405, AF555, AF700, AF647, AF750 |
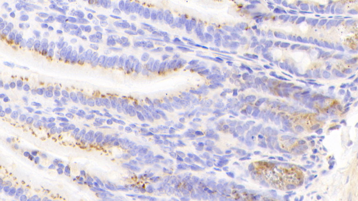
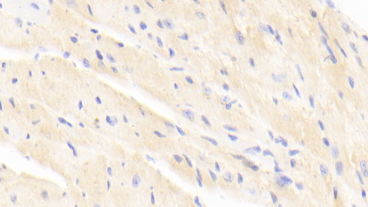
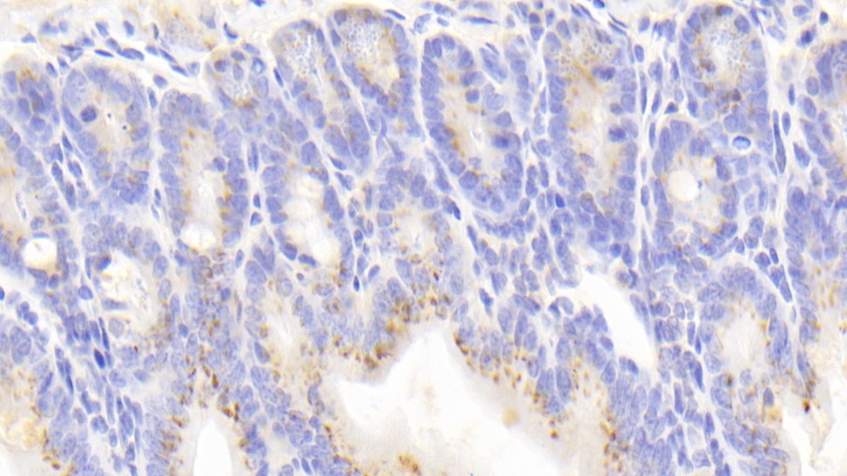
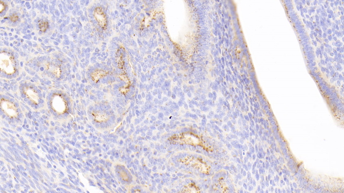
| Валидировано для | FCM IHC WB Проточная цитометрия; Иммуногистохимия; Вестерн-блоттинг |
| Рекомендуемые разведения | WB: 0.5-2 мкг/мл; IHC: 5-20 мкг/мл; ICC: 5-20 мкг/мл; FCM: 20 мкг/мл; Оптимальное разведение определяется конечным потребителем |
| Метод очистки | Антигенспецифическая аффинная хроматография с последующей аффинной хроматографией с белком А |
| Состав буфера | 0.01M PBS, pH7.4, 0.05% Proclin-300, 50% глицерин |
| Условия доставки | термобокс с аккумуляторами холода |
| Условия хранения | Сразу после получения аликвотировать и хранить при -20ºС до 24 месяцев. Для частого использования хранить при +4ºС не более 2 недель. Избегать повторения циклов замерзания/оттаивания |
| Срок хранения | 24 месяца |
| Производитель | Cloud-Clone Corp. |
| Ссылка на страницу товара на сайте производителя | http://www.cloud-clone.com/products/PAB668Mu01.html |
|
Артикул
|
Наименование |
Производитель
|
|---|
|
Артикул
|
Наименование |
Производитель
|
|---|
|
Артикул
|
Наименование |
Производитель
|
|---|
Акции и предложения
Популярные продукты:
Recombinant Nodal Homolog (NODAL) (RPK310Mu01)
Источник (хозяин): E.coli
Организм: мышь
Фрагмент: His245-Leu354
Теги: N-концевой His-Tag
Биоактивность: нет
Организм: мышь
Фрагмент: His245-Leu354
Теги: N-концевой His-Tag
Биоактивность: нет
Anti-Human Hepcidin Antibody (SAb2363) (RHF71902)
Источник (хозяин): мышь
Реактивность подтвержденная: человек
Валидировано для: ELISA
Реактивность подтвержденная: человек
Валидировано для: ELISA
Human Zinc finger protein GLI1(GLI1) ELISA kit (E01Z0009)
Организм: человек
Диапазон определения: 0.5-10 нг/мл
Чувствительность: 0.1 нг/мл
Диапазон определения: 0.5-10 нг/мл
Чувствительность: 0.1 нг/мл
Chicken cAMP Specific Phosphodiesterase 4B ELISA kit (E12P1051)
Организм: курица
Bovine cAMP Specific Phosphodiesterase 4B ELISA kit (E11P1051)
Организм: корова

